引言
本例患者为医护人员,因初始症状与感冒极为相似而自行口服感冒药,又因症状得到缓解而放松警惕。患者反复发热,期间还出现*麻疹荨**,说明什么?当患者不再自行服药而选择就医,根据胸部CT提示行经验性治疗却效果不佳,此时该考虑到哪些因素?面对十分不典型的临床症状,要考虑到哪些疾病是极易混淆导致误诊的?而从进一步检查发现的胸部HRCT提示实变伴支气管充气征,我们应当想到疑诊为何种疾病?哪些诊断手段非常有必要用上且效果最佳?
反复发热、咳嗽气短,起初自行服药有效,后病情逐渐加重,根据各项检查指标及胸部CT应如何判断?
患者是一名55岁的女性,职业:护士。主诉「反复发热1月余,咳嗽、气短3周」于2020年10月28日入住空军军医大学唐都医院呼吸与危重症医学科三病区。患者2020年9月16日自觉咽部不适,伴头部不适,无发热,无流涕,自行口服感冒药,症状缓解。9月26日出现上肢*麻疹荨**,口服氯雷他定,皮疹渐消退。9月29日夜间自觉发热,测体温37.2℃,无咳嗽、咳痰,自行口服阿莫西林,体温在37.8℃左右波动,10月2日行胸片提示右肺高密度影,血常规示白细胞计数及中性粒细胞百分比明显升高,给予头孢甲肟联合阿奇霉素治疗5天,体温波动在37.5-38.2℃。
10月5日,患者开始出现咳嗽、咳痰,痰为白粘痰,遂就诊于某三甲医院行胸部CT示右肺下叶背段及基底段高密度影,其内可见气管充气征,经验性给予头孢哌酮舒巴坦钠3.0g 2次/日,2天,症状无缓解。10月9日至10月15日给予盐酸莫西沙星氯化钠注射液0.4g、1/日 +头孢米诺钠2.0g、2/日,后行气管镜检查可见大量脓痰。10月16日至10月18日调整药物为泰能1g、1/8小时+万古霉素1000mg、1/12小时,10月18日调整泰能1g、1/8小时+利奈唑胺300ml、1/12小时,10月19日复查气管镜,肺泡灌洗液及血NGS均未查见致病菌。10月21日觉胃部不适停用利奈唑胺,复查胸部CT示双肺多发斑片状影。10月21日至10月23日调整为美平1g、1/8小时。10月23日停用美平,给予诊断性抗结核(异烟肼、利福平、吡嗪酰胺、乙胺丁醇)口服5天,期间给予甲强龙40mg/日,3天,仍有发热,体温波动于38.1-39.5℃。10月28日复查胸部CT示双肺不张较前加重,体温不降,肺部病变吸收欠佳。病后精神萎靡,食欲欠佳,二便正常,体重1月内减轻3kg。为明确诊治入住我科病房。
患者既往史:否认高血压、糖尿病,否认肺结核等传染病史,无过敏史;个人史:出生于陕西,无粉尘、放射性物质接触史,无烟酒嗜好;家族史:否认家族中有遗传病、传染病史,家族中无类似患者。
入院后首先对患者进行体格检查情况如下:
体温38.6℃,脉搏82次/分,呼吸20次/分,血压125/82mmHg。神志清,精神萎靡。全身皮肤黏膜无黄染、皮疹及出血点。全身浅表淋巴结未触及肿大。口唇无发绀,咽部无充血。胸廓对称无畸形,听诊双肺呼吸音粗,右下肺吸气末可闻及湿性啰音。心脏腹部查体无异常。无杵状指及其他阳性体征。
实验室检查情况如下:
1.常规指标
动脉血气分析:

血常规:

凝血系列:

肝肾功电解质:

风湿四项:hs-CRP:213.00mg/L,血沉:111.0mm/h,CRP:161.86mg/L,IL-6:98.34pg/ml。
PCT、免疫球蛋白补体系列+总IgE测定、感染八项、抗核抗体滴度+抗双链DNA滴度+自身抗体ANA谱:均阴性。
心梗标志物、N端脑利钠肽、糖化血红蛋白、ANCA(MPO、PR3):均阴性。
女性肿瘤标志物:铁蛋白:636ug/L。
血液G试验、GM试验、T-SPOT:均阴性。
2.支气管镜、肺泡灌洗液涂片及细菌培养等相关检查
支气管镜检查:未见明显异常。
肺泡灌洗液:未查见抗酸杆菌。
肺泡灌洗液真菌涂片、抗酸染色、培养:均阴性。
细菌涂片检查:G+球菌查见,未查见G-杆菌、G-球菌、G+杆菌。
培养呼吸道病原菌核酸检测、分枝杆菌菌种鉴定芯片:均阴性。
3.胸部CT
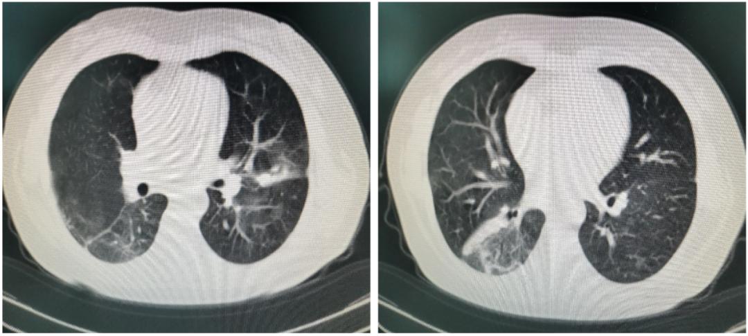
2020年10月30日胸部CT示:双肺见多发斑片状高密度影,边界模糊,其内可见充气支气管影,部分其内见结节状钙质密度影,余肺野清晰。纵隔内见肿大淋巴结(图1)。

图1:胸部CT提示双肺多发高密度影,边界模糊,其内见充气支气管影
双肺边界模糊的斑片状高密度影,充气支气管影说明什么?以这些特征为切入点进行分析得出哪些初步结论?
首先对患者的临床特点进行回顾,1. 症状:反复发热1月余,咳嗽、气短3周,外院规范抗感染和抗结核治疗后,症状及影像学仍进行性加重。入院后给予平喘、保肝、输注人血白蛋白等对症支持治疗一周,症状未见明显好转;2.体征:患者神志清,精神萎靡。全身皮肤黏膜无黄染、皮疹及出血点。全身浅表淋巴结未触及肿大。口唇无发绀,咽部无充血。胸廓对称无畸形,听诊双肺呼吸音粗,右下肺吸气末可闻及湿性啰音。心脏腹部查体无异常。无杵状指及其他阳性体征。
对患者进行辅助检查情况如下:
① 胸部CT:双肺见多发斑片状高密度影,边界模糊,其内可见充气支气管影,部分其内见结节状钙质密度影;② 动脉血气分析:提示I型呼吸衰竭;③ hs-CRP:213.00mg/L,血沉:111.0mm/h,CRP:161.86mg/L,IL-6:98.34pg/ml;④ 铁蛋白:636ug/L;⑤ 细菌涂片检查:查见G+球菌。
思考题: 若此时以影像多发斑片状高密度影,内可见充气支气管影为切入点进行分析,应纳入哪些病因?几种纳入分析的病因中根据不支持点的证据,哪些更能明确排除?
我们总结了患者的病例特点:中年女性,亚急性起病,反复发热1月余,咳嗽、气短3周入院,胸部CT示多发斑片状高密度影,边界模糊,其内可见充气支气管影,部分其内见结节状钙质密度影。
患者入院后,首先给予平喘、保肝、输注人血白蛋白等对症支持治疗1周,但症状未见明显好转。我们以影像多发斑片状高密度影,其内可见充气支气管影为切入点进行分析,主要列举不支持点证据:
1、慢性嗜酸性粒细胞性肺炎→不支持点:慢性嗜酸性粒细胞性肺炎的病变位置多见于通常位于上肺野;隐源性机化性肺炎(cryptogenic organizing pneumonia, COP)缺乏嗜酸性粒细胞;结节、非间隔线影、网状影及细支气管周围分布更常见于COP;小叶间隔线常见于慢性嗜酸性粒细胞性肺炎。
2、细支气管肺泡细胞癌(BAC)→不支持点:BAC不是主要位于胸膜下;通常为局灶性磨玻璃影为主。
3、结节病,肺泡型→不支持点:易累及上肺野;只有少数几个大的气腔肿块伴支气管充气征;常伴有对称性肺门及纵隔淋巴结肿大。
4、周围性肺癌→不支持点:周围性肺癌会出现深分叶、钙化及淋巴结肿大;引起的支气管血管束征表现为呈串珠状并有截断现象;只在早期浸润生长,伴随阻塞性肺炎、肿瘤周围出血时表现为晕征;诊断性穿刺有利于区分。
5、误吸→不支持点:阴影不像COP那样慢性或靠近外周;主要发生于重力依赖区肺段;典型的常见病因:食管运动功能紊乱、食管失迟缓、酗酒。
6、脂质性肺炎→不支持点:类脂质性肺炎CT上在实变区内有脂肪密度;在CT上可以表现为「铺路石征」;类脂质吸入病史:油性滴鼻剂,矿物油。
7、肺栓塞→不支持点:肺底外周多发性梗死(与COP相同);梗死可消失或演变为瘢痕(线状);通常伴有胸腔积液;已知的血栓栓塞的危险因素。
综合以上情况您认为以下哪些正确?(多选)
- 此时患者应该进行肺功能检测
- 此时患者应该进行凝血系列检查
- 此时患者应该进行超声支气管镜检查并同时取活检
- 坚持认为患者系感染性肺炎,应排除是否有耐药菌或真菌
- 患者反复发热的情况不排除为结核感染,应排查
- 并不能排除患者为肿瘤性疾病的可能性
- 基本可以排除感染性疾病的可能性
- 患者年龄较大,若不耐受有创检查可先经验性应用激素并密切随访
根据查见G+球菌,无真菌和病毒感染相关病原学证据且抗生素治疗无效,此时考虑为哪种疾病?还需要进行哪些检查?
我们考虑到患者的病情进展迅速,而胸部CT示多发斑片状高密度影,边界模糊,其内可见充气支气管影,根据患者入院前后反复高热的特点,但细菌涂片检查虽查见G+球菌却无真菌和病毒感染相关病原学证据,并且使用抗生素治疗无效的这些综合情况,因此在逐步排除感染性疾病、周围性肺癌、误吸、肺栓塞等因素下,考虑患者可能为间质性肺疾病。而此时需要进一步完善血液系统线管检查并进行肺活检:
2020年11月3日对患者进行凝血系列检查:PT14.0sec,PTA66.5%, Fib6.380g/L,FDP11.33ug/ml,D-D34.390ug/ml;同日行上肢、下肢血管超声:右小腿肌间静脉内径增宽,血栓形成。11月5日进行肺功能检测:轻度限制性通气功能障碍,伴有轻度弥散功能障碍;同日行超声支气管镜检查:各管腔通畅,于右肺下叶超声探查,右肺下叶后基底段探及异常低回声,取活检。
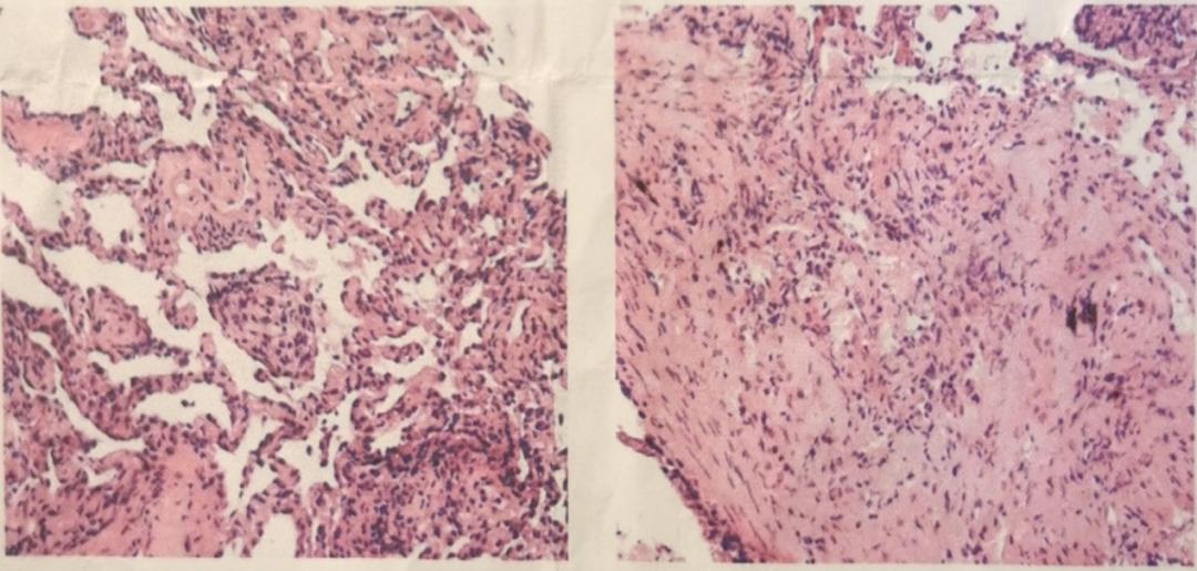
病理诊断显示:(右肺下叶后基底段)小块肺组织,间质慢性炎细胞及少量嗜中性粒细胞浸润,肺泡间隔增宽,不同程度纤维组织增生性玻变,支气管壁灶状纤维组织增生,未见嗜酸性粒细胞浸润。另见数小块纤维素样坏死物,其内混杂少量退变的炎细胞影,周围黏液样包裹(图2)。

图2. 超声支气管镜下肺病理活检
患者经超声支气管镜活检病理结果确诊为隐源性机化性肺炎。我们给予甲强龙40mg iv q12h,1周。1周后复查胸部CT提示病灶明显吸收(图3),无发热,咳嗽、气短减轻。体格检查听诊双肺未及湿啰音。为了防止病情反复出院后给予口服醋酸泼尼松40mg qd。

图3. 激素治疗一周后,双肺病灶范围较前缩小
到2021年5月,对患者使用的醋酸泼尼松已减量为20mg qd维持治疗, 复查胸部可见双肺多发高密度影较前明显缩小(图4),且病情无反复。

图4. 复查胸部CT可见双肺多发高密度影较前明显缩小
至此,患者明确诊断为隐源性机化性肺炎。诊断依据:1.基本特征→中年女性,亚急性起病;2.症状→反复发热1月余,咳嗽、气短3周,外院规范抗感染和抗结核治疗后,症状及影像学仍进行性加重;3.体征→无明显异常;4.辅助检查→① 胸部CT:双肺见多发斑片状高密度影,边界模糊,其内可见充气支气管影,部分其内见结节状钙质密度影;② 动脉血气分析:提示I型呼吸衰竭;③ hs-CRP:213.00mg/L,血沉:111.0mm/h,CRP:161.86mg/L,IL-6:98.34pg/ml;④ 超声支气管镜下肺活检病理诊断:(右肺下叶后基底段)小块肺组织,间质慢性炎细胞及少量嗜中性粒细胞浸润,肺泡间隔增宽,不同程度纤维组织增生性玻变,支气管壁灶状纤维组织增生,未见嗜酸性粒细胞浸润。另见数小块纤维素样坏死物,其内混杂少量退变的炎细胞影,周围黏液样包裹。
COP临床表现缺乏特异性,发病早期极易被误诊为肺部感染性疾病,肺组织病理活检是确诊COP「金标准」,还有哪些可取性经验?
回顾分析本案例总结经验,患者为中年女性,既往体健,以劳累为诱因,以反复发热(T最高为39.5℃)为最主要的临床表现,呼吸道和全身症状均较轻,因此病初误诊为「肺炎」,联合应用多种广谱强效抗生素治疗无效;后又进行诊断性抗结核治疗,症状加重,最终经超声支气管镜引导下肺组织穿刺活检明确COP诊断。由此可见,COP临床表现缺乏特异性,发病早期极易被误诊为肺部感染性疾病,因此我们对于临床上诊断为「肺炎」的患者如果常规给予抗生素治疗后无效,胸部HRCT提示实变伴支气管充气征,尤其出现易变性和游走性特点的肺变影时,排除其他常见的可能性疾病的同时,需疑诊COP的诊断,尽早获得肺组织病理学是诊断的关键。
而如果患者因年龄较大、病情严重不能耐受有创检查时获取病理组织时,在排除感染性疾病可能后,可以经验性地应用糖皮质激素治疗,但需要密切随访。如果患者临床表现和胸部影像学较前好转,则支持COP诊断。
我们应该注意到,本例患者最初对糖皮质激素的治疗反应性是好的,但因个人原因中途过早减药导致病情复发。但复发后再次给予20mg激素维持治疗后,治疗反应性仍较好,肺部病灶几乎完全吸收,目前仍在随访中。因此,临床上对于胸部CT提示为双肺多发实变,抗感染治疗无效的患者,应积极考虑该病的可能,积极行肺组织活检对确诊非常关键,尽早明确诊断,避免误诊。
COP是指无明确病原菌(如感染)或其他疾病(如结缔组织疾病)所致的机化性肺炎,其病理组织学是指以肺泡内、肺泡管、细支气管管腔内机化性肉芽组织形成为特点。其临床表现、影像学表现均无特异性,易被误诊为感染性疾病、肿瘤性疾病、结核等疾病,而肺组织病理活检是确诊COP「金标准」。糖皮质激素是目前应用最多、疗效肯定的治疗COP方法,因此一旦诊断明确,在COP早期足量应用糖皮质激素可使大部分患者达到不同程度缓解或临床治愈。但是我们依然要注意到,复发率高是本病的治疗难点,对于给药方式及剂量,目前还尚无明确的指南规定,我们在临床上通常要以症状的轻重、病灶的大小、病情的进展速度等作为参考依据。
COP的诊断较为困难,其临床表现不典型,通常以急性或亚急性起病为主,中老年人群多发,男女患病率相当。与吸烟无关,其主要表现为呼吸系统症状,例如咳嗽、发热、乏力、气短,部分患者还表现为盗汗、咯血等不典型症状。体格检查部分患者可无异常,或听诊少许干湿性啰音,与其他间质性肺疾病相比,COP体征不典型。因此,如果单从临床表现上来诊断,较为困难。而实验室检查:COP患者白细胞计数大多正常或轻度升高[1],CRP、ESR大多数升高,阳性率高达70-80%[2]。痰液及支气管肺泡灌洗液检验具有一定鉴别诊断价值。
COP患者的影像学表现复杂多样,高分辨率CT(HRCT)检查对 COP的诊断准确率最高,79%的患者具有较特征性的影像学改变[3]。常表现为实变影或磨玻璃阴影(GGO),或两者共存[4],或表现为小叶周围不透明影、反晕征、结节或肿块、支气管扩张和胸腔积液等。其中实变型最常见,伴或不伴支气管充气征,常两肺多发,以下肺及胸膜下为著。其中反晕征与游走性是在COP中有一定辅助诊断价值。肺功能变化通常为轻度-中度的限制性通气障碍,伴有一氧化碳弥散功能障碍。而COP的确诊需要肺活检技术。目前临床肺活检包括支气管镜下肺活检(TBLB)、经皮肺穿刺活检(PLB)、胸腔镜下肺活检(VAT)及外科切除肺活检四大类。其病理典型表现为无论是否有支气管管腔受累,而终末肺组织(终末细支气管、肺泡管或肺泡腔)内肉芽组织形成作为诊断必备条件。
参考文献
[1]李报春,李怀东.隐源性机化性肺炎7例临床诊断及特征分析[J].中国医药导刊,2020,22(3):162-165.
[2]Yılmaz S, Akıncı Özyürek B, Erdoğan Y,et al. Retrospective evaluation of patients with organizing pneumonia: is cryptogenic organizing pneumonia different from secondary organizing pneumonia? Tuberk Toraks. 2017 Mar;65(1):1-8.
[3]Johkoh T,Mailer N L,Cartier Y,et a1.Idiopathic interstitial pneumonias:diagnostic accuracy of thin—section CT in 129 patients.Radiology,1999,211:555—560.
[4]王丽丽,李天成,刘博乐,洪俊杰,徐妮娜,郑祥武.隐源性机化性肺炎的影像学特征[J].中国医学影像学杂志,2020,28(3):205-209.
专家介绍

金发光
教授,主任医师,博士生导师,现任空军军医大学肺部疾病研究所所长、全军呼吸内科专科中心主任、国家呼吸内科医师培训基地、国家呼吸内科住院医师培训基地主任、陕西省呼吸疾病临床医学研究中心主任。兼任世界内镜医师协会呼吸内镜协会副会长、内镜临床诊疗质量评价专家委员会常务委员、国家肿瘤微创治疗产业技术创新战略联盟肺结节专业委员会副主任委员、陕西省医学会内科学分会主任委员、中华医学会内科学分会常务委员、全军呼吸内科专业委员会副主任委员、中国医师协会内镜分会常务委员和呼吸内镜专业委员会副主任委员、中国医师协会整合呼吸专业委员会主任委员,中国医师协会呼吸分会委员和呼吸内镜专业委员会副主任委员,《中华肺部疾病杂志》、副主编,《中华结核呼吸杂志》、《国际呼吸杂志》、《中国呼吸与危重症医学杂志》、《中国急救医学》、《中华诊断学杂志》编委。获国家、*队军**、陕西省各种奖项9项。承担国家重大专项、国科金、*队军**、陕西省各类课题20余项。共发表论文320余篇,SCI收录70余篇。

潘蕾
空军军医大学唐都医院呼吸与危重症医学科主任医师,副教授,硕士生导师,医学博士,美国Emory大学博士后,空军军医大学肺部疾病研究所副所长,中国医师协会呼吸医师分会呼吸系感染工作委员会委员,全军医学会呼吸专业委员会感染学组委员,陕西省保健学会睡眠障碍专业委员会主任委员,中国老年医学会呼吸病学分会呼吸危重症学术委员会委员,《中华航空航天医学杂志》《国际呼吸杂志》编委会委员。

李王平
空军军医大学唐都医院呼吸与危重症医学科主任医师,博士,博士生导师。

陈晓霞
空军军医大学呼吸与危重症医学科,硕士研究生,副主任医师,陕西省医师协会重症医师分会委员,西安癌症康复委员会肺癌专委会委员,睡眠障碍专业委员会委员,发表核心期刊10余篇。
* 文章仅供医疗卫生相关从业者阅读参考
本文完
采写编辑:冬雪凝;责编:Jerry