牙齿与肾脏的关系既密切又复杂。说它密切,是因为很多慢性肾脏病患者都合并不同程度的慢性牙周或牙根疾病。有研究发现非透析的CKD(慢性肾病)青少年患者普遍合并牙周支持组织的损害,2005年,Kshirsagar等对5537名白人以及黑人进行横断面研究证明合并肾功能损害的患者中合并牙周病的患者是非牙周炎患者的2倍。

进入透析治疗阶段,不仅牙周病的发病率明显提高,其病变程度也逐渐加重。大量研究发现菌斑微生物是牙周炎的始动因子,致病菌包括牙龈卟啉单胞菌、齿密垢螺旋体、和伴放线嗜血杆菌等,这些病菌除了引起局部炎症外,还会触发及放大人体免疫及炎症反应,导致大量免疫复合物在肾脏沉积,诱发肾病(如IgA肾病),加重肾脏损害。本人在对IGA肾病的临床研究中发现相当多的患者合并慢性牙龈或牙髓的慢性炎症。这些牙周支持组织的慢性炎症的主要病理变化是牙槽骨吸收,有证据证明IL-6等炎症介质在牙槽骨吸收过程中充当重要角色,IL-6的浓度与慢性牙周炎的发生发展及其破坏程度密切相关。这类慢性炎症长期迁延或反复发作,常常导致人体内始终处于一种慢性炎症状态,此过程将会诱发肾脏的慢性损害或加速慢性肾病的进展。

与此同时,慢性肾脏病导致的钙磷代谢紊乱(骨质脱钙)又会进一步加重牙疾。说它复杂,是因为目前临床尚未对慢性牙疾对肾脏病的影响引起足够的重视,更缺乏大规模的深入研究。本人在临床上发现很多的慢性肾病患者,尤其是那些蛋白尿、镜下血尿久治不愈的患者,通过强化口腔卫生处置后(洗牙、治疗牙周炎及龋齿)后,相当多的患者尿蛋白及镜下血尿得到明显控制。其实,慢性牙疾与肾脏的关系就如同“上、下游污染源”的关系,上游污染源(牙齿)不清除,下游的污染及损伤(蛋白尿、血尿)是没有办法得到彻底控制的。所以,对于久治不愈的慢性肾病患者要认真检查牙齿,彻底清除上游的“污染源”。
牙周病的主要表现有:
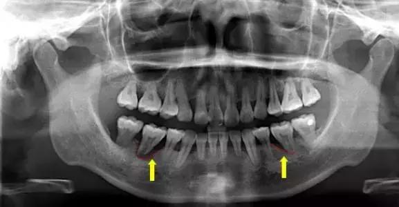
一.牙龈肿胀,牙周袋形成。由于炎症的扩展,牙周膜被破坏,牙槽骨逐渐吸收,牙龈与牙根分离,使龈沟加深而形成牙周袋。
二.牙周溢脓。随着病程迁延,牙周袋壁有溃疡及炎症性肉芽组织形成,袋内有脓性分泌物存留,故轻按牙龈,可见溢脓及口臭。
三.牙齿松动或脱落由于牙周组织被破坏,特别是牙槽骨吸收加重时,支持牙齿力量不足,出现牙齿松动、移位等现象。此时常伴有牙痛,牙龈慢性出血及口臭加重现象。

(俞雨生撰写)