#健康#普体检是目前人群对于自身健康检查的最重要的项目,大部分疾病的早期发现是得益于现在普及的人群体检的。但是是不是所有问题都需要立即处理呢?
肾结石是泌尿外科体检最容易发现的问题。作为一名泌尿外科医生,最常见的就是会有很多患者来门诊的时候拿着体检报告,询问肾结石是否需要处理。
肾结石已经不是一种罕见疾病了,伴随日常工作的繁忙,减少的饮水量,以及饮食结构的变化,大部分的人在体检的时候都会发现肾结石。
从彩超上我们可以看到,这是一个体检的肾脏彩超,其中高亮呈白色的就是肾结石。彩超通常由探头(相控阵、线阵、凸阵、机械扇扫、三维探头、内窥镜探头等)、超声波发射/接收电路、信号处理和图像显示等部分组成,所以结石在彩超上的表现是一种高亮信号。这个结石的大小是0.604cm。那么这种结石需要处理吗?
什么结石不需要处理?
需要处理的结石主要是急性梗阻导致肾脏积水的结石,单纯的肾结石往往不会引起肾脏积水,也就不会引起肾功能的损伤,所以较小的肾结石是不需要特殊处理的。一般建议就是多饮水,以及控制饮食,避免结石进一步长大,以及避免结石从肾脏掉入输尿管内。就拿上面这个结石来说,0.6cm的肾结石在肾脏内是不会引起任何症状的,但是当它脱落掉入输尿管中是,相对于输尿管的管径,这就是一个大石头了,会导致输尿管的梗阻,引起剧烈腰痛以及肾功能的损伤,那么这个时候它就需要积极处理了。

彩超检查
是不是肾结石都不需要处理?
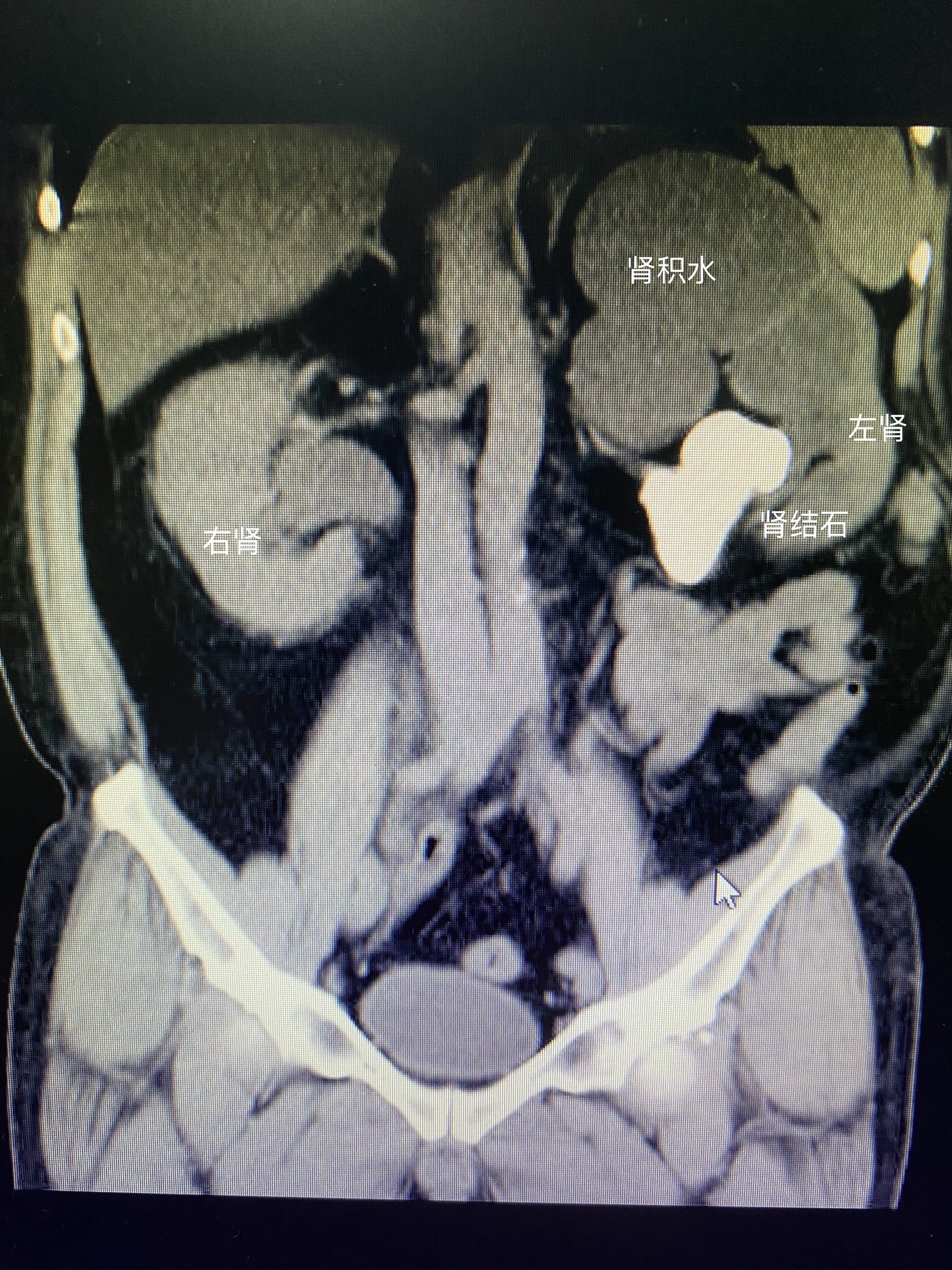
当然不是,如果肾结石的体积较大,白色的肾结石已经导致左边肾脏较重的肾积水,肾积水已经将左边的肾脏组织挤压了。和右边的肾脏相比,左边的肾脏已经压缩的非常小了。那么像这种体积较大的肾结石,也是需要立即处理的。

CT检查
怎么才能预防结石形成呢?
多饮水,肯定是所有泌尿外科医生给出的最多的答案。多饮水可以减少尿液在肾脏内形成结晶,也就能从根本上避免结石的形成。但是往往这个最简单的方法,是大部分人最做不到的事情。还有就是调整饮食习惯,比如说火锅、啤酒、菠菜等等这些会导致代谢异常的饮食,都是我们结石高发的诱因。
虽然很多广告包括很多的宣传说,一个肾脏就能负担起一个人的基础代谢能力。但是对于肾脏的保护是我们的重中之重!是必须引起我们所有人重视的内容!结石无小事,一定要引起群众的高度重视!

聚焦健康