
哎呀!又开始智齿痛,每次痛好了之后又忘了去拔,等到下一次痛的时候接着后悔,这次真的受不了了,痛了2天2夜,饭不能吃,觉不能睡,真的铁了心要把烦人智齿给拔了

很多人的智齿啊,一直不敢去拔,久不久就出来作妖一下,最终痛苦的还是自己。今天就来聊聊——智齿那些事。
为什么会长智齿?
有些人以为智齿就是智慧的象征,只有聪明的人才会长,其实智齿和聪不聪明一点关系都没有,只是因为它萌出时间很晚,一般在16~25岁萌出,这个时候人的生理、心理发育接近已经成熟,才会被被称为“智齿”。所谓“拔了智齿会变笨”毫无科学依据。
智齿是不是每个人都有呢?也不一定,大多数人是4颗,有的少于4颗,有的甚至一辈子都不长,长智齿的年龄也很广泛,有的人二十岁就长了,也有的人四十岁才长,这些都是正常现象,如果你是属于一辈子都不长智齿的人,那真的太幸运了。
怎样判断自己有没有长智齿?
01.自我检查
首先你对着镜子,先找到自己的中线位置。在两个门牙中间,就是中线位置。

然后尽可能张大你的嘴,从中线开始往两边数,门牙是第一个,如果你之前没有拔过牙的话, 数到第8颗牙就是智齿 ,如果只有7颗牙,那就是没有长出智齿。

如果以前拔过牙怎么办呢?还有一种简易的办法,那就是看一边的大牙有几颗,有2颗就没有长出智齿,有3颗就有智齿。
下图的智齿已经完全长出了,也已经蛀掉了,所以这种情况就要赶紧找牙医去拔掉,否则还会连累第二磨牙也一起蛀牙,那就更麻烦了。

如果照镜子没发现自己有智齿?嘿嘿,先别高兴太早,有可能真的还没长智齿,也有可能是智齿阻生了,请看第二条。
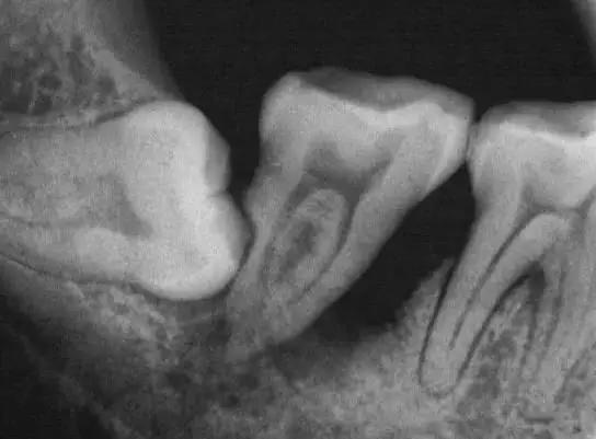
02.拍牙片
看不见的不等于不存在,也有可能是在牙槽骨里躺平了,没有冒头。这不代表智齿不会出问题,往往这种智齿会出大问题。
看牙片就能清晰地看到有没有智齿,智齿长的位置怎么样,要不要拔,一切清晰明了。

智齿可以不拔吗?
如果发现长智齿了先淡定,让牙医来检查一下是不是阻生智齿,是不是什么问题都没有,如果确实都没有,那么不用拔。

阻生智齿
但是其实80%的智齿都是有问题的, 最好还是拔掉 。因为不管长得正或不正的智齿,由于它身处口腔最深处,临近喉咙,给它的日常清洁工作带来了很大的难度,刷不净,甚至根本刷不到,所以很容易发生蛀牙,智齿发炎痛起来也是很要命的~
出现哪些迹象,就需要考虑拔智齿了?
01.智齿反复发炎
智齿带给多数人最直接的体会就是反反复复发炎,这就是传说中的智齿冠周炎。又肿又痛,严重起来嘴巴都张不开。
因为智齿的位置很特殊,距离咬肌很近,炎症如果没有及时控制,进一步引起咬肌间隙感染的话,嘴巴可能连个缝缝都张不开的,怎么吃饭?这种情况下,必要时需要切开引流的:在下颌下缘两公分左右水平,划开一个不大不小的口子,把肌肉从骨面剥开,分离腔隙,等待脓血肆意流淌……所以智齿长得不正,建议尽早拔除。

绿色箭头所示位置,相当于你嘴里有一个小型垃圾桶,是藏污纳垢的好手
如果智齿阻生,口腔里像上图这样形成盲袋,很方便藏污纳垢,条件合适,就肿起来了。冠周炎就是这么来的。当然,肿的时候不可以拔牙,最好去医院冲洗上药消炎,等消了肿再拔。
02.智齿没有咬合关系
智齿萌出的时间和位置都比较随意,并且不是有规律地成对出现。如果对侧智齿没有萌出或已拔出,就会出现“单身”智齿。
没有相抗衡的智齿来对咬的话,有时会发生智齿过度萌发伸长现象,甚至过分到直接咬在对侧牙龈上,反反复复咬破牙床子,严重影响咬合。
03.智齿已引起其他病变

大到可能需要刮骨手术的囊肿
智齿可以引起颌骨的萌出性囊肿,破坏颌骨,严重情况下可能需要截骨。这是会毁容的。所以,千万不要没看到智齿,也不疼不痒,就以为万事大吉。
04.正畸需要拔智齿
为了排齐牙齿腾地方,保证正畸治疗的效果,通常会考虑拔除智齿或其他不是那么重要的牙,比如双尖牙,也就是*牙虎**后面的牙。
还有研究表明,造成牙列拥挤不齐的原因之一就是智齿萌出,那就更得拔了。
05.智齿已经龋坏
没有良好咬合关系但是完全萌出的智齿,位置太靠里,很难清洁到位,容易发生龋坏。智齿那么靠里,自己也很难意识到,所以多数情况是疼了才发现。
疼了,就是已经慢性牙髓炎了,再拖一拖会引起慢性根尖周炎,进而可能引起颌骨骨髓炎,到这一步就很严重了。
06.智齿造成邻牙病变
智齿萌发空间不足,常常会倒在第二磨牙上,因而造成第二磨牙清洁不易。智齿躺的时间一长,就会把旁边的邻牙都顶坏了,然后两颗都同归于尽。

这就是个玉石俱焚的案例。本来第一磨牙就缺失,智齿把第二磨牙也给顶牺牲了,种牙是在所难免了。
07.智齿引起邻牙牙槽骨吸收
智齿会引起邻牙牙槽骨的吸收,城门失火,殃及池鱼。正常的邻牙因为远中牙槽骨的吸收,可能过早松动脱落。

拔牙疼吗?
拔智齿,想想都觉得疼,也是很多人不敢拔的原因。事实上,整个拔牙过程中基本无痛的,最不舒服的环节恐怕就是打麻药了。
当天智齿拔除麻药醒后会有点疼痛,一般是一天左右就好了。有些人对痛感比较敏感,拔牙后,会有一段时间的疼痛,一般2到3天,疼痛感就会消失。如果觉得太疼,还可以吃止疼药,不过总的来说,拔智齿一般只会导致人焉儿一天,第二天就活蹦乱跳了。
拔牙前要注意些什么?
01.尽量上午拔牙
其实下午也可以拔,主要考虑的还是出血的问题,万一拔牙后出血很多,下午医生都在,还是比较好处理的,避免了晚上挂急诊、无法正常睡觉。
02.早上记得吃了早餐再拔
没有吃早饭,容易低血糖,万一拔牙再紧张一下,晕厥了,给自己和医生带来不必要的惊吓和麻烦。

03.女性请避开月经期
国内各个版本的教科书都是写着月经期拔牙可能会引起代偿性出血。部分学者查文献获知,该结论并无直接证据。为了个人的健康,还是妥善为佳,除非是必须处理的急症。另外有拔牙经验的人说月经期拔牙会比较痛喔。
孕期能拔牙吗?
孕期若赶上智齿闹别扭,可是非常让人头疼的一件事。对于孕妇,原则上是不能拔牙的,即便是在孕期中3个月。创伤会引起一些不必要的麻烦。
怀孕前3个月易引起流产,后3个月易引起早产。剩下可选的治疗方案就只有缓解症状了。 想想都让人牙疼。所以 备孕也要去做一个口腔检查,有智齿就尽快拔掉 ,不仅仅是为了你自己,还有你的宝宝!
温馨提示
想要做正畸的小伙伴们,在矫正前一定要对医师进行了解,主要了解以下两方面: 1、医师本身的专业度是否足够,是否为矫正专科医师,能否及时发现问题,并做出最正确的诊断,提供最有效率的治疗计划。2、医师的个性是否精益求精,愿意花时间在患者的精密度以及牙齿排列的美感上,矫正过程中密切注意、定期检讨患者的治疗进度等等。3、医生的履历和工作经验,以及职称和口碑都需要我们去关注。 做正畸本身就是漫长而煎熬的一个过程,因此,选择一位专业技术过硬,责任心强,又敬业的医生才是关键中的关键!