
肝硬化常见严重并发症——食管胃静脉曲张破裂出血
肝硬化门静脉高压引起的上消化道大出血往往病情凶险,内科保守治疗效果不理想,而传统外科手术难度大风险高,患者死亡率较高。

门静脉与体静脉之间有广泛的交通支,在肝硬化门静脉高压时,为了使淤滞在门静脉系统的血液回流,这些交通支大量开放,并使扩张或曲张的静脉与体循环的静脉发生吻合而建立侧支循环。其中最为常见为食管下段静脉丛曲张、出血。

门静脉侧枝循环示意图
TIPS手术
TIPS手术是一种介入微创手术,这种手术既能立即栓塞出血血管达到止血目的,又能降低患者门静脉压力,算是一个治标又治本的治疗方案,效果仅次于绝大多数患者无法企及的肝脏移植。

TIPS手术示意图
TIPS术全称为经颈静脉肝内门体分流术(transjugular interhepatic portosystemicstent-shunt,TIPS),是近年发展起来的,并逐步成熟的,用于治疗肝硬化门脉高压、食管胃静脉曲张破裂出血和顽固性腹水的一种手术。TIPS术后门静脉血流可迅速部分分流,门静脉高压即刻得到缓解,其疗效已得到国内外学者广泛肯定。
【TIPS手术适应证】
1.肝硬化门静脉高压症伴胃食管静脉曲张破裂出血
2.反复发作性静脉曲张破裂出血且经胃镜硬化套扎、药物等内科治疗无效者
3.门静脉高压症致顽固性腹水
4.布加综合征
5.肝移植术前的过渡治疗

典型病例
中年男性,确诊肝硬化多年,既往有长期大量饮酒史。突发上消化道大出血。

胃镜检查提示食管静脉重度曲张、门脉高压性胃病

MRI显示肝硬化,食管胃静脉曲张;脾大
患者肝硬化失代偿期,有消化道出血史,有行经颈内静脉门腔分流术(TIPS术)指征,以预防再次消化道出血风险。

TIPS术示意图
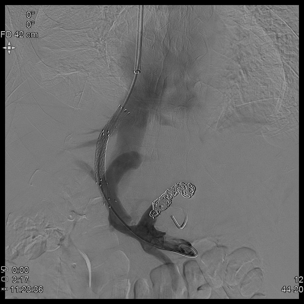
- 成功穿刺到门静脉分叉处,置入猪尾巴导管至脾静脉远端造影显示胃冠状静脉及食管静脉重度迂曲扩张。门静脉压力高达63cm水柱!

- 栓堵曲张的胃冠状静脉及食管静脉。沿穿刺道置入支架建立门-腔分流道,复测门静脉压力即刻降至40cm水柱!

- 术后患者腹水逐步消退、吸收,腹胀症状明显缓解。TIPS术不仅显著降低患者再次消化道大出血风险,同时有效缓解门脉高压性胃病、顽固性腹水等系列门脉高压临床症状,生活质量明显改善。

介入微创守护您的肝脏