
INTRODUCTION
导 读
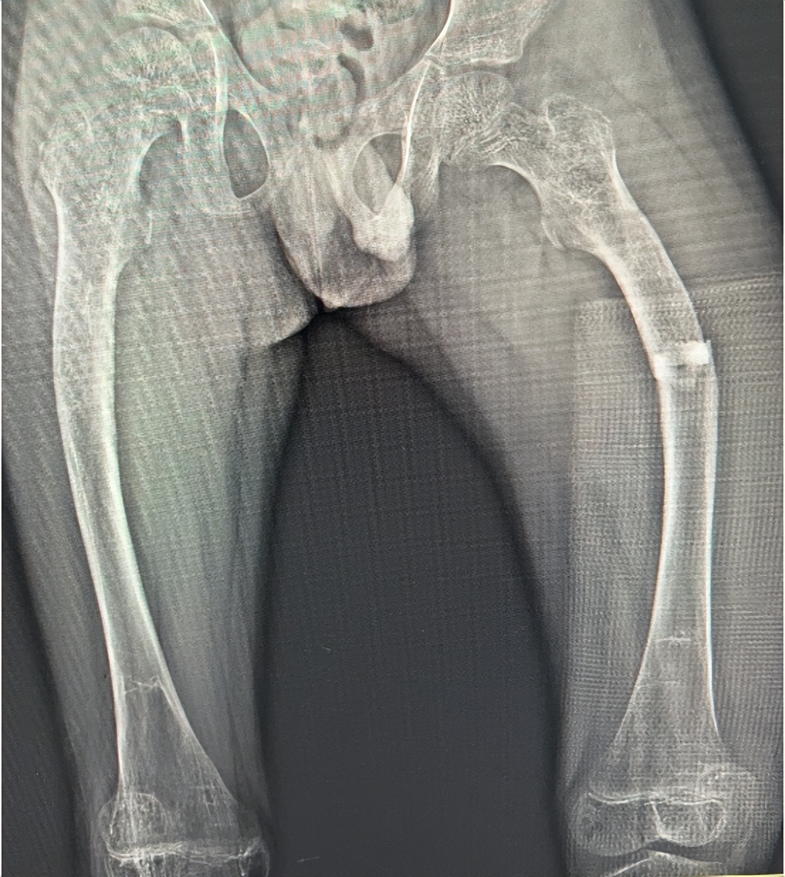
5月6日是国际成骨不全日,旨在让成骨不全症(罕见骨病)儿童被看见、被关注,促进早诊断、早治疗。5月5日,江西省儿童医院接诊一名患有成骨不全症的9岁男童,骨科熊斌团队成功为其进行左侧股骨骨折复位+截骨矫形内固定,右侧股骨多段截骨矫形内固定手术。目前,男童正在康复中。

来自江西抚州的磊磊(化名)在近2年内已出现三次股骨骨折,存在日常行动障碍,4天前磊磊不慎受伤再次骨折,磊磊的父母立即带其前往江西省儿童医院骨科就诊。

(术中)
磊磊办理入院后,骨科主任熊斌团队通过详细检查,确诊为左侧股骨骨折,成骨不全。根据磊磊的病情,考虑到磊磊两侧大腿因反复受伤已出现畸形改变,熊斌、副主任医师林智峰、主治医师江琦庆进行多次讨论及风险评估后制定了详细的手术方案,决定采用可延长髓内钉为内固定,为磊磊进行左侧股骨骨折复位+截骨矫形内固定,右侧股骨多段截骨矫形内固定治疗。熊斌团队在手术室麻醉科及护理团队的默契配合下,顺利为磊磊实施手术,历时8小时。目前,磊磊正在康复中。

成骨不全症科普
成骨不全症(OI),也称为脆骨症或“瓷娃娃”病,是小儿骨病中的一种具有临床异质性的罕见遗传性结缔组织病,发病率约为1/15000 ~1/20000 。主要是由于多种致病基因突变导致Ⅰ型胶原代谢异常,进而导致胶原合成障碍,在儿童轻微损伤后,易引起多次自发性骨折,多为青枝类,移位较少,易出现骨密度显著降低、骨微结构损害等情况,最终引发反复性骨折和进行性骨骼畸形。患儿外在表现为身材矮小、脊柱侧凸、长骨畸形等症状。
熊斌介绍,成骨不全症严重影响患儿的生活质量和运动功能,团队采用可延长髓内钉为内固定来治疗小儿成骨不全症,可延长髓内钉可随着儿童的骨骼生长发育而自动延长,有效弥补了以往髓内钉不能延长的缺点,减少了后期儿童需要更换内固定的几率,为成骨不全的治疗提供了新的手段和途径。 骨科熊斌主任团队中主治医师江琦庆作为江西省内唯一完成香港大学国际骨骼发育不良项目培训的医生,可为江西省内成骨不全患儿提供全程规范化的诊疗。
如果孩子容易出现反复骨折,家长可带孩子前来江西省儿童医院骨科及时进行诊治,以免影响孩子的正常生长发育。
骨科·专家简介

熊斌:骨一科主任,主任医师 ,擅长发育性髋关节脱位、各种原因所致的脊柱侧弯、肌性斜颈、狭窄性腱鞘炎、多并指(趾)、膝内翻、膝外翻、马蹄足以及儿童骨折等常见疾病的诊治。
出诊时间:【红谷滩院区】周三上午,周四上午特需门诊

吴欣乐:大外科副主任,骨二科主任,主任医师, 擅长小儿骨科常见病、多发病及一些疑难疾病的诊治,尤其马蹄内翻足和髋关节脱位等四肢畸形;股骨头坏死等骨病;创伤及其并发症等的诊治。
出诊时间:【红谷滩院区】周二上午特需门诊,周五

易申德:副主任医师, 擅长儿童四肢复杂骨折及脱位,儿童各类复杂骨病以及四肢肿瘤,儿童先天性畸形的手术矫形治疗。
出诊时间:【红谷滩院区】周二

林智峰:副主任医师, 擅长儿童骨科先天性、发育性疾病及创伤、感染、肿瘤等疾病的诊治;尤其擅长儿童骨关节创伤的微创治疗,及其后遗肢体畸形的矫形治疗。在髋关节脱位,儿童股骨头缺血坏死,脊柱畸形、足部畸形、膝关节运动医学方面疾病有丰富的临床经验。
出诊时间:【红谷滩院区】周三,周四

熊志刚:副主任医师, 擅长治疗儿童创伤和各类儿童骨折、骨肿瘤、和发育性髋关节脱位、脊柱畸形及四肢畸形等,尤擅各类儿童骨折的微创治疗及儿童四肢畸形的矫治。
出诊时间:【红谷滩院区】周一;【东湖院区】周五

杜香平:副主任医师,医学博士, 擅长发育性髋脱位,股骨头缺血坏死,小儿外伤、外伤后生长发育畸形的诊治。

曾晓辉:副主任医师, 对常见的小儿骨科的疾病:外伤、畸形、肿瘤、感染等有丰富的诊治经验,在髋关节脱位,儿童股骨头缺血坏死,脊柱畸形、足部畸形、膝关节运动医学方面疾病有丰富的临床经验。
出诊时间:【东湖院区】周二;【红谷滩院区】周四

邹俊:副主任医师, 擅长儿童骨折、先天性及获得性肢体畸形、低龄患儿马蹄内翻足、各类复杂多并指(趾)治疗,对发育性髋关节脱位、股骨头坏死 、髋内翻等髋关节疾病,先天性、特发性、神经纤维瘤病导致脊柱侧弯诊治等有丰富经验。
出诊时间:【红谷滩院区】周一;【东湖院区】周三

蔡军:副主任医师, 对常见的小儿骨科的疾病:外伤、畸形、肿瘤、感染等有丰富的诊治经验,在髋关节脱位,儿童股骨头缺血坏死,脊柱畸形、足部畸形、膝关节运动医学方面疾病有丰富的临床经验。
出诊时间:【东湖院区】周一;【红谷滩院区】周二
注:出诊时间仅供参考,具体请以医院微信平台挂号排班为准。