最近感染人数增多,广大网友一定注意多多防护,健康饮食增加免疫力 今天想和大家分享直肠癌患者被科学治疗后,病情可以得到有效控制的案例
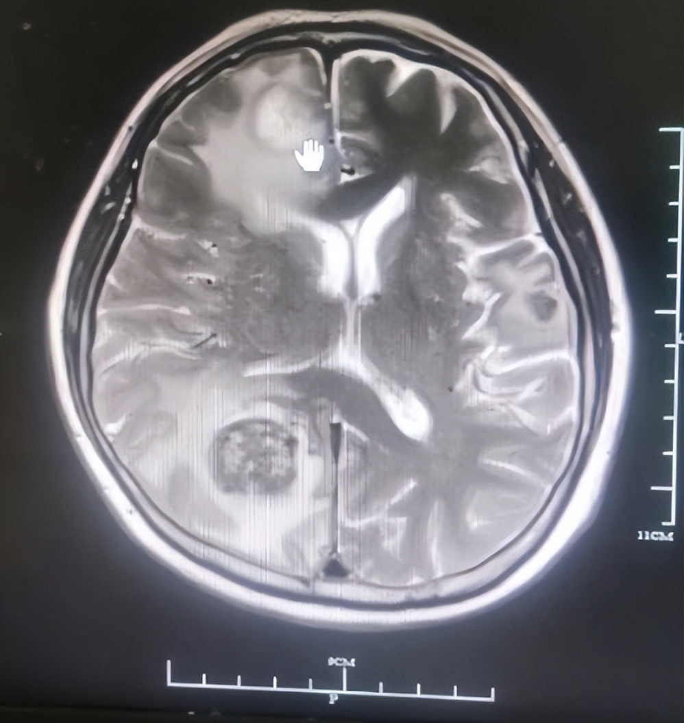
田女士是一位直肠癌患者,有58岁了,已经查出来了晚期,出现了多处转移,一直在外院接受治疗。在2021年7月28日,田女士发现左侧肢体动弹不了,还出现了头晕头痛的情况,接着在外院查了头颅CT后,显示:右额顶叶、左额叶占位,考虑田女士病灶出现了脑转移,又查了头颅MRI,发现颅内有数枚大小不一的结节,右侧枕叶有一稍大一枚结节,长径约3.0cm,提示疾病出现了进展,于是田女士的家属跟外院人员商量好,考虑将田女士转入我院进行下一步治疗。

图为田女士头颅MRI情况
收治入院后,田女士的家属把田女士的片子拿给了我,我看了一下,CT显示:双肺多发结节,肺主动脉窗多发淋巴结,胸8椎体骨质异常密度。分期为TxNxM1 IV期。考虑到田女士出现了脑转移的情况,头晕头痛,左侧肢体活动受限,建议他们先进行放疗来缓解一下目前的情况,田女士的家属表示:大夫,都听你的,只要她的病情能控制住就好啊!于是于2021年8月4日对田女士颅脑转移瘤进行姑息减症放疗15次,靶区包括全脑,经放疗后,田女士的左肢有了明显改善,可以正常活动。

田女士的脑转移灶有所控制后,科室人员讨论评估后,建议她采用信迪利单抗+呋噻替尼方案进行治疗,信迪利单抗是一种单克隆抗体,主要通过将机体免疫系统调节或激发,从而将机体正常的抗肿瘤免疫反应恢复,将肿瘤细胞控制以及杀灭,效果显著,呋噻替尼是一种具有高度选择性的肿瘤血管生成*制剂抑**,单药适用于转移性结肠癌患者的治疗。联合应用可以进一步提高治疗效果。接着于2021年9月2日开始进行信迪利单抗+呋噻替尼免疫联合靶向治疗,一周期为21天,进行了18周期,之后复查的时候发现田女士出现了T8椎体转移,并且田女士表示腰背疼得厉害,晚上都休息不好。
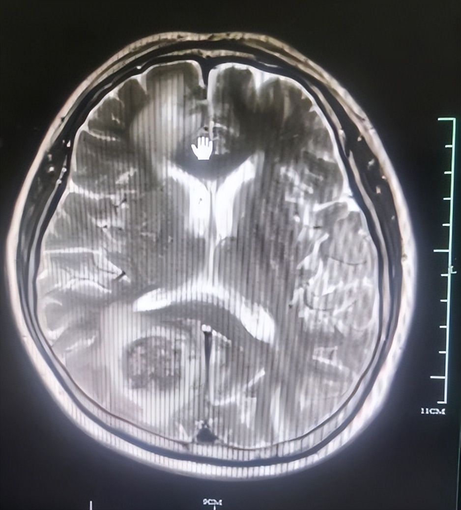
于是于2022年10月3日进行局部姑息性放疗5次,采用的是SBRT-IGRT放疗技术,靶区包括胸椎,之后于2022年10月20日进行了两周期信迪利单抗+呋噻替尼方案治疗,复查头颅MRI显示:双侧大脑半球多发结节较前缩小,周围脑水肿减轻。复查腰椎CT后,病灶较前稍缩小(如下图),疗效评估为疾病稳定(SD),于是为田女士办理了出院。

图为田女士复查头颅MRI情况
田女士刚入院时,左侧肢体活动受限,头晕头痛,确诊为直肠癌伴多发转移,经局部放疗、免疫联合靶向治疗后,田女士的病情有了明显控制,左肢可以正常活动,没有头晕头痛、恶心呕吐、腹胀腹痛等不适,复查CT后显示病灶较前缩小,疗效评估为疾病稳定(SD),于是为她办理了出院,叮嘱她三周后来院再次以原方案进行治疗。同时也提醒她出现头晕头痛时,尽量卧床休息,改变体位时动作宜缓慢,必要时监测血压。保持地面干燥,无障碍物,防止患者摔倒或滑倒。
田女士及家属的配合度还是很高的,这一点也值得大家学习。此外,直肠癌是发生在齿状线至乙状结肠、直肠交界处的癌,是胃肠道中常见的恶性肿瘤。通常,便血是直肠癌常见的症状,便血多为红色或暗红色,混有粪便的黏液血便,或脓血便,有时还会有伴有一些血块、坏死组织,还有可能出现大便习惯改变,这是由于肿块及其产生的分泌物,可产生肠道刺激症状,使便意增加,排便不昼感,里急后重等症状,但排出物多是黏液脓血状物,严重的情况还会出现肠道狭窄及梗阻现象、肛门疼痛及肛门*禁失**等,这些都要引起我们大家的重视了,出现上述问题时一定要及时进行排查,以免延误治疗时机。