中国每年新出生的先天畸形儿在80万-120万,占出生总人口的4%-6%,超声发现的异常除了明显的严重畸形外,还包括一些微小畸形,又称潜在的染色体异常标记。随着遗传超声学研究的发展,一些与染色体异常相关的微小畸形越来越受到重视。
超声检查是产前诊断和筛查胎儿畸形产科首选的影像诊断方法。目前普遍认为超声筛查发现的一些微小结构畸形与染色体异常相关,已越来越受到临床及超声医师的关注。今天就关于这方面专业认识做简要梳理,对微小异常做一些解释希望给大家有所启发。
妊娠期胎儿超声诊断常规
✔ 我国一次妊娠中临床一般建议进行至少3次超声检查
✔ 美国常规检查:2-3次
✔ 德国常规3次:9-12周 19-22周 29-32周
✔ 英国平均2.8次
产科超声检查分为以下四个层次
1、一般产科超声检查
2、常规超声检查
3、系统超声检查
4、针对性超声检查

产科超声常见微小异常解读
1、颈项透明层、NT
2、鼻骨发育不良、NB
3、脑室轻度扩张、MVM
4、脉络丛囊肿、CPC
5、心室强回声光斑、EIF
6、肾盂轻度分离、APD
7、肠管回声增强、EB
8、单脐动脉、SUA
9、长骨偏短、FLS
10、透明隔腔、CSP
11、室间隔缺损、VSD
12、房间隔缺损、ASD
一、颈项透明层
NT定义:颈项透明层指胎儿颈椎水平矢状切面皮肤至皮下软组织之间的最大厚度NT反映皮下组织内淋巴液体的积聚。

测量时间: 在孕 11 – 14周。胎儿头臀长 45 ~84mm时进行。

超声测量NT:多数专家认为NT 增厚定义为厚度超过第 95 百分位数,不论NT 是否有分隔,也不论是局限性或全身性,即 NT≥3.0mm作为异常增厚的标准。
国外的文献报道:>3mm,10%的胎儿有畸形 >6mm,90%的胎儿有畸形。
NT增厚的临床意义:NT增厚与染色体异在孕早期所有的染色体异常都与NT增厚有关,颈项透明层增厚越明显,发生胎儿结构异常与染色体异常的概率越大。NT增厚与胎儿先天性心脏病有关。研究发现颈项透明层增厚胎儿心脏及大血管结构异常的发生率明显增高。
二、胎儿鼻骨(NB)
胎儿鼻骨于胚胎期第6周开始发育,9-11周通过膜性成骨方式骨化,正常胎儿中有1.4%的鼻骨存在缺失。
标准测量平面为胎儿水平位置正中矢状面,显示为鼻梁内的强回声细线。
鼻骨发育不良
NB筛查时间:11—14周,异常标准:鼻骨缺失、鼻骨短小是染色体异常的超声指标。
鼻骨长度
11-14W 3mm
20-24W 7mm

超声鼻骨切面:正中矢状切面和横切面诊断鼻骨缺失时,至少需要在 2 个互相垂直的切面印证。


超声检查胎儿鼻骨可作为产前超声筛查的一个有效指标。

中孕期正常胎儿鼻骨长度

超声检查鼻骨临床价值:11-14周胎儿鼻骨检查的成功率为95%。21-三体的胎儿60-70%鼻骨缺失,中孕期 DS 组胎儿的鼻骨缺失发生率为 55.5%,而正常对照组为0.5%。
三、胎儿脑室轻度扩张(MVM)
胎儿脑室扩张是最常见的脑发育异常之一,发生率约0.03% ~ 0.15%,脑室扩张时,侧脑室后角最先受累侧脑室后角宽度作为常规衡量侧脑室宽度一个指标。

侧脑室轻度扩张 评价脑室系统体部脉络丛水平 侧脑室壁内缘测量

各种原因造成脑脊液循环受阻,积聚于脑室内,出现脑室扩张。侧脑室宽度≥15mm的明显脑室扩张称为脑积水。多为中脑导水管狭窄所致,原因包括染色体异常、炎症、肿块压迫等。

超声检查脑室扩张的临床意义:
平均宽度为6. 4 ± 1.2mm,正常上限值为10mm;
脑室宽度 10 ~ 15mm 为轻度脑室扩张;
一侧或双侧脑室扩张 > 15mm,为重度脑室扩张,即脑积水,往往预后不良。

超声轻度胎儿脑室扩张的处理:
✔ 轻度脑室扩张合并颅内外结构畸形或脑发育异常的可能性大大提高,因此建议在 18 ~28 周进行系统超声检查。
✔ 超声检查发现单纯性轻度脑室扩张,应定期随访,每隔 2 ~4 周复查 ,了解脑室扩张的宫内转归,因约 14%的脑室扩张为进展型,且预后不良。
单纯性轻度脑室扩张 <12mm,孕期进行超声定期随访,如无进展者预后良好; 如脑室扩张12 ~ 15mm,或有进展者,应建议行胎儿头颅 MRI 检查,必要时行胎儿羊水或脐血染色体核型分析,出生后严密随访神经行为的发育。

四、脉络丛囊肿(CPC)
脉络丛囊肿CPC 是指孕 14 ~ 28周经超声检查在胎儿侧脑室脉络丛内发现的散在的直径≥2mm 的小囊肿。

脉络丛是脑脊液分泌的重要场所,在胚胎发育的不同时期脉络丛的结构发生较大变化,间充质基质由稀薄逐渐浓缩,脉络丛内的毛细血管发生血管瘤样改变,包裹一部分脑脊液形成脉络丛囊肿。
✔ CPC发生率1%-2%,正常胎儿可一过性出现。
✔ 声像图为在均质强回声的脉络膜丛内见到圆形或椭圆形无回声结构,多为3-5mm大小。
✔ 单纯CPC中染色体异常的机率在1%-2.4%。

✔ 妊娠26-28周左右95%以上的CPC逐渐消失。
✔ 大约有1-3%的正常人群中在中期妊娠的超声检查中可发现有CPC。有建议5mm以下不报告。
✔ 如果囊肿小于1cm或越来越小,染色体异常可能性小。
✔ CPC本身不会造成胎儿发育异常,包括智力障碍、脑瘫和发育迟缓等。
✔ 囊肿大于 1 cm 时,约 1% ~2%有胎儿染色体异常,这些胎儿大部分都有另外的畸形。以 18 、21-三常见。
✔ 胎儿脉络丛囊肿作为产前超声诊断中的超声标记之一,可以提示胎儿染色体异常的风险性。
✔ 囊肿较大或胎儿合并其他畸形时应做胎儿染色体检查。
五、心室内强光斑(EIF)
心室内强回声光斑或心内灶性强回声

胎儿心室强光点指直径为1~6mm的斑状、灶状或条索状的结构,其回声强度与周围骨结构接近,可为单发,多发,以左室乳头肌处最常见,是妊娠期较常见超声表现。随孕期增加逐渐减弱,最迟在1岁内消失。

形成原因可能是:
心室内腱索增厚而形成的强回声反射;乳头肌中央矿物质的沉积、钙化,这可能是乳头肌内冠状动脉末梢分支早期缺血性改变。
病理学可见乳头肌处的微钙化灶,可能与胎儿染色体异常有关。大多数的研究报道单纯性的心室强光点常无临床意义。
超声检查胎儿心室强光点临床意义
✔ 低风险胎儿如单独出现EIF而无其他异常超声表现时,临床意义不大,可超声随访,不必进一步做有创性检查。
✔ 高风险胎儿即使单独出现EIF,其染色体异常的风险也增加,建议遗传咨询,结合临床多因素谨慎处理。
✔ 低风险组胎儿检出EIF,同时合并有多项其他超声软标志时,其染色体异常的风险增加。
✔ 大多数的研究报道单纯性的心室强光点常无临床意义,超声检查所见的胎儿心脏发育过程中的一种变异。
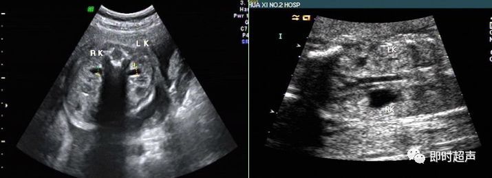
六、肾盂轻度分离(APD)

发生率为 0.59%~1.4%。可分为生理性肾积水和病理性肾积水
超声图像特点:胎儿肾盂轻度分离,肾皮质厚度变化不明显,双侧肾盂扩张程度相当,不伴输尿管扩张。
已知有多种因素可以造成胎儿肾盂扩张:
✔ 产前胎儿的高尿流量;
✔ 胎儿的输尿管顺应性较高;
✔ 胎儿泌尿道对孕期激素的反应;
✔ 还有母体水合作用;
✔ 一过性的解剖或功能性梗阻;
✔ 病理性梗阻因素造成的胎儿肾积水。
胎儿肾盂积水的诊断分级对胎儿肾盂积水诊断标准,迄今尚未统一,分级方法亦很多,最常用的两种分级方法:一是美国胎儿泌尿协会SFU的分级法,二是按肾盂前、后径APD分级法。但两者对肾实质变化缺少客观评价标准。
超声胎儿APD诊断标准
✔ 在任何孕龄肾盂前后径小于等于3 mm均属正常
✔ <32孕周肾盂前后径>4 mm
✔ >32孕周前后径>7 mm
✔ 任何孕周时前后径>10 cm
✔ >32孕周时APD为(5-8)mm,(9-15)mm,>15 mm,轻中重
产前超声诊断评估肾盂积水及病变规律认识
✔ 在中期妊娠发现胎儿肾盂扩张,随访至孕晚期扩张程度变轻者,很少发生泌尿道畸形;
✔ 在胎儿膀胱过度充盈时,肾盂轻度分离,胎儿排尿后,随着膀胱容积缩小,肾盂积液量随即减少消失。预后良好;
✔ 在24孕周前,超声检查发现胎儿肾盂积水比例较高,越早发现肾盂积水,预后相对越差;
✔ 孕24-28孕周前胎儿肾盂扩张>6 mm,需30-40孕周复查;
✔ 孕期胎儿肾盂积水逐渐加重,则生后异常可能性更大;
✔ 超声检测不到羊水平面,膀胱未显示,则说明胎儿双肾无功能,胎儿肾盂积水预后不良;
✔ 羊水量过少和巨大膀胱肾盂积水,提示后尿道病变;
✔ 当一侧肾正常时,单侧梗阻胎儿存活率达100%。即使单侧肾缺如,只要不影响胎儿肾发育,且羊水量正常,产后仍能正常生存;
✔ 双侧肾梗阻最常见是后尿道瓣膜,阻挡尿液排出,致羊水量减少,影响胎儿多系统发育,威胁其生命,需严密监测,有时须行胎儿期干预。
随着肾盂扩张程度增加,生后肾病发生率和手术率增加。APD>15 mm多与泌尿道畸形有关。诊断肾盂扩张,APD=8 mm为最佳阈值,APD>11 mm是有效界限,可为预测产后是否需手术提供依靠和指标。
胎儿肾盂分离各因素超声评分

七、肠管回声增强(EB)
超声显示:胎儿肠管强回声是指胎儿肠管回声强度接近或高于其周围骨骼回声的强度。常见于中期妊娠胎儿的小肠及足月妊娠胎儿的结肠,是产前诊断的指征之一。中孕期的超声检出率为 0.1% ~ 1.8%。
孕期发现胎儿肠管强回声,除考虑染色体异常可能外,尚需排除其他异常,如宫内感染、 巨细胞病毒感染 、出血、纤维囊泡症、小肠闭锁、胎粪性的肠梗阻及地中海贫血等。

肠穿孔钙化

肛门闭锁

胎儿肠管回声增强妊娠结局相关分析评估
✔ 单纯肠管回声增强妊娠结局较好。单纯肠管回声增强病例中仅 5% 发生不良妊娠结局。
✔ 单纯EB染色体异常风险低,合并其他超声软指标提示染色体异常风险显著增加。
胎儿肠管回声增强妊娠结局相关分析评估
✔ 肠管回声增强伴羊水量异常需高度怀疑有消化道畸形可能。
✔ 在有EB胎儿中,巨细胞病毒感染及胎粪性腹膜炎亦较常见。
✔ 孤立性EB合并水肿胎儿,重型α地贫可能性极大。
✔ 合并其他超声软指标或结构畸形者,其染色体的异常率较前者增加 3 ~4 倍,肠管回声增强如合并其他超声异常时,均应建议孕妇行侵入性产前诊断,排除染色体、感染、地中海贫血等异常,及时评估胎儿预后,定期 B 超监测。
八、单脐动脉(SUA)
正常脐带内有两条脐动脉和一条脐静脉,供给胎儿营养。单脐动脉 , 指脐带内只有一条脐动脉和一条脐静脉,它是最常见的一种脐带异常。发生率约为0. 2% ~1.1%。
发生原因:可能为在脐动脉发育过程中,由于一条脐动脉发育不良或萎缩,或在早期暂时出现的单脐动脉期持续下去,都可能形成单脐动脉。
单脐动脉超声诊断
单脐动脉胎儿仅见一根脐动脉于膀胱一侧,经膀胱腹部横切面可判断左侧或右侧脐动脉缺如。羊水中脐带纵切面仅见两根血管并行或螺旋状排列, 横切时可见两个大小不一的圆环并行排列,彩色多普勒显示一红一蓝彩色血流信号。



单脐动脉胎儿结构畸形妊娠结局与染色体关系


单脐动脉导致胎儿发育异常的原因
单脐动脉扰乱了胚胎血流动力学,导致心血管系统畸形以及影响了早期胚胎下半部的血液供应,引起泌尿系统、生殖系统、消化系统、中枢神经系统及下肢发育畸形。单脐动脉还造成胎儿循环障碍,使胎盘部分面积萎缩、绒毛水肿,回流血量减少,导致胎儿缺氧,继而引起胎儿发育不良、宫内发育迟缓。
超声诊断单脐动脉产前咨询和临床处理
✔ 单脐动脉者合并心血管畸形发生率最高,应做心超查。
✔ 单脐动脉胎儿合并其他结构畸形的发生率明显高于正常胎儿,国外报道为 7% ~55%。
✔ 产前超声检出单脐动脉是比较常见的,右侧脐动脉缺失型多于左侧。
✔ 孕中晚期单脐动脉胎儿合并染色体异常发生率高达10% ,最常见的为 18 - 三体综合征。
✔ 对于单脐动脉伴有畸形胎儿建议常规做羊水穿刺或脐带血管穿刺进行染色体检查。
✔ 孤立性单脐动脉也就是无伴发畸形者,也应对生长发育进行认真评估,其宫内发育迟缓的可能性不容忽视,仍有建议行染色体检查的必要性,同时应密切监测其妊娠过程,并做好单脐动脉胎儿出产后的随访,防止产前不易发现的隐匿性畸形的存在。
九、长骨偏短(FLS)
股骨偏短 FLS:超声测量胎儿股骨与肱骨测量值低于平均值的2倍标准差以上,可认为股骨或肱骨偏短。

超声测量胎儿股骨在14周之后声束与股骨长轴相垂直不包括骨垢。

股骨偏短临床评估
1、父母或祖辈身材矮小,胎儿股骨偏短,多短于2倍标准差0.5cm以内。
2、股骨偏短其測值低于正常孕周平均值2倍标准差0.5 cm以内的,临床预后好。
3、胎儿股骨偏短多数发生于孕晚期。股骨偏短程度随着孕周增加而加重。
4、长骨较正常均值减少2SDs--4SDs之间,建议胎儿染色体核型分析,正常仍需动态追踪,维持一定生长速度则考虑FGR或正常胎儿。
5、以SDs将长骨(股骨、肱骨)缩短进行量化较正常均值减少4SDs以上骨骼发育异常多见。

十、透明隔腔(CSP)
透明隔是两侧侧脑室间的间隔,从妊娠10~12周开始发育,由灰质细胞和神经纤维组成 的两层薄膜间的腔隙即为CSP。大多数学者认为在孕 18~37w 之间 CSP 的显示率为 100%。

看不到 CSP 或 CSP 异常增宽已经被看作先天性颅内发育异常的一个线索。包括胼胝体发育不全、全前脑、视-隔发育不全、精神障碍等。应进一步做详细的检查。

各组测量显示孕周与透明隔腔大小无相关性

超声检测CSP对胎儿神经系统诊断和鉴别诊断意义:超声检查CSP主要表现为缺失和异常增大,从而导致CSP畸形或其他颅脑畸形。透明隔、胼胝体、边缘系统有共同的胚胎起源,透明隔发育异常预示包括胼胝体、边缘系统在内的发育异常。

✔ 正常透明隔腔宽度6mm±2.64mm,宽度大于10mm为异常。
✔ 晚孕期透明隔腔的存在是胎儿脑中线结构发育良好标志。
✔ CSP缺失是产前超声诊断胼胝体发育不全的最初线索,正中矢状和冠状切面上不能显示胼胝体和CSP,第三脑室扩大上移、侧脑室增大呈泪滴状,即可诊断胼胝体发育不全。

✔ CSP 异常增大宽度超过 10mm。则可成立透明隔囊肿诊断扩张性透明隔囊肿最常见。
✔ 异常增宽的 CSP 与精神异常有关,临床表现是头痛、癫痫、昏厥、精神障碍和神经症。

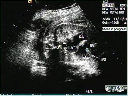
十一、室间隔缺损(VSD)
超声特点:常见的一种CHD,占其中20-25%可与其他心内畸形并存。


超声诊断VSD意义评估:①单纯VSD一般临床预后好,建议行染色体核型分析合并染色体异常的发生率18%。②VSD与其他心内或心外畸形并存预后多不良,可选择终妊妊娠。③不要因单纯VSD改变分娩方式和时间,出生后小缺损可自然闭合,大则及早手术修补 。
十二、房间隔缺损ASD房间隔缺损(ASD)


房间隔缺损(ASD)超声特点
四腔心断面上超声未发现卵圆孔瓣漂入左房,卵圆孔直径>8mm,应怀疑 存在ASD的可能性。
超声ASD处理原则同VSD。


小结
超声检查胎儿微小异常非常重要,产科超声包含多学科,微小病变多属于遗传学超声范畴,通过系统超声,可以筛查出胎儿多种畸形或可疑异常指标,多种微小异常与染色体异常相关。熟悉相关知识,做好相关解释,指导是否进一步行羊膜腔穿刺染色体检查,为临床提供重要信息。