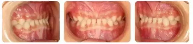
“孩子的牙齿长这样”, 怎么办?

没错,这就是俗称的牙齿“地包天”。
什么是“地包天”?
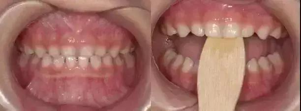
专业地说,儿童乳牙期“地包天”,就是乳下前牙咬合于乳上前牙唇侧,也叫乳前牙反颌,专业上属三类错颌。


“地包天”的后果
牙齿不整齐、下巴总是往前伸,不仅看起来不好看,还要影响咀嚼功能、发音、颞下颌关节发育,对小孩的心理健康影响大,不自信!
当小孩越长越大,症状还可能加重,下巴前突,面型畸变,更严重的还可能会变成朱元璋一样的“鞋拔子脸”、“半月脸”!

造成“地包天”的原因

地包天是什么原因造成的?是我们当爸妈的造成的地包天哟?
“地包天”的病因多得很,父母遗传只是其中一个,它还和先天性疾病、全身性疾病、儿童口腔不良习惯(前伸下颌、吮唇等)、不恰当的喂养方式(平卧喂养)、乳尖牙磨耗不足等各种因素有关。

地包天其实是可以预防的~
预/防/指/南
纠正不良的哺乳习惯。提倡母乳,使用正确的喂养姿势,约45°的斜卧位或半卧位。
治疗扁桃体肥大,保持口鼻腔呼吸道通畅,预防下颌前伸。
尽早破除口腔不良习惯,不要老是吮指头,不要总是习惯性地把下巴往前伸。
“地包天”的矫治

根据孩子不同患病情况,医生会选择不同的矫治方法(请一定先咨询医生哦!)
01、调磨法
这里必须强调一哈,调磨法一定要医生进行操作,千万莫私自行动。一般情况下,两周调磨一次,1-3个月就可以纠正“地包天”了。

02、咬撬法
没得错,就是喊你咬棍棍儿!选择压舌板或牙刷柄,每天咬撬木板三次,每次大约2分钟(约20下),每两周复诊,1-3个月就阔以有效纠正“地包天”。

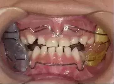
03、上颌颌垫活动矫治器
简单点说,就是喊你把这个上颌颌垫活动矫治器戴到起。

04、下颌斜面导板矫治器
还是简单点说,喊你把这个下颌斜面导板矫治器戴到起。你是不是要问“那跟上面那个有啥不同嘛”?回答:因为娃娃的患病情况不同嘛!

05、头帽颏兜
比较严重的下巴往前突,可以先前期佩戴头帽颏兜,就是下面这个看起来像个兜兜儿的东西,状况缓解后再把上颌颌垫式矫治器戴起。

06、功能调节器(简称FR-Ⅲ)
看起来是有点不美观哈,但总比一直“地包天”不美观好撒!

07、前方牵引
没得错,这也是一个让你长期戴的矫治器。


划重点!!!
一旦确诊“地包天”,在娃娃能配合的情况下尽早矫治,以阻断畸形加重,促进颌骨的正常发育。
儿童“地包天”的最佳矫治年龄为3~4 岁,疗程3~6个月。因为这个阶段乳牙根发育完全了,儿童也比较容易配合。
如果觉得这篇文章不错,就请收藏或分享给好友吧。添加雅悦齿科为好友,学习更多爱牙护齿科学方法。公众号:yyck2001