肾癌是泌尿外科常见的疾病,我见过最年轻的成年人肾癌患者是26岁。我记得很清楚,这个小伙刚结婚3个月,入职体检的时候发现肾上有个肿瘤,直径2厘米左右,术后病理是肾透明细胞癌。这个小伙身体非常棒,一米八八、九十公斤的大个子,平时身体一点毛病也没有,不过好在是一个很早期的癌,及时做了肾部分切,但是术后有没有复发也不清楚,希望他没事吧。

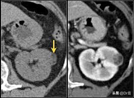
左肾肾癌CT

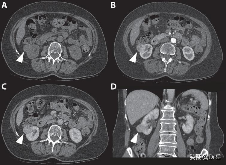
CT:右肾癌
但是很多人并没有这位小伙幸运,发现肾癌的时候已经是晚期了。很多人说晚期癌症就没有必要手术了,那么肾癌是否也是这样呢?今天就和大家分享一下晚期转移性肾癌的治疗。
晚期肾癌的治疗总思路
晚期肾癌应该采用综合治疗,主要是以靶向药、免疫治疗为主,手术是辅助治疗,根据情况来决定是否手术治疗。晚期肾癌还需要兼顾的就是治疗给患者带来的副作用,如果抗癌治疗给患者带来的痛苦更大,就应该调整治疗方案,晚期肾癌治疗需要兼顾患者的生活质量,减轻患者痛苦。

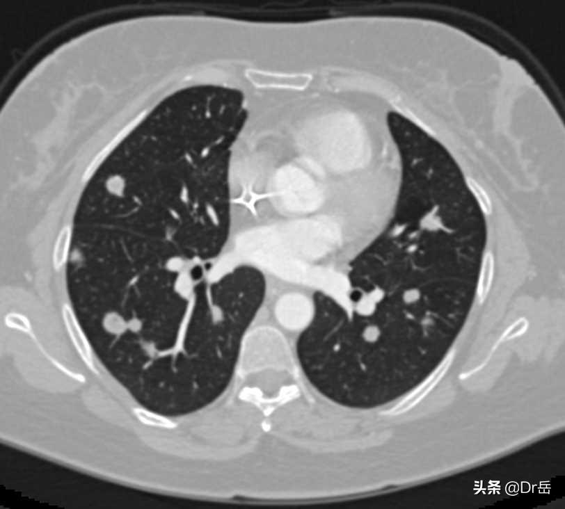
CT:肾癌肺转移灶
晚期肾癌的手术治疗
比较可靠的研究表明,转移性肾癌做手术是对患者有益的,能够改善患者的生存质量,有可能能够提高生存期。手术切除的目标主要有两个,一个是原发灶,也就是将患癌的肾切除;二是对肾癌转移灶的切除,比如肾癌的肺转移,但是转移灶的切除只限于孤立性的转移,如果是多发转移,手术就没有太大的意义了。
什么情况下采用手术治疗?
- 首先患者需要能够耐受手术,很多晚期肾癌的患者本身就比较虚弱了,这种情况手术对患者是一种打击,耐受手术的能力差,手术的风险高,因此这种情况就不主张做手术了。这是手术治疗的前提,患者一般状态良好,能够耐受手术,如果这条不满足,后面的情况再怎么符合也不能够做手术。
- 如果原发肿瘤引起严重的疼痛、血尿等并发症,这个时候考虑对原发灶进行切除,主要目的就是缓解患者疼痛、慢性出血等症状,提高生活质量。
- 如果患者是孤立性转移灶,而且对免疫、靶向治疗反应差的情况下,可以进行转移灶的切除。转移灶切除的同时也是要对原发灶进行切除的。

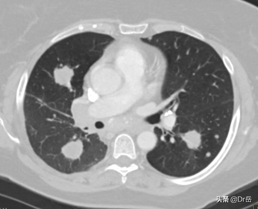
CT:肾癌肺转移
晚期肾癌的药物治疗
开篇我们提到过转移性肾癌的治疗总思路,药物治疗是主要的,手术治疗是辅。药物有很多种,目前主要的几大类就是靶向药物、化疗药物、和免疫治疗药物。

一、靶向药物
靶向药物是目前晚期肾癌最主要的治疗药物治疗。简单解释一下什么是靶向药物,在肿瘤生长过程中需要血管以及一些刺激因子,靶向药物就是抑制肿瘤生长过程中的一个节点,对肿瘤的生长起到一定的抑制作用。因此靶向药有很多种,因为作用的机制不同。
- 索拉非尼:索拉非尼的作用就是抑制丝氨酸/苏氨酸激酶,这具体是什么机制就不多说了,主要作用就是抑制肿瘤新生血管的形成,从而达到抗肿瘤的目的。其主要的副作用百科手足皮肤、高血压、高尿酸血症、腹泻以及白细胞减少等。
- 舒尼替尼:舒尼替尼是羟吲哚酪氨酸激酶*制剂抑**,舒尼替尼也具有抑制血管的作用,并且能够直接攻击癌细胞。副作用主要有手足皮肤的改变、白细胞减少、乏力、高血压等。
- 依维莫司:主要用于索拉非尼、舒尼替尼治疗效果不好的晚期肾癌患者。依维莫司丝是一种选择性的氨酸/苏氨酸激酶*制剂抑**,作用机制也是抑制相关靶点,起到抗癌的目的。主要的不良反应有贫血、感染、疲劳、高血糖以及淋巴细胞减少等。
- 阿昔替尼:和依维莫司一样,主要适用于那些索拉非尼和舒尼替尼无效的患者。阿西替尼也属于抗血管生成靶向药 ,抑制新生血管,达到抗肿瘤的目的。常见的副作用有高血压、疲劳以及甲状腺功能减退等。

之前有些患者会问肾癌在吃靶向药之前,到底需不需要做基因检测?
从目前肾癌常用靶向药可以看出,靶点基本上都是类似的,因此基因检测对于肾癌选择靶向药来说意义并不是十分的突出。对于肾癌服用靶向药前到底需不需要做基因检测,目前仍有争议,我个人意见是,如果不差钱可以做一个,如果经济情况一般,也可以不做。
二、免疫治疗
恶性肿瘤的免疫治疗是近几年比较热门的话题,肾癌的免疫治疗主要有细胞因子和免疫检查点*制剂抑**,细胞因子是比较早的免疫治疗,而近期比较火的是免疫检查点*制剂抑**,如PD-1*制剂抑**。临床实验表明免疫检查点*制剂抑**的效果比靶向药还要显著,但是由于价格和地区的问题,目前尚未全面普及。
这种药物的副作用主要和免疫介导的炎症反应有关,以代表药物纳武单抗为例,其副作用主要有免疫介导肺炎、结肠炎、肝炎、肾炎、肾功能不全、甲状腺功能减退和甲状腺功能亢进等。

三、化疗
肾癌总体对化疗不敏感,加上现在有靶向药和免疫治疗,晚期肾癌基本上不会用到化疗。化疗用到的药物主要就是一些细胞毒药物,如吉西他滨、顺铂、氟尿嘧啶等。虽然肾癌很少用到化疗,但是对于一些比较少见的病理类型的肾癌,化疗还是可以用一下的,主要用于非透明细胞癌伴有肉瘤样变的患者。
总结建议
晚期转移性肾癌主要就是使用靶向药以及免疫治疗,手术是辅助,出现癌痛就需要止痛治疗,主要目的就是为了延长患者生存期以及改善生活质量。总体来说肾癌的预后还是很好的,但是前提是积极的治疗,因为肾癌的自然病程并不长,也就是说如果不治疗的话,得了肾癌也是活不了多久的。

@清风健康说 @清风计划 @清风医生说