点击「神经介入在线」可快速关注

买买提力·艾沙,男,出生于1971年2月,主任医师,*疆新**医科大学第一附属医院医院神经外科血管组组长、神经介入放射诊疗中心主任,*疆新**医科大学神经外科教授。*疆新**介入神经放射技术的开拓者之一,主要研究方向为脑脊髓血管病的诊断和多种方法治疗,擅长各种脑血管病的外科及介入手术,率先在西北地区开展对颅内巨大或复杂动脉瘤的颅内-外高流量搭桥手术,开颅及栓塞颅内动静脉畸、硬脑膜动静脉瘘,对脑干海绵状血管瘤的外科手术治疗有其独特之处。
担任中国医师协会神经介入专家委员会委员,中国医师协会血管外科专家委员会委员,中国医学会脑血管病委员会委员,中国脑卒中学会神经介入分会委员。
引言
Forword
卒中是导致人类致残和致死的主要病因之一,急性缺血性卒中(Acute Ischemic Stroke ,AIS)约占全部卒中的80%。 AIS 治疗关键在于 尽早开通阻塞血管,挽救缺血半暗带。最新发表的9大溶栓随机对照试验汇总分析进一步证实缺血性卒中发病4.5h内静脉注射rt-PA溶栓获益,但由于严格的时间窗限制,能通过获益的患者不到3%。
自2014年9月开始,一系列研究相继公布了较为一致的研究结果:在特殊筛选的AIS患者中,以机械取栓为主的血管内治疗可带来明确获益。美国于2012年批准了Solitaire 支架取栓装置。支架取栓装置的发明是卒中血管内治疗的巨大进步,取栓具有导航性和快速再通优势,并且不存在长期并发症的风险。使用临时支架捕获血栓,通过与外周血管壁的挤压移动血栓来恢复血流,撤出支架时血栓可与其一同被移除。
血管内治疗推荐意见
1、机械取栓
2、推荐使用机械取栓治疗发病6h内的急性前循环大血管闭塞性卒中,发病4.5h内可在足量静脉溶栓的基础上实施(I类推荐,*级A**证据)
3、机械取栓建议就诊到股动脉穿刺时间在60~90min,就诊到血管再通时间在90~120min(II类推荐,B级证据)
4、优先使用支架取栓装置取栓(I类推荐,*级A**证据)
病例信息
患者信息:女性,57岁
主诉:左侧肢体活动障碍,言语不清,加重伴意识不清1天。
现病史:
26/10 07:30左右 左侧肢体活动障碍,言语不清。
27/10 11:30 转入我院急诊科 意识不清,呼之不应,NIHSS评分 25分
15:30 我科会诊,诊断为“基底动脉血栓形成脑梗死(急性期);原发性高血压3级极高危组 ”。
▼影像资料

手术情况:27/10 19:00进入手术室,19:05麻醉开始后于19:10穿刺成功;20:45血管再通;21:50手术结束。
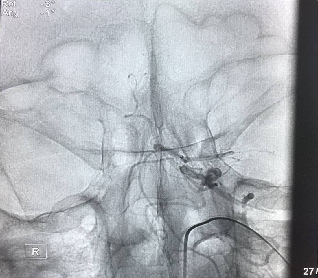
▼行造影明确动脉闭塞部位



▼微导管定位

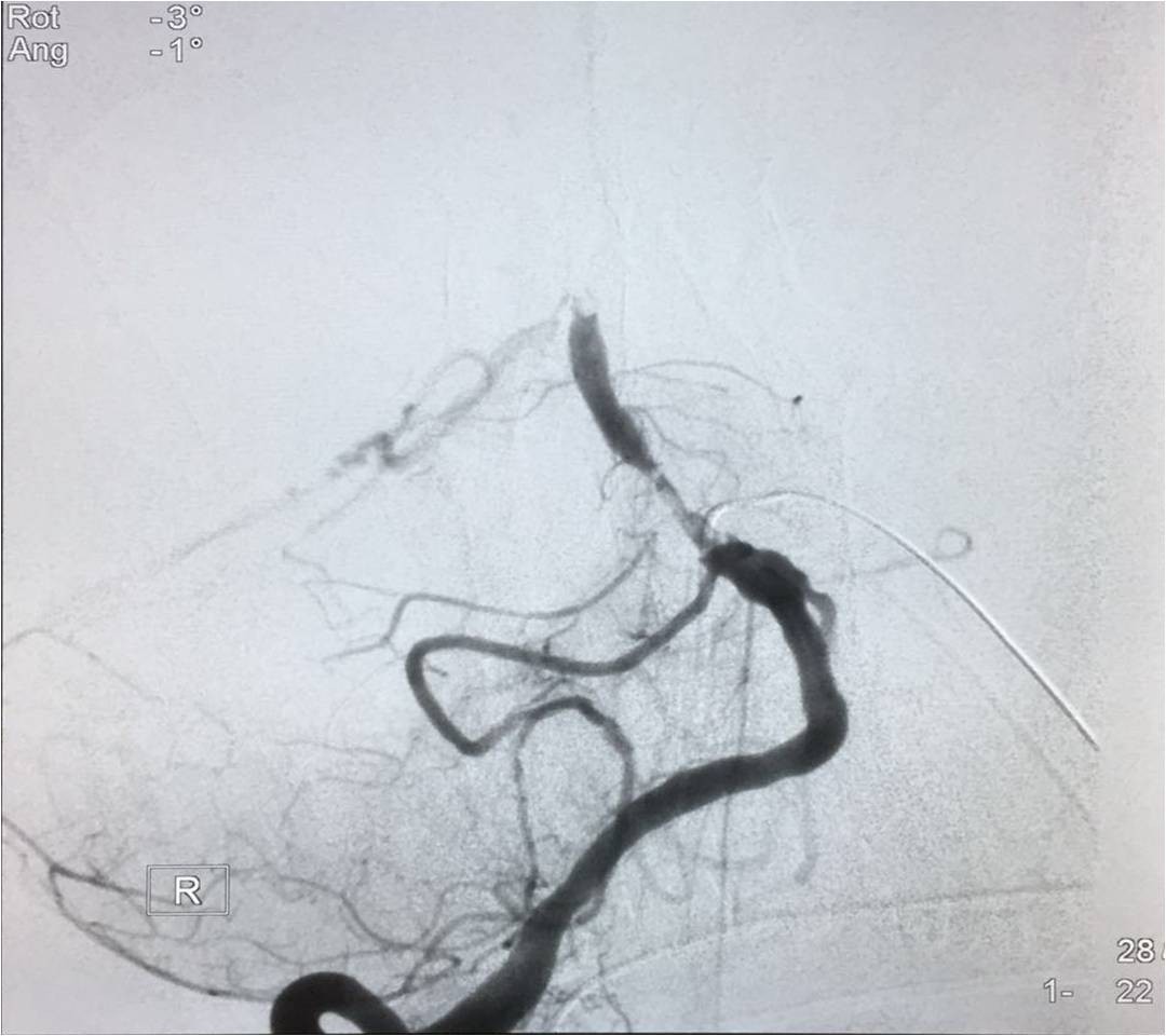
▼将Solitaire FR 送进微导管后将支架至于闭塞。部位远端,定位释放支架,保持原位5-10分钟后,将支架和微导管同时回撤。

▼复查造影。










治疗效果、预后及随访情况:患者入院后严格按照《2015急性缺血性卒中血管内治疗中国指南》给予诊断治疗。患者术前NIHSS评分≥30分,术后第一天NIHSS评分19分,病情未进一步加重,肢体肌力恢复到3级,神志较前好转,病情稳定,进一步康复后,可恢复生活自理。
在我院病情稳定后患者于11月6日转往其他医院康复治疗,建议患者终生口服拜阿司匹林。11月8日随访时NIHSS评分12分,随访时患者四肢肌力3级+,未进一步加重。我们对该患者会继续严密观察随访。以得到最终疗效。
病例小结
1、时间窗,患者在有效时间窗中得到及时的治疗,给予了静脉溶栓后未达到预期效果,通过我科会诊后,虽然患者诊断为急性基底动脉闭塞,症状非常严重,与患者家属充分交流后,大胆尝试使用最新的治疗模式,是本例病例的关键点。
2、手术抉择时间短,对于此类患者已发生了脑梗死,使用新技术、能否达到预期效果,在术前的考虑时间并不长的情况下,我们团队通过国内外的各种经验,以及平常对此类病患的研究,只有在有充分有把握的情况下,才有了这么短的时间做出对的选择,并能有效的说服患者家属,手术虽未能迅速的改善患者症状,但是在这些特殊因素下,施行手术后,患者病情得到有效的控制,把脑梗死对患者打击降到最低,是本例介入手术的成功之处。
3、手术协作性,对于此类患者,各个科室之间协作非常重要,介入手术室、CT室、麻醉科、重症监护病房,缺一不可。手术患者用最快的速度进入了介入室,并能够在有限的时间内使用新技术,达到了预期的效果。
4、技术先进性,本病例属于疆内首例Solitaire装置血管内机械取栓术,是由本院医师独立完成,其先进性在疆内属于较高的手术难度,开展好此类手术,对疆内脑卒中患者及时得到治疗,控制病情进一步恶化,改善脑卒中患者生活带来福音。
综上所述,急性脑卒中患者的治疗迎来了更高效、更先进的治疗模式,但是由于社会性因素,对于此类患者并不能在有效的时间窗内进行治疗,通过本病例将带给我们更新的认识、也激励我们能够继续进行此类患者的筛选以及救治,扩大影响力,从而带动社会了解此类手术的必要性,使得患者及患者家属受益。

欢迎广大医生积极投稿,分享经典病例。
投稿邮箱:sjjrzx@hh-medic.com