
主编按语 · 张真发教授
我认为近年来肺癌外科的发展主要是三个方面:一是微创技术的发展;二是亚肺叶切除的广泛应用;三是新辅助免疫治疗的应用越来越受到胸外科医生的关注。
近20年来,以胸腔镜和机器人等为代表的微创技术的发展越来越好,胸外科医生对肺癌微创技术也越来越专注。随着科学技术的发展,我们完全通过网络就能开展微创技术的交流,医生之间手术技术差距越来越小,肺癌的微创外科手术也在胸外科医生之间获得普遍应用。同时,随着人们生活水平的提高,体检意识的增强,查体发现的早期肺癌越来愈多,尤其是磨玻璃病变在肺癌外科的比重越来越高。伴随着这个变化,早期肺癌的亚肺叶切除获得了更多的关注。对于体检发现的磨玻璃结节,是肺叶切除还是亚肺叶切除?如果选择亚肺叶切除,那么选择肺段切除还是楔形切除?目前的一些研究越来越支持一些磨玻璃病变亚肺叶切除能带来肺叶切除相同的肿瘤学效果。
肺癌手术不但包括肺切除,还包括淋巴结切除。尤其是非磨玻璃病变,目前肺叶切除+系统性淋巴结清扫仍然是标准治疗方式。而系统性淋巴结清扫目前我们采用的标准仍是IASLC的标准,即至少切除6组淋巴结,包括隆突下淋巴结在内的三组纵隔和三组肺门淋巴结。纵隔淋巴结的清扫,右侧争议不大,而且相对容易。左侧肺癌4L区淋巴结位于主动脉弓下,气管与左主支气管交界处,与主动脉弓、左肺动脉、左侧喉返神经、食管及胸导管毗邻,解剖结构相对复杂。4L区淋巴结的清扫有一定的难度和风险,因此一些胸外科医生在左肺癌的手术中不清扫4L区淋巴结,我们的研究发现左侧4L区淋巴结的清扫能带来明显的预后优势,我们的研究发表在《J Clin Oncol》 (当年影响因子26.303分)上。我们认为,虽然4L区淋巴结清扫相对困难,有风险,但是左肺癌的淋巴结清扫应包括4L区。当然,严格说来,右侧4区也有一个淋巴结,位于奇静脉弓下、右肺动脉上、气管和腔静脉之间,完全切除下来也有一定的风险。所以,不管那一侧的4区,要想完全切除,都需要外科医生的耐心和谨慎。
随着免疫治疗在晚期肺癌的应用,一些学者开始将免疫治疗应用于早期肺癌的新辅助研究。最早的新辅助免疫治疗(Checkmate159,NIVO单药新辅助免疫治疗)研究发表在2018年的新英格兰医学杂志上。随后的NADIM研究发现在N2或T4期肺癌患者进行免疫治疗+化疗的新辅助治疗,MPR高达83%,pCR达到60%。如果MPR和PCR能转化为生存获益,那么这部分局部晚期肺癌患者的治疗方式可能会有一个彻底的变化。在不久的将来,我们相信新辅助免疫治疗会给肺癌的治疗方式带来很大的改变。
本期执行主编

张真发 教授
主任医师、教授、博士研究生导师、天津医科大学肿瘤医院肺部肿瘤外科 行政主任、中国抗癌协会肺癌专业委员会常务委员、中国抗癌协会青年理事、中国抗癌协会肺癌专业委员会外科学组委员。
第三期
执行主编张真发教授推荐——
赵晓亮教授谈新辅助免疫治疗后免疫性肺炎患者的手术治疗

赵晓亮
天津医科大学肿瘤医院肺部肿瘤科、主治医师、美国乔治城大学隆巴迪肿瘤中心访问学者、天津市抗癌协会肺癌专业委员会青委会委员、2015年美国丹佛第16届世界肺癌大会(WCLC)、2017年美国癌症研究协会(AACR)年会口头报告及壁报交流 、在 <Journal of Thoracic Oncology>等杂志上发表多篇SCI文章。
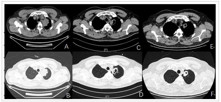
患者张某,男性,49岁,主因“间断左胸背痛伴左上肢麻木肿胀2个月”于2019年3月25日入院,入院查体神清,双肺呼吸音清,心、腹未见明显异常。实验室检查:血常规,肝肾功能基本正常,肿瘤标志物:细胞角蛋白19片段(Cyfra21-1) 6.42ug/L(正常0~3.3ug/L),其余肺部肿瘤标志物均在正常范围。行PET-CT:左肺尖可见软组织肿物影,密度欠均,CT值28-40Hu,增强后呈不均匀强化,CT值33-95Hu,边缘毛糙,牵拉临近胸膜,PET显像可见异常放射性农具,SUV值15.2,大小约5.1cm*4.1cm*4.1cm,周围可见多发斑片,条索及结节样影,考虑为周围性肺癌,临近胸膜受累。临床分期为T3N0M0,ⅡB期(图1A-B)于2019年4月4日进行CT引导下左肺上叶肿物穿刺,穿刺病理结果为:低分化非小细胞癌,结合免疫组化符合低分化鳞状细胞癌。免疫表型P40(+),CK5/6(-),CK7(+),TTF-1(-)。未见明显化疗禁忌症,分别于4月14日,5月8日,5月27日及6月19日分别行四周期新辅助化疗联合免疫治疗,具体用药方案为三周方案:紫杉醇(脂质体)270mg d1,卡铂600mg d1,纳武利尤单抗360mg d1。患者化疗反应不著,I度消化道反应及骨髓抑制。四周期治疗结束后肿瘤标志物Cyfra21-1降为3.31ug/L, 1周复查胸CT(28/6/19)提示:左肺上叶肿物较前缩小(3.6cm*2.5cm),其内实性成分略增大,疗效评价PR(图1C-F)。自第4周期新辅助治疗结束后患者逐渐出现咳嗽,胸闷,低热症状,胸CT提示双肺胸膜下多发实变浸润,考虑免疫性肺炎可能(图2A),予甲泼尼龙冲击(160mg/d)3天,而后逐渐减量至40mg,共2周,同时予头孢哌酮舒巴坦对症治疗,2周后改为泼尼松15mg口服,患者症状明显好转,复查胸CT左下肺斑片影较前吸收(图2B)。后患者充分评估后于2019年10月17日行达芬奇机器人辅助下胸腔镜左上肺切除+区域淋巴结清扫术,手术过程顺利,术中未见明显胸膜受侵,术后病理提示:左上肺低分化癌,结合免疫组化考虑大细胞癌伴鳞状细胞癌分化,并伴大量坏死,送检壁层胸膜(-),区域淋巴结未见癌转移,病理分期T2bN0M0ⅡA期。术后患者恢复良好,后患者先后行3周期术后辅助化疗,三周方案,具体为紫杉醇(脂质体)240mg d1,卡铂500mg d1。目前定期复查密切随诊,状态良好,无复发及转移征象。

图1 患者胸部CT提示肿物情况(A-B)基线期(3/29/19);(C-D)新辅助治疗2周期后复查(27/5/19);(E-F)新辅助治疗4周期后2周(28/6/19)

图2 (A). 28/6/19胸CT提示右下肺出现免疫性肺炎;(B). 24/7/19胸CT提示经激素冲击治疗后肺部浸润实变情况明显改善。
目前,对于局部进展期非小细胞肺癌,特别是ⅢA期新辅助化疗的临床地位一直存在争论。但随免疫治疗和免疫单抗在晚期非小细胞肺癌中PFS和总生存取得的一系列的成绩,免疫治疗也期望在中晚期非小细胞肺癌新辅助治疗领域寻求突破。从第一个Ⅱ期临床研究CheckMate159实验开始,包括LCMC3研究,双免疫联合的NEOSTAR研究都取得了较为理想的结果,特别是免疫联合化疗在新辅助阶段应用的NADIM研究,大大突破了人们对免疫联合化疗的预期,影像缓解率在70%以上,大体病理缓解率(MPR)在85%以上,远远高于单纯新辅助化疗的效果,同时并未提高手术难度。虽然目前关于免疫联合化疗新辅助Ⅲ期的临床实验仍未结束,但是我们仍有理由期待有突破性的结果出现,并对现有的关于局部晚期的非小细胞肺癌的临床诊疗规范做出明显的改变。
免疫相关性肺炎是免疫治疗非小细胞肺癌中较为常见的副作用之一,中位发生时间在接受免疫治疗后3个月,发生率在4%左右,临床表现没有特殊性,多为呼吸困难,咳嗽,胸痛,部分伴有发热,在治疗上,免疫相关性肺炎一般考虑激素冲击疗法,应用4~6周,逐渐减量,如症状48小时不缓解可加用英夫利昔单抗,环磷酰胺,或考虑丙种球蛋白。大部分免疫相关性肺炎患者预后良好。本例患者新辅助免疫治疗后发生免疫性肺炎,经过激素治疗后病情缓解,然后给予手术治疗,手术过程和术后恢复均较顺利,肺癌新辅助免疫治疗后发生免疫性肺炎并不是手术禁忌症。
主编评语 · 张真发教授
我们科在国内很早开始新辅助免疫治疗,在新辅助免疫治疗方面有很好的经验。免疫新辅助治疗也有很多的问题需要解决,例如新辅助治疗后手术难度增大了吗?哪些患者新辅助免疫治疗效果较好?目前众说纷纭,这方面我们也有很多的体会。除此以外,我们胸外科医生最担心的是新辅助免疫治疗的副作用,尤其是早期肺癌,发生严重副作用怎么办?本例患者新辅助免疫+化疗后,产生了新辅助肺炎,这种情况下还能够手术治疗吗?我们将我们的经验与大家进行分享。
版权声明
本文版权归医悦汇所有。欢迎转发分享,其他任何媒体如需转载或引用本网版权所有内容,须获得授权,且在醒目位置处注明“转自:医悦汇”。
推荐您看
例执行主编张真发教授组稿——
☞张真发教授组稿 | 张连民:肺段切除在早期肺癌应用的困惑和展望
☞张真发教授组稿 | 岳东升:非小细胞肺癌新辅助免疫治疗最新进展
☞张真发教授组稿 | 李晨光:肺癌手术的淋巴结清扫研究进展
