北京大学人民医院青岛医院
(青岛妇儿医院城阳院区)
口腔科门诊上
北京大学人民医院
口腔科专家庄欣宇
常常碰到患者提出这样的疑问:
自己的牙齿已坏掉
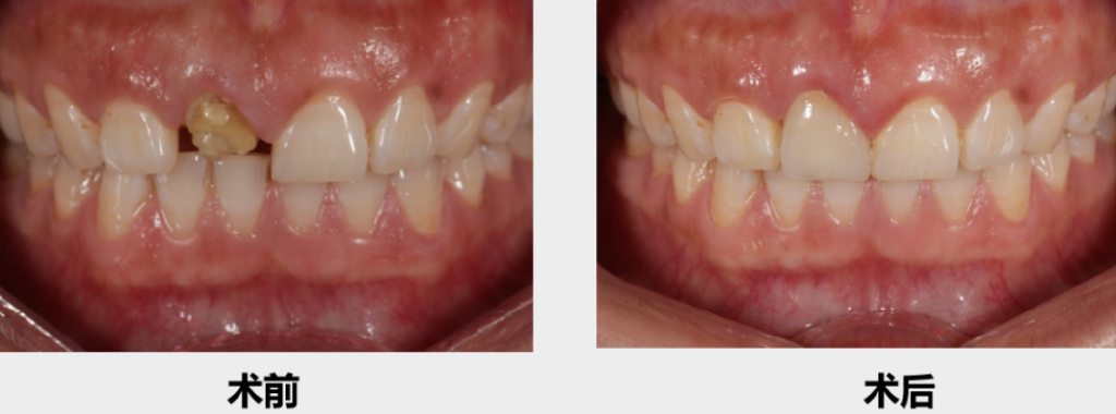
但剩下残根
或者牙冠大部分缺损
只剩下残冠了
这颗牙齿还有保留的意义吗?
是不是应该去拔掉呢?

口腔科专家庄欣宇从事牙体缺损、牙列缺损修复20年,擅长复杂局部义齿修复、全口义齿修复、牙齿美容修复、固定义齿修复。她提醒:遇到类似情况,别急着拔,或许牙还有救。

生活中,牙齿由于龋病、牙外伤、磨损、楔状缺损、酸蚀症、发育畸形等因素,会造成残根残冠。如果放任不管,容易残留食物残渣,造成更严重的病变,例如咬合关系紊乱、牙齿排列畸形等。
●牙齿咬合关系紊乱
因为残根残冠没有了很好的外形,不能和对颌的牙齿形成良好的咬合、咀嚼关系,会导致咬合错乱。
●其他牙齿感染
残根残冠会祸害其他健康的牙齿。比如说龋齿,残根上的龋齿细菌会引起其他牙齿龋坏。
●牙齿排列畸形
只剩下残根残冠,会导致两边的牙齿向中间倾斜,出现牙齿拥挤等畸形情况。如果本来有牙齿排列畸形,这时候会更加重。
●口腔细菌滋生
残根残冠易藏食物,不易清洁,细菌滋生繁殖后可引起口臭,给社交活动带来不便。
残根、残冠修复就是根据缺损情况,使用人造牙冠对原本缺损的牙齿进行修复。修复后不仅能保证牙齿外形不变,还能够给予颌骨足够的生理刺激,促进牙槽骨高度及丰满度的保存率,减缓牙槽骨的吸收,维护牙列的稳定。
尤其是全口多数牙缺失时,保留残根、残冠有利于活动义齿的固位和保持稳定性,提高修复效果。对于合并其他全身系统性疾病(例如严重心脏病、糖尿病及高血压等)而无法进行牙齿拔除处理的患者,可以通过根管治疗以及修复治疗来保留残根、残冠,避免拔牙的并发症。

专家提醒,如果患者经过检查明确患有如下疾病,或符合如下描述的症状,应及时就诊:
●检查发现牙齿存在缺损、变色、形态异常等。
●检查发现牙齿排列轻度不齐、位置异常、牙冠因外伤等因素折断。
●检查后明确为氟斑牙、牙釉质发育不全、锥形牙、四环素牙。
●牙齿缺损较大,无法填充治疗的患者。
●患者具备较为完善的根管治疗,原有的炎症得到有效控制。
科普时间
残根残冠修复后,应该注意些什么?
●修复后,一般需要1-2周患者就可以完全适应。但由于每一个患者的基本情况有所不同,会在一定程度上延长适应时间。
●牙冠修复治疗后,尽量不要吃过硬的食物。在饮食上建议开始先吃一些较软的食物。完全适应后就可以正常饮食。
●在日常生活中一定要养成饭后、早晚刷牙的习惯,对于日常所用牙刷应定期更换,一般建议三个月更换一次。
●在日常的运动和工作中一定要注意,避免外伤。