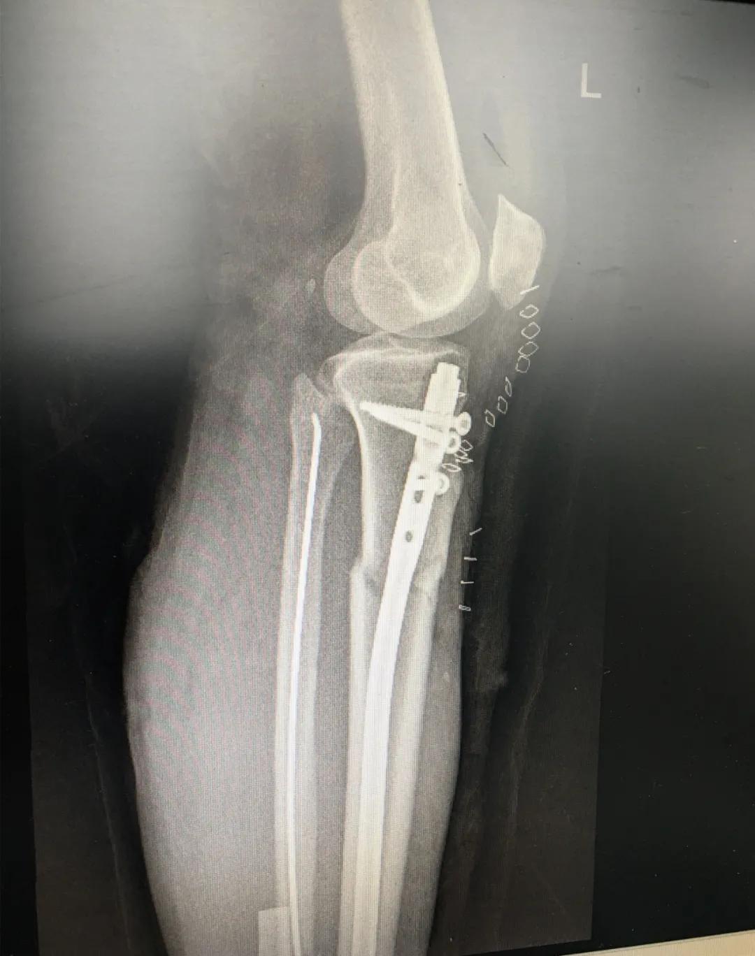
刘阿姨半个月前骑电动车时与小轿车相撞,导致了左胫腓骨粉碎性骨折,小腿骨碎成了三段。"然而,在术前丈夫周先生对刘阿姨的治疗却拿不定主意。“我妻子身上有多种基础疾病,患高血压15年,糖尿病也有8年多了。这里的诊疗技术,能不能保障手术的安全?手术前,我们家属的心中确实也很忐忑!"由于对我院创伤技术水平不太了解,周先生已经准备要转院治疗。

医患沟通架起信任的桥梁。创伤骨科主任积极与病人和家属解释,详细告知他们我院特色、骨折微创手术的治疗方案,并会同心血管内科屈健主任进行会诊,彻底消除了周先生的疑虑,取得其充分信任,选择留院治疗。




为患者实施的骨折微创复位固定技术是创伤骨科的特色技术。相较传统手术需要20公分的切口,微创手术只需要3公分左右。闭合复位髓内钉固定技术、经皮插板内固定技术(mippo技术)、闭合复位空心螺钉固定技术等一系列的微创复位固定技术,具有切口小、出血少、创伤小、愈合快、疤痕小等优点,骨折术后并发症明显降低,患者还可以早期负重功能锻炼。
周先生说:“早晨7点多,屈主任就来到我们床前会诊。赵主任临床经验丰富,这次我妻子做的骨折微创手术很成功,管床的陆医生虽然年轻但是非常有耐心,对于这样的结果,我们非常欣喜!”


另一位患者朱先生因车祸导致了右胫腓骨骨折,同样的小腿三段骨折,实施了微创闭合复位髓内钉固定术后,目前已经逐步进行康复功能锻炼。






