屋漏偏



遇连阴雨—肺结核合并肺癌
一.初始患者:慕名而来
河南省胸科医院结核病专业、胸外专业是河南省卫健委批准的省级重点学科。经过多年不断奋斗,胸科医院在临床、科研、教学方面均达到了省内领先乃至全国先进水平,并赢得了“三级甲等医院”的美誉。长期以来,很多患者慕名而来,这是广大胸部疾病患者对胸科医院实力的认可。
刘某,男性,47岁,因咳嗽、咳痰半年,至省内某三甲医院就诊,行气管镜检查并活检,确诊“左下肺鳞癌”,予以化疗一周期,患者症状无改善,考虑肺癌合并肺结核,遂指导患者至胸科医院就诊,确诊双肺结核。最终确诊:双肺结核合并左下肺鳞癌,转入胸科医院进一步治疗。
二.治疗过程:个体化精准治疗
入院后,完善各项相关检查,确定诊断:1.双上肺结核,初治,痰涂(阳性);2.左下肺鳞癌,T3N2M0。经院内多学科会诊(MDT),结合患者个体化之病情,制定精准的治疗计划:1.接触隔离;2. 向患者讲明上述疾病的危害性,以取得患者的积极配合并帮助患者树立战胜疾病的信心;3.抗结核治疗和抗肿瘤治疗同步进行;4.待结核稳定、肺癌降期后,考虑行左下肺癌根治术。
治疗12周复查胸部CT,双上肺部结核病灶较前较少,左下肺部肿瘤较前无大变化,肿瘤评估:稳定,但未再进展。抗痨治疗/抗肿瘤治疗期间,患者耐受性较好,无明显毒副反应,精神状态较前好转,咳嗽、咳痰症状明显减轻,痰涂转阴,极大增加了进一步治疗的信心。继续按原治疗方案行抗痨、抗肿瘤治疗,患者一般状况进一步好转,咳嗽/咳痰症状消失,24周复查胸部CT,双上肺结核病灶部分钙化,病情趋于稳定并向好的方向转归。左下肺肿瘤较前稍增大,肿瘤评估:稳定。
在左下肺肿瘤稍有增大的情况下,再次组织院内会诊:继续抗结核治疗;左下肺肿瘤一直处于稳定状态,可去铂行单药维持治疗,也可去铂加用抗血管生成药物进行抗肿瘤治疗。与患者充分沟通交流后,患者选择单药抗血管生成治疗不愿继续化疗。尊重患者意愿,继续抗痨加单药抗血管生成治疗。
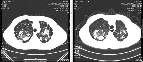
双上肺结核,抗痨治疗24周后病灶较前明显吸收(肺窗)
双上肺结核,抗痨治疗24周后病灶钙化范围增大(纵膈窗)窗)
左下肺鳞癌,抗肿瘤治疗24周后病灶较前增大(纵膈窗)窗)
3、 患者在治疗过程中的注意事项:
医护:医患充分沟通,让患者充满治愈疾病的信心和希望,从而保持良好的依从性。
患者:积极配合治疗、认真执行医护制定的治疗方案、复查方案。积极主动与医护人员沟通交流。
4、 患者的预后如何?
1. 双上肺结核:咳嗽、咳痰、乏力等症状消失,痰涂片已转阴性,双上肺病结核病灶已部分钙化,临床治愈。继续院外抗痨治疗,按原定计划治疗、复查。
2. 左下肺鳞癌:第一阶段(1-12周),肿瘤学评估:稳定;
第二阶段(12-24周),肿瘤学评估:稳定,但影像学较前增大。
5、 患者在日常生活中的注意事项:
1.保持心情愉悦。客观面对疾病,保持积极的心态,心情抑郁时,学会分散注意力,尽可能避免独处。
2.保持规律作息。规律作息有利于病灶组织的修复,有助于提高机体的免疫力。
3.合理膳食、戒烟忌酒。少食或不食辛辣刺激性食物,多食易消化且营养丰富的食物。烟酒不仅会加重肝脏、肺脏等重要脏器的损伤,还可能会与治疗药物相克,进而增加不良反应发生的几率。
4.适当体育锻炼。体育锻炼不仅可以强身健体,而且还可以分散注意力,但要量力而行。
6、 医生感悟:
随着社会的发展、科技的进步,精准医疗时代已经来临,并逐步普及。精准医疗是医学发展的必然方向,精准医疗不仅能治疗疾病,更能预防疾病。但精准医疗的真正深入,还是首先得益于现代医学精准的诊断技术。结合本患者,实验室Gene-xpert检查:结核分枝杆菌复合群阳性,为双上肺结核的诊断提供了重要诊断依据。纤维支气管镜下活检,又为左下肺鳞癌的确诊提供了病理学依据。另外,分子生物学检测结果也为临床预测靶向治疗、免疫治疗效果提供了可能。精准治疗的前提是精准诊断,疾病的治疗手段有多种,但没有一种“放之四海而皆准”的手段。具体到临床实践中,就是要在治疗规范的指导下,根据患者的具体情况,制定出个体化的治疗方案,这才是精准治疗的实质。
患者入院后,经院内多学科会诊,专家组制定了抗痨同步抗肿瘤的治疗原则。结核病的治疗,患者依从性较好,在专科医师的指导下,坚持“早期、规律、适量、联合、全程”抗痨治疗,最终获得了良效。然而,肿瘤的治疗,效果不佳,最终也未能按原计划实施手术治疗。分析原因:1.主管医师的责任,没能让患者充分认识到所患疾病的严重性以及治疗不彻底可能给患者带来严重的后果,以至于让患者产生了“见好就收”的念头。2.患者自身的责任:经过第一阶段的正规治疗后,患者精神状态较前明显好转,不适症状消失,故患者从心理上放松了警惕,依从性变差,进而影响了治疗效果。3.对恶性肿瘤的认识不足,还不能从正真意义上做到“精准”,无论在诊断上还是在治疗方面。4.肺结核合并肺癌的治疗难度更大,在这两类疾病中,单就某一个疾病来讲,临床治疗过程都是困难重重,这种“双阳”患者的治疗难度更是可想而知。这就需要结核专科医师、肿瘤专科医师共同协作,制定出一切实可行的治疗计划,同时对患者进行全程化管理,及时发现治疗过程中出现的异常问题,随时对方案作出微调。
总之,专病还需要专治,医护工作者需要加强学习,不断提高自身的业务能力和素养。患者需要放下思想包袱,积极配合好专业医师的临床治疗。
祝愿广大患者早日康