近日,哈医大一院群力院区消化内科通过消化内镜结合U100激光碎石技术,成功为一名93岁高龄老人解决十二指肠巨大结石嵌顿并形成十二指肠梗阻,不仅为患者解除病痛折磨,而且还成功避免外科手术所带来的创伤和风险。
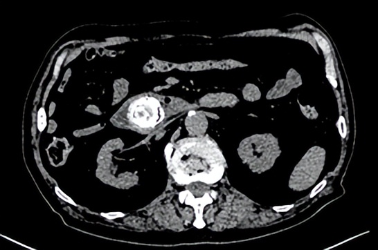
于爷爷三天前进食了一些柿子后出现上腹部不适,伴有恶心呕吐症状,逐渐连水也喝不下,人迅速萎靡、衰弱,后来出现腹胀腹痛,到急诊就诊,腹部CT检查发现十二指肠水平段高密度影,继发胃部扩张(图1),遂收入消化内科继续治疗。

图1
入院后经过详细检查,确诊患有十二指肠巨大结石,并阻塞肠腔形成梗阻。既往胃结石或胃结石移位至十二指肠内的患者,可通过口服碳酸氢钠注射液的方式使结石溶解或部分松解,再通过圈套器将结石碎成小块,患者可自行排出体外,但于爷爷的结石大且坚硬,应用上述办法内镜下碎石并不适用。(图2)

图2
保守治疗无效,只能考虑外科手术的方式取出结石。但于爷爷年岁已高,多日未进食,一般状态差,且在卧床后出现肺炎,外科手术中的麻醉等风险极大。手术,难以平稳度过围手术期;不手术,老人家将因消化道梗阻而命丧九泉。群力院区消化内科经过充分而严谨的术前讨论后,为老人定制了消化内镜联合U100激光碎石技术,尝试击碎十二指肠巨大结石,以最小的风险争取最大的收益。
2023年5月6日和8日,哈医大一院群力院区消化内镜中心凭精湛的手法,耐心细致的操作,分次将嵌顿在十二指肠结石全部击碎,复查胃镜十二指肠肠腔通畅,无结石残留(图3、4),于爷爷终于又可以恢复正常生活了。

图3

图4
柿子或枣中含有一种称为鞣酸的物质,在胃液的作用下,能与蛋白质结合成不易溶于水的鞣酸蛋白,并把柿核、蔬菜植物纤维粘合在一起,在胃内形成胃石,部分胃石可移位至十二指肠内。
以往治疗胃石,大多采用药物溶石或内镜下碎石、取石治疗。若内镜下无法碎石的患者需行外科手术取石,但手术取石病人创伤大,消化道完整性被破坏,还会遗留一些并发症。U100激光碎石机的适应症为泌尿系结石、胆道系统结石、腮腺结石等,此病例为国内首例应用U100治疗胃石,扩大了U100激光碎石的适应症。随着消化内镜学的发展,结合激光碎石技术的广泛应用,对于此类内科治疗无效的难治性胃结石患者,无疑是一个天大的福音。
哈医大一院群力院区消化内镜中心自成立以来一直秉承“三高一精”理念,致力于开展消化内镜新技术,不断拓展内镜技术的新方向,为造福龙江百姓,守护龙江人民健康,不懈奋斗!(魏云浩 王玺)