深知养殖从业不易,共谋水产行业繁荣。不误导不夸大不炒作不标题*党**。用养殖人的语境,让你在短时间内享用一份精品!

鱼的皮肤损伤很常见。首先,与哺乳动物相比,该器官的相对脆弱;其次,它起到保护屏障的作用,因此轻微的病变可能会迅速发展为严重的病变,特别是在淡水中。同时皮肤损伤很容易被看到,其常伴随明显的颜色变化。湿式皮肤刮拭检查是否有寄生虫或细菌的存在,这对于诊断几乎是必不可少的,特别是许多原生动物,通过这种方式比石蜡切片更容易看到。
正常皮肤
硬骨鱼类的皮肤物种间差异较大;有些物种没有鳞片,而另一些在表皮内有大量的嗜酸性棒状细胞,图1来自鲶鱼的正常皮肤,没有鳞片,但相对厚的表皮含有大且苍白的棒状细胞和更小的杯状细胞。

图1
然而,在一个物种内部,甚至在同一条鱼的不同位置,也有很大的差异。例如,鲑鱼头部和没有鳞片的鳍上的表皮厚度最大。同时,年龄、性别和一年四季都对皮肤外观和不同成分的相对比例产生显著影响。由于这些原因,在检查这个器官的病理变化时,需要严谨细心,并建议从一条明显未受年龄、性别影响的和种类相同的鱼身上的相同位置取成对的样本。此外,当需要确定形态学变化和抗原存在时,对病变和邻近表面正常的区域进行取样可能是重要帮助;这种方法适用于所有器官,对皮肤尤为重要。
表皮在大多数物种中是一种非角化的层状鳞状上皮,其厚度从3或4个细胞到大约20个细胞不等。与哺乳动物的主要区别是,硬骨鱼类没有角化细胞,最外层的表皮细胞是可存活的,并保留了分裂的能力;这对愈合有明显的影响。在扫描电子显微镜下,可以看到这些外部细胞有一个类似指纹的微桥模式(图2)。

图2
除了构成主要成分的含丝细胞或马氏细胞外,其他表皮细胞类型包括主要负责分泌角质层的粘液细胞或杯状细胞(在常规的H&E切片中不可见),大的嗜酸性棒状细胞(只有一些种类),嗜酸性颗粒细胞(功能未知)、游走白细胞和巨噬细胞,可能含有黑色素。正常硬骨鱼类表皮中淋巴细胞的数量是可变的,在某些疾病条件下淋巴细胞数量可大幅度增加;它们可以在基底层之上变得特别丰富。表皮内的特殊结构包括味蕾和神经丘。
具鳞片皮肤的真皮层包括上层疏松层和深层致密层。在无鳞区域,致密层减少。真皮内不同层次存在大量不同种类的色素细胞:这些包括黑色素细胞、黄色素细胞和色素细胞。后者含有鸟嘌呤(也称鸟粪素)的反射板,从而使皮肤呈现银色外观时,方向为90°迎面而来的光。在鲶鱼中,真皮胶原纤维的排列与角膜相似。
鳞片是大多数硬骨鱼类的主要特征,它们起源于真皮的存鳞袋,当它们出现时被一层表皮覆盖,经常相互重叠,从而提供重要的结构支持和物理保护。因此,鳞片的丢失代表着鱼的渗透和/或物理防御遭到非常严重的破坏。鳞片由有锯齿状脊的外部网状骨部分和在一些物种中未钙化而在另一些物种中部分钙化的内纤维层组成。后者由嵌入有机基质的平行胶原纤维组成。鳞片为侧线提供保护。该管沿着鱼的两侧延伸,并与头部的一系列感觉管相连,包括视下管和视上管。它们含有神经丘,通过鳞片上的气孔与外界的水接触,它们可能是病变的常见部位,包括气孔关闭不当、溃疡甚至寄生虫感染(图3)。鳞片是骨骼的真皮组成部分,是钙的现成来源,在饥饿或产卵前的时期,它们可能优先于骨骼储备被吸收。

图3-1

图3-2

图3-3
在深而致密的真皮层下,疏松而血管化良好的下皮层为病原体横向运动和炎症过程的提供常见途径。
临床症状
皮肤疾病的临床症状包括多动和刺激的明显迹象,例如在水箱或池塘的边缘或底部摩擦。在某些情况下,鱼甚至会跳出水面。与鳃病一样,通常会产生过多的粘液,这可能导致泡沫在水面上积聚。严重的表皮增生可能产生肉眼可见的白色膜,虽然坏死性病变破坏表皮和底层的色素细胞层(如柱状病)可能表面上像这样。使用足够强的消毒剂会导致“粘液凝固”——表皮的急性凝集性坏死!背鳍坏死在人工养殖的虹鳟鱼中很常见,尤其是在鱼类过多的情况下(图4)。

图4-1

图4-2
在同样的条件下,在鲑鱼身上也可以看到类似的病变,尽管这些鱼的尾巴是一个更常见的目标。“产黑色素类杆菌”或“粘细菌”通常与这两种情况都有关,尽管不同偏好位点的原因尚不清楚,但仅仅降低放养密度往往就能见效。患有严重皮肤病的鱼可能会嗜睡和食欲不振,但渗透调节功能丧失或继发细菌或真菌感染引起的败血症不可避免地使情况复杂化。
虽然皮肤损伤是常见的,病理变化的种类往往比哺乳动物更有限。这可能一定程度上是因为缺乏附件结构,也可能是最初的“防水”屏障被打破。当这种情况发生时,周围水的涌入还可能稀释或冲走存在的任何抗原,从而降低炎症发生的可能。值得注意的是,鲑鱼的神经淋巴管被阻塞,因此返回心脏的主要淋巴必须通过皮肤血管。(最近详细的解剖学研究表明,鱼可能没有真正的淋巴管,但为了本讨论的目的,将坚持传统的观点)。在鲽鱼和可能大多数其他硬骨鱼类中,肌肉和皮肤的淋巴总容积是循环血量的4倍以上;80%以上的淋巴液在皮肤。由此推断,皮肤病或其他任何改变淋巴体积的疾病,都能深刻地改变循环血液中的蛋白质和电解质含量,以及相对的血细胞比容。
表皮细胞是一种参与伤口愈合的母细胞,因此它能创造一个适合鳞片再生的环境。表皮完整性的恢复可以在溃疡的几小时内发生,但很明显地是,它依赖于温度。细胞在从致密层分离出来的基底膜上移;在哺乳动物中,纤维连接蛋白在整个过程中至关重要,鳞片区域的细胞也是如此。当皮肤被感染时所涉及的过程可能是完全不同的。
浅表疾病
几乎所有物种的表皮都是无血管的,这一事实限制了对损伤的各种潜在反应。损伤的急性反应包括表皮微突起(图5),杯状细胞和棒状细胞的释放,尽管这在组织学上很难鉴别。胞间水肿(海绵样皮肤水肿)和胞内水肿(水样变性)更容易看到,并伴有许多寄生虫病和细菌性疾病的早期阶段。

图5 扫描电镜图
如果海绵样皮肤水肿很严重,细胞间的接触可能完全中断,从而形成小泡或大泡。这些往往在基底层或基底层以上更常见。它们可能与表皮的隆起和脱落融合,基底膜上最多只留下一排细胞。
在哺乳动物中,天疱疮是一组以形成囊泡、大疱、糜烂、棘层松解和产生针对上皮细胞的抗体为特征的的自身免疫皮肤病。自身免疫性皮肤病尚未在鱼类中进行描述。

图6

图7
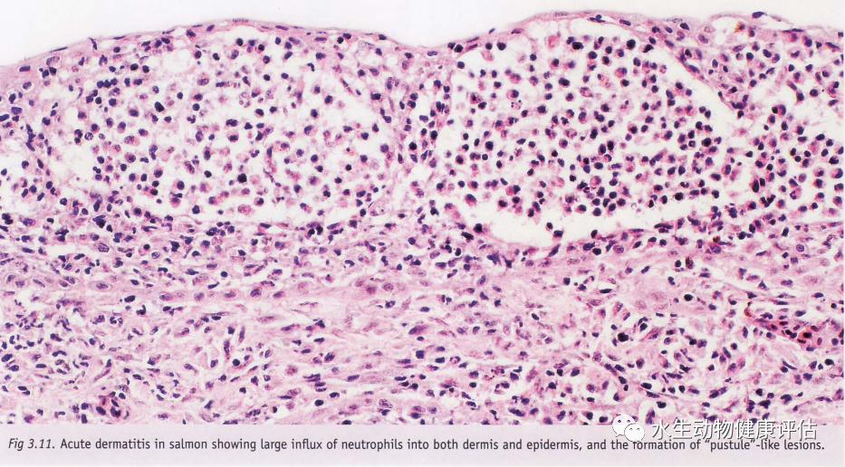
表皮损伤(图6)导致细胞因子释放,如白细胞介素-1,可能控制粘液和棒状细胞分泌物的释放,而白三烯参与调节炎症。中性粒细胞渗入表皮是早期损伤的常见伴随,炎症细胞渗入小泡形成“脓疱”也很常见,特别是在浅表细菌或真菌疾病的早期阶段(图7)。个别马氏细胞可能死于固缩和髓裂,甚至凋亡(被邻近的活细胞吞噬)。在晒伤(图8)中可以看到这种变化的独特模式,当鱼在非常清澈的水中受到高水平紫外线辐射时:真皮-表皮分离也可见。烟酸保护虹鳟鱼的皮肤免受紫外线B辐射。

图8
伴随急性表皮病变的真皮改变包括真皮浅表水肿和血管扩张(偶尔出血),并伴有白细胞外流。可以看到它们穿过基底层进入表皮可见色素细胞破裂,颗粒弥散。如果渗透屏障被打破,皮肤水肿可能会明显,这种过程在淡水物种中被称为“积水”,在这种情况下,渗透梯度倾向于迫使水进入组织。在这些情况下,真皮淋巴管会大大扩张,整个真皮可能会大量增厚。弥漫性真皮水肿也可能伴随低蛋白血症(图9)。

图9
如果存在,这些变化可能会迅速发展为表皮的严重坏死和脱落。这方面的例子与双孢枯草菌的真菌感染(图10),活组织和苍白坏死组织之间的分界线很容易看到,以及细菌条件的花梗病(嗜酸黄杆菌)、柱状病(柱状黄杆菌)和鲤鱼赤皮病(杀鲑气单胞菌)。

图10 鳟鱼霉菌性皮炎
在这些急性溃疡性皮炎中,积水会很严重,通常会深入真皮下,甚至肌肉,延伸到筋膜平面。继发性感染往往掩盖了原发性损伤和病理反应。“无黏液性皮肤病”是鳟鱼一种急性浅表溃疡性皮肤病的常用名称(图11)。

图11细菌瞄准黏液细胞孔的扫描电镜

图12
用手指轻轻滑过受感染的鱼的侧面,会发现粗糙的表面,扫描电子显微镜显示,这主要是因为鳞片的尖端穿透了表面(图12)。这种疾病的病因尚不清楚,但与细菌有关。溃疡性皮炎也出现在海洋环境中,与黄杆菌属等细菌有关,尽管这种病变伴随的渗透力是反向的。
维生素A缺乏症和维生素A中毒可导致表皮糜烂和发育不全,但对各种损伤更常见的慢性反应是增生,有时会形成明显的真皮乳头和“色素沉着”。必须记住,硬骨鱼类表皮能够在所有层次上分裂,而不是像哺乳动物那样只在棘层上分裂。表皮增生伴随着原生动物和后生动物寄生虫、毒素(如刺丝囊注射的毒素(图13))、细菌(特别是粘细菌)和化学或物理物质(如悬浮物)的慢性刺激,特别是在低温下。

图13
原生动物寄生虫鱼波豆虫(Costia)诱导最外层的马氏细胞而不是那些基底上层的增生。由此产生的增厚斑块(肉眼可见为蓝色半透明光泽)随后可能脱落,只留下单层细胞附着在基底层上。纤毛虫大到肉眼可见,它们的多焦点分布使它们获得了“白斑”的名称(图14)。实验表明,中等数量的感染期(滋养体)对表皮(也影响鳃)的侵袭几乎不会造成损伤,40小时后(17°C)大多数寄生虫位于基板。

图14

图15 表皮内常可见感染期幼虫(箭头)
然而,重度感染可导致海绵样皮肤水肿和糜烂,外加中性粒细胞和淋巴细胞的浸润;增生只在随后的感染后可见。如果增生组织本身被寄生,滋养体可能无法到达基底层,导致表皮严重松解,并可能导致真皮-表皮分离。寄生虫成熟后在表皮内生长(图15)。如果大量的寄生虫同时成熟,随之而来的皮肤损伤可能会对鱼施加巨大的渗透压力。在一些物种中,增生也被认为是伴随性成熟而来的皮肤变化之一,可以通过注射皮质醇来实验重现。这类鱼容易发生继发性细菌或真菌皮肤疾病,但必须了解病变的潜在发病机制,才能作出正确解释。
明显的表皮增生当然与在多种物种中可见的弥漫性肿瘤增生不同。许多被称为“乳头瘤样增生”和“疹”(图16)的反应在超微结构上与病毒或病毒样颗粒有关:通常很少涉及皮肤,这可能有助于解释,但必须认识到,慢性损伤可能易导致肿瘤转化,在这种情况下,两种反应可以合并在一起。增生反应也必须与一系列物种典型的第二性特征相区分,比如鲑鱼的生殖结节(图17)。

图16

图17
(作者:温依铭。来源:水生动物健康评估)
资料来源《Systemic Pathology of Fish》

水产实践人士,共谋渔业繁荣!敬请关注我的头条号@渔人刘文俊,更多精彩内容请登录西南渔业网和养鱼第一线公众号,本文原创如需转载请注明出处,如有不同见解或者内容补充请私信或留言或评论分享!#鱼##鱼病##养虾##水产人#