很多人看病喜欢到大医院,大医院的医生见得多想得深,不会把早期延误成晚期。毕竟很多比较严重的疾病,在早期也可以症状很轻微,容易被疏忽耽搁,从而降低治疗效果。
今天就跟大家分享一个少见但比较严重的疾病,由于缺乏特征性,早期容易误诊,多走弯路延误治疗。
一个咳嗽、吐血的男士,肺里发现磨玻璃影
这是一位37岁的男士,前半生可谓坎坷不断:7岁时患过支气管炎,治疗不及时,之后就落下了慢性咳嗽的毛病,大约15岁患了鼻窦炎,17岁时发生肾小球肾炎,出现蛋白尿,经激素及对症治疗后好转,但之后反反复复,并出现高血压,大约30岁时开始接受肾透析治疗。
最近十几天开始尿血,最近8天开始咳嗽,并且痰中带血,每天大约出现10ml,于是安排了胸部CT:

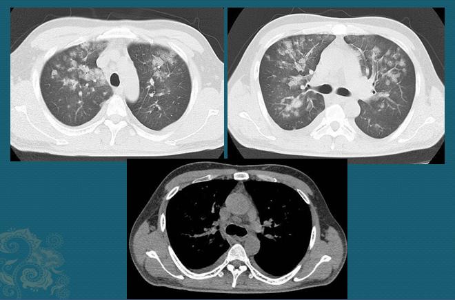
1.上面两张白色的图片是肺窗,可以看到双肺多发的白色小斑片影,部分呈磨玻璃影,沿着小树枝状的肺血管周围分布,大部分边界不清晰,部分有融合;
2.下面的灰*图色**像是纵隔窗,用来观察纵隔软组织结构的,可见纵隔内数个稍大淋巴结,还有双侧少量胸腔积液(胸腔背侧弧形条带状影)。
这种表现首先不符合肺癌。那么,大家最近都很关注新型冠状病毒肺炎,细心的读者会了解到,早期新冠肺炎就是肺内出现磨玻璃影,这位男士会不会是被新冠病毒感染了呢?
不是!有几个重要的CT鉴别点:
1.新冠病毒的磨玻璃影多为外周分布,内中带气腔分布的少见;
2.新冠肺炎少见胸腔积液、少见淋巴结肿大。如下图:

不是肺癌,也不是新冠肺炎,是不是就不怕了呢?
很遗憾,有些疾病比轻症病毒性肺炎和早期肺癌更可怕!这位男士最终去协和医院做了穿刺确诊,病理是显微镜下多血管炎(MPA)。
这个病很严重吗?早治和晚治有什么差别吗?
该病死亡率高,早期治疗和拖延治疗的差别很大!早期诊断和及时治疗的病人一年存活率能达到82~92%,5年生存率可以提高到45~76%;而如果不及时诊治,5年生存率仅为10%。
显微镜下多血管炎自然病程进展比较快,死亡率高,据国外报道死亡高峰集中在一年内,尤其是前三个月。因此在发病的前三个月,密切观察和及时到医院随诊非常重要!病人的主要死亡原因是高疾病活动度、肾衰竭、继发感染和心血管系统受累。
当然也不要过度紧张,这个病的发病率只有大约1/10万(远低于肺癌),男性稍多,发病年龄多在50 ~60岁。

大家应该最关心两个问题:这个病早期常见哪些症状?该怎么正确诊断?
从疾病名称就能看到,这是一种血管炎,病理上是血管壁的急慢性炎细胞浸润,继而出现血管壁增厚、管腔狭窄、阻塞以及周围组织的坏死、出血,病变主要侵犯小动脉、微动脉、毛细血管和微小静脉,以肾脏、皮肤和肺最常见,常表现为坏死性肾小球肾炎和肺毛细血管炎、皮肤血管损伤等。
所以常见的症状有:
1.皮肤损害:间断皮肤紫癜,高出皮面的充血性斑丘疹,网状青斑,皮肤溃疡,皮肤坏死、坏疽及指端缺血坏死性结节、寻麻疹等;
2.肾功损害:急慢性肾小球肾炎、血尿、蛋白尿、肾功损害(血肌酐升高)等;
3.肺部血管损伤:痰中带血、间断咯血、甚至出现大咯血;大量肺泡出血是导致病人死亡的重要原因。但是咯血量与病人的症状并不一致,与贫血程度也不一致。就是说有的病人咯血量很少,却可以出现中重度贫血、呼吸困难,甚至窒息死亡……
这种病可以急性起病,也可以在几年内隐匿起病。
所以有读者就能反应过来,为什么出现上述症状的病人挂号看病,医生会在血、尿常规之外,还要建议病人做肾功能、肺部CT检查等,不是滥开检查,是要排除一些少见的凶险疾病,做到早发现早治疗,这可以救命的。

显微镜下多血管炎,在肺部CT上有哪些表现呢?
1.两肺斑片状影、磨玻璃影为主,这是由于弥漫性肺泡出血以及继发炎症所致,这些表现在活动期病人更常见。
慢性病程者反复发作,继发肺泡间隔的慢性炎症,也可以出现肺纤维化表现,包括蜂窝状影、牵拉性支气管扩张、网格影等,提示预后差,尤其是出现蜂窝状改变。如下图:

肺间质纤维化形成“白肺”,支气管扩张
这位病人也是类似“白肺”的表现,是慢性肺泡出血、继发间质纤维化、支气管牵拉扩张所形成,跟新冠肺炎白肺的机制和发作速度都有不同。
要注意的是:经支气管肺活检病理中能够发现肺小血管炎的概率很小,但肺泡罐洗液中能够发现大量红细胞或含铁血黄素细胞,有助于早期诊断肺泡出血。这个时候的大医院的专科医生,更容易抓住本质!
这么精确诊断这种显微镜下多血管炎呢?
本应尚没有统一的诊断标准。
如果出现系统性损害,包括肺部CT表现,肾脏受累,以及皮肤紫癜,应考虑到该病的诊断。以下情况有助于诊断:
1.中老年人,男性多见,出现发热,乏力,厌食,关节疼和体重减轻等前驱症状;
2.肾脏损害,包括蛋白尿,血尿,急进性肾功能不全等;
3.肺部CT出现上述肺泡出血的改变;
4.伴有胃肠道,心脏,眼睛,耳朵,关节等全身各器官受累表现。
5.肾、肺活检有助于诊断,尤其是肾活检,可见肾小球毛细血管丛节段性纤维素样坏死、血栓形成和新月体形成,坏死节段内和周围偶见大量中性粒细胞浸润。免疫学检查无或者仅有稀疏的免疫球蛋白沉积,这具有重要的诊断意义,可以鉴别其他肾病。肌肉和腓肠肌神经活检也可以见到小到中等动脉的坏死性血管炎。
6.ANCA阳性,ANCA检测被公认为诊断本病敏感而又特异的血清血诊断工具。
约80%的显微镜下多血管炎病人ANCA阳性,是重要的诊断依据,也是检测病情活动和预测复发的重要指标。其滴度通常与血管炎的活动度有关。其中大约60%的病人MPO阳性,肺受累者常有此抗体,另外约15%的病人PR3阳性;但≤20%病人ANCA阴性,因此ANCA阴性不能作为排除诊断的指标。

最后说一下该病的治疗:
包括诱导期维持及病情复发后的治疗:
诱导治疗,主要是糖皮质激素联合细胞毒药物(环磷酰胺应用最广泛)。重症病人必要时采用大剂量甲泼尼松龙(激素)冲击疗法,连续性血液净化以及血浆置换等。
据报道,单用皮质激素存活率约为50%,加用环磷酰胺可提升至80%。目前临床上经过糖皮质激素和环磷酰胺联合治疗,约有90%的肾脏受累病人能达到完全缓解或部分缓解。但无论如何积极治疗,仍有约20%的病人最终进展为终末肾病,需要接受长期血液透析或者接受肾移植。
开头我们提到,这个病比很多轻症新冠肺炎和早期肺癌更凶险,因为约有30%的病人会在治疗缓解后1~2年内复发,而该病复发的治疗尚缺乏循证学依据。据某些研究显示,CD20单抗在难治型或危重症患者中的作用正逐渐被认可,期待这个领域的科研人员尽快攻关,早传捷报!
最后简单总结一下,这个病很复杂,早期症状又不典型,需要做多种化验和检查、甚至肺穿刺和肾穿刺,有些要数百块甚至上千块,但早期及时确诊,及时用药,可以大大延长寿命,甚至多年不复发。

我是影像科豪大夫,分享小病例,传递正能量,欢迎关注!
本文参考文章:
1.显微镜下多血管炎(MPA)的胸部影像学表现,卜学勇;
2.ANCA相关性血管炎肺部改变,谢青;
3.肺部疾病临床与影像解析,张嵩。