
(以上数据来自“2345天气预报”历史天气记录)
夏季水温越高,罗非鱼的链球菌病和叉尾鮰的急性烂鳃病越严重,但是整体病毒病、细菌性疾病和寄生虫病减少;冬季水温越低,热带鱼发生冻伤和水霉病的几率增加。
疾病最严重的的季节是3-5月以及11月,这些月份天气相对没有那么稳定,雨水天气增加,非常容易出现泛底和倒藻,并且这几个月的水温是大部分寄生虫病、真菌病、细菌病和病毒病的最佳流行水温。
11-4月,这种水温20℃上下波动的月份,叉尾鮰经常会出现因为摄食过量造成的慢性消化道疾病(如肠套叠);11月是南风彻底向北风转换的季节,那些平时不注重底质改良的鱼塘,发生泛底、中毒和缺氧的风险非常高,这个月水温的急剧下降也造成了病毒性疾病的高发。

■ 患“熟身”病的加州鲈苗
2-4月是由北风转南风的季节,频繁的南北风向转换,造成鱼塘水温和溶氧的急剧波动,加剧了病害的发生(如生鱼烂身、加州鲈苗的熟身病),以及空气湿度、气压、风力的大小剧烈变化,如回南天(空气湿度高、气压低)、东风天(风力小、气压低)、南转北(降雨、水温降得快)等天气,都是泛塘的高峰期;2-4月,春雷响、万物长,这个季节池塘的生态环境是多变的,鱼塘易出现以微型藻类(产氧力强)为主的水华水,气泡病的发生非常普遍,包括大规格草鱼都有气泡病的发生,其主要原因还是这些鱼发生了肝损伤,体表和鳃丝黏液不够丰富,并且有贫血的问题,血液的载氧能力下降,造成鱼漂浮于水体中上层,而表层水体的气体非常容易出现过饱和,遇到特殊天气鱼体应激性脱黏给气泡病的发生创造了条件(不够光滑的体表有利于气泡的附着),并且贫血的鱼对血液当中气体的代谢能力也非常差,血液中也会出现气栓(这也是急速升温的季节,拉网出现应激性死鱼的一个主要因素),严重的气泡病引起烂鳃和体表充血甚至烂身,与此微型藻类的抗逆性非常差,遇到南转北天气就容易出现倒藻,引起鱼类缺氧、中毒等问题,还有一种就是以浮游动物(如轮虫、枝角类和桡足类等)为主的水华水,这样的鱼塘产氧不足,藻类的净化力弱,并且浮游动物耗氧,非常容易出现缺氧以及氨氮、亚盐超标的问题。

■ 轮虫引起的橙色水华水


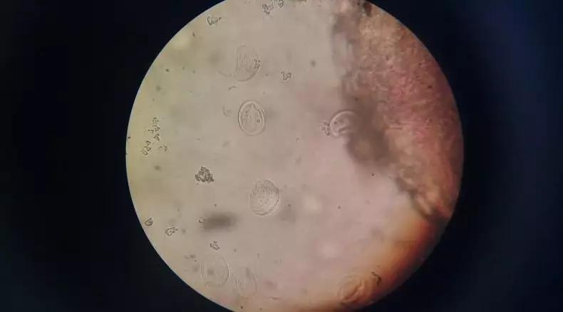
■ 低温应激,造成罗非鱼鳃丝黏液脱落,并且出现斜管虫病
到了5月就进入了立夏时节,虽然雨水天气还是比较多,但是相比于2-4月明显减少,并且气温大幅上升,水温基本上都在25℃以上了,从这个季节开始,如水霉和丝囊霉菌等真菌性疾病基本上不再发生,如生鱼的烂身病也基本截止,当然水温的大幅上升,鱼体的消化酶活性稳步上升,如叉尾鮰的肠套叠症也截止了,但是整体病害还是非常严重的,尤其是病毒性疾病特别高发,如锦鲤的疱疹病毒病、鲤鱼的浮肿病毒病、草鱼出血病等。
进入6月,晴朗天气为主,但是这个月份,白撞雨非常常见,并且具有明显的规律,一般呈现上午晴天,下午或者傍晚下雨的情景,这种天气对鱼的生长非常不利,尤其是那些藻相不稳定的鱼塘,基本上每天都有倒藻发生,还有底质不良的鱼塘,泛底也是非常严重,部分鱼塘已经开始有罗非鱼链球菌病发生了,这个月也是锦鲤场分苗的季节,锦鲤苗的疱疹病毒病高发(主要症状打瞌睡)。

■ 患链球病的罗非鱼


■ 疱疹病毒病造成锦鲤苗呈“打瞌睡”状漂浮于水面,并且大量死亡

■ 属于枝角类的水溞

■ 水体中过于丰富的桡足类剑水蚤,附着于鳃丝,引起鳃丝病变
到了7-9月,基本上以晴朗高温天气为主,主要出现的病害是罗非鱼链球菌病和叉尾鮰的急性烂鳃病,但是7-9月也是台风的高发季节,台风来临前往往出现低压、高热、无风天气,鱼塘特别容易发生缺氧,台风的破坏力也是非常大的,经常造成电力设施的破坏,出现鱼塘缺电,所以这个季节都最好配备发电机并且平时做好检修和柴油配备工作,同时这个季节也是水灾高发季,所以做好防逃措施也是非常有必要的;台风到来了后,造成的鱼塘倒藻、泛底、缺氧以及降温造成的鱼体应激,都是鱼病的诱发因素,平时应加强鱼的体质,做好抗应激工作。
进入10月,就到了全年养殖中的黄金期,这个季节的水温大概在25-28℃左右,并且开始有北风天气出现,基本上没有什么降雨,气压开始慢慢上升,鱼塘的溶氧也较前几个月有所上升,主要出现的问题是黄杆菌引起的叉尾鮰苗种烂头、烂尾。

■ 柱状黄杆菌引起的斑点叉尾鮰苗种烂头、烂尾
如果除却寒潮天气引起的热带鱼冻伤,全年中病害最少的季节就是12月-1月,这个季节是天气特别稳定,并且呈现的是持续的冷高压北风天气,基本上也不会有降雨发生,池塘的藻相非常稳定,鱼塘溶氧非常高,由于水温低这个季节饲料的投喂量非常低,水质相对稳定,只要不过量投喂,基本上叉尾鮰也不可能出现消化道疾病,但是这个季节却是小瓜虫病和水霉病的高发季节,对于底质不好的鱼塘,要加强改底,同时给鱼内服一些免疫增强剂和驱虫的青蒿末,还是非常有必要的。


■ 患小瓜虫病的斑点叉尾鮰
特别的低温天气,不仅会造成热带鱼发生冻伤,也会造成罗非鱼等出现应激性脱黏,应激性脱黏后鱼体特别容易被斜管虫感染,这也是加剧鱼体鳃丝和皮肤损伤的一个因素,斜管虫造成鱼缺氧浮头,也加剧了鱼体被表层低温水和空气冻伤,进入一个恶性循环,所以遇到这种情况也得果断地进行杀虫工作;经过这么多年的观察,发现同水温下被冻伤的罗非鱼,基本上都是那些肝损伤严重的鱼,这样的鱼基本上都处于贫血状态,肝脏的肝糖原储存不足,遇到应激后机体的产能抗应激力特别差,体表的黏液细胞得不到气血的濡养,本身就非常稀少,一旦遇到降温天气就特别容易脱落,黏液脱落后就会被水霉和细菌感染,所以越冬前进行养肝补血工作显得尤为重要。



■ 肝损伤的草鱼,气泡病造成鳃丝和皮肤损伤后,被细菌感染出现烂鳃和赤皮。


■ 发生严重肝损伤和脂肪肝的罗非鱼,在寒潮中最先被冻死,体表黏液脱落
还有一个要特别交待的问题,冬季水温低,水体微生物的数量大幅减少,微生物对底部有机质的分解力下降,尽管12月-1月,饲料的日投喂量少,但这个长期积累的过程,塘底未得到分解的有机质数量也特别大,如果这个时候不采取一些氧化类底改进行氧化分解,到了2-3月,水温回升期,这些有机质集中分解就会产生氧债和毒素(氨氮、亚盐、硫化氢等),频繁南北风向(密度流)以及底部气体(如甲烷、硫化氢等)上冒引起泛底,造成丰富的有机质悬浮在水体中为浮游动物、寄生虫、真菌和细菌的滋生创造了条件,水体缺氧和毒素的作用下,鱼类发生病害的几率非常高,所以越冬期间定期使用氧化类底改产品是非常有必要的。