#药回家看看#
一位阿姨来到药学门诊,聊起她老公吃降压药一直牙龈红肿出血,一直搞不懂是怎么回事?药师询问了叔叔的用药史和疾病史,告诉阿姨这种增生很可能是**地平类降压药物所致的。那么究竟哪些药物会引起牙龈增生呢?
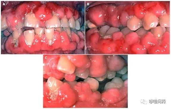
虽然很多医生还在使用“牙龈增生”一词,但牙龈增生描述的是组织学表现,而不是临床表现。药物引起的牙龈增生和/或肥大应使用的临床诊断术语为“药物性牙龈生长过度”或“药物性牙龈肥大”。不论是何种药物引起的牙龈增生,其临床表现都一样。牙龈组织可能不均衡地生长若干毫米,覆盖1/3或更多的牙冠。过度生长的牙龈组织形成假性牙龈袋,可轻易容纳并保护细菌生物膜。这种显著性的牙龈炎性改变,最终导致进食、刷牙/使用牙线时出现牙龈出血和不适。( 下图可能引起不适,胆小慎点!慎点!慎点! )

除了上面提到的**地平类降压药,苯妥英、地尔硫卓、维拉帕米、环孢素同样也可能引起“药物性牙龈肥大”。那么我们就来盘点一下引起牙龈增生的药物:
1、苯妥英钠
牙龈生长过度是苯妥英钠常见的一种不良反应。研究发现,牙龈生长过度的患者往往长期服用高剂量的苯妥英钠。这可能由于苯妥英钠引起的唾液IgA缺乏导致牙龈炎症的易感性增加。
2、钙通道阻滞剂
钙通道阻滞剂广泛用于治疗高血压、心绞痛、心律失常和其他疾病。所有的钙通道阻滞剂(包括地尔硫卓、维拉帕米、硝苯地平、氨氯地平等)均被报道可引起牙龈增生。此外,由牙菌斑引起的牙龈组织炎症和随后形成的龈沟液可能会加剧钙通道阻滞剂的潴留,使组织更易于产生局部毒性作用和牙龈增生。有研究认为钙通道阻滞剂和苯妥英钠都有改变钙代谢的能力,他们引起的牙龈生长过度很可能会与钙失衡有关。
3、环孢素
环孢素引起牙龈过度生长的发病率在13%~85%,变异性较大。部分变异性可能是由于许多服用环孢霉素的患者同时服用其他全身*药性**物,如钙通道阻滞剂,这可能导致牙龈过度生长。如果伴有口腔卫生差、环孢素应用剂量较高,那么发生牙龈过度生长的风险也会相应增加。阿奇霉素可改善环孢素相关性牙龈增生,尤其是早期应用时。
遇到“药物性牙龈肥大”我该怎么应对?
牙龈生长过度的严重程度和分布有剂量特异性和个体特异性。一般来讲,药物诱导的牙龈生长过长在中断药物治疗后可能消退。如果可以,应该长期停用导致牙龈生长过度的药物,并换用另一种药物(比如**地平可以更换为沙坦类降压药,环孢素可以更换为他克莫司,其他抗惊厥药物代替苯妥英钠)。
如果不能更换药物或者停药,那么做好口腔卫生和预防至关重要。
- 通过刷牙、使用牙线和抗微生物性洁牙剂和漱口水控制菌斑生成。
- 对于影响口腔卫生、咀嚼功能或外观的严重病例需要行牙龈切除术,即切除多余的牙龈组织。
- 建议每3个月进行一次齿病预防(洁牙)。
------------------ End ---------------------
作者 | 海宝药师
编辑 | 陈默
参考文献:
https://www.uptodate.cn/contents/zh-Hans/overview-of-gingivitis-and-periodontitis-in-adults?search=%E7%89%99%E9%BE%88%E5%A2%9E%E7%94%9F&source=search_result&selectedTitle=2~90&usage_type=default&display_rank=2#H8
GómezE, Sánchez-Nuñez M, Sánchez JE, Corte C, Aguado S, Portal C, Baltar J,Alvarez-Grande J. Treatment of cyclosporin-induced gingival hyperplasia withazithromycin. Nephrol Dial Transplant. 1997 Dec;12(12):2694-7. doi:10.1093/ndt/12.12.2694. PMID: 9430874.
BarakS, Engelberg IS, Hiss J. Gingival hyperplasia caused by nifedipine.Histopathologic findings. J Periodontol. 1987 Sep;58(9):639-42. doi:10.1902/jop.1987.58.9.639. PMID: 3477631.
AarliJA. Phenytoin-induced depression of salivary IgA and gingival hyperplasia.Epilepsia. 1976 Sep;17(3):283-91. doi: 10.1111/j.1528-1157.1976.tb03407.x.PMID: 976219.