导读
十二指肠异位胰腺的恶变非常罕见。本文患者经食管胃十二指肠镜和腹部CT检查显示十二指肠球部梗阻,为诊断和治疗进行了远端胃切除术。切除标本病检结果为异位胰腺腺癌(Heinrich 1型)。
相关背景
异位胰腺通常在手术或活检中被发现,是正常胰腺外的罕见胰腺组织。该组织与正常胰腺没有任何联系,并且具有自身血管和导管系统。异位胰腺在腹部手术中占0.25%,在胃切除手术中占1.2%,在尸检中占0.55%-13.7%。
病例简介
患者男,81岁,因呕吐1月入院。患者没有抱怨明显的体重减轻,但每天都要经历持续的呕吐,并且总有饱胀感。患者既往有慢性房颤、慢性心力衰竭、Graves病、高脂血症和良性前列腺增生病史,无既往手术史。
血清肿瘤标记物,如碳水化合物抗原(CA) 19-9、CA 125、α-fetoprotein (AFP)、癌胚抗原(CEA)均在正常范围内。食管胃十二指肠镜检查(EGD)显示粘膜下肿瘤样病变,累及十二指肠球部整个圆周,表面光滑,界线不清(图1)。由于十二指肠狭窄,故内镜无法通过十二指肠球部。

图1 EGD检查显示十二指肠球部梗阻。箭头:幽门环;三角箭头:十二指肠球部梗阻
多层螺旋CT增强扫描可显示十二指肠球部管壁厚度,未发现淋巴结肿大(图2)。黏膜下肿瘤样病变活检标本未显示恶性肿瘤的证据。由于临床上尚不能排除恶性肿瘤的可能性,故拟行手术切除肿块,以诊断和治疗该疾病。

图2 多层螺旋CT增强扫描显示十二指肠横断面(A)和冠状面(B)管壁厚度。箭头:十二指肠球部管壁厚度
诊疗经过
患者随后接受了开腹手术。术中在十二指肠球部可触及硬块,其向后延伸至十二指肠降部。采用Kocherization手法处理十二指肠后,切除靠近幽门环至十二指肠降部末端(未触及肿瘤)的区域(图3)。

图3 手术图式。LN,淋巴结;T,肿瘤
最终进行了远端胃切除术。切除肿瘤位于十二指肠球部,大小为30×10 mm(图4)。起初影像学发现肿瘤与正常胰腺并不连续,后在术中得到进一步验证。该肿瘤在镜下被诊断为中分化腺癌,从黏膜下层延伸至十二指肠固有肌层。

图4 切除标本(胃窦和十二指肠)。三角箭头:肿瘤。箭头:幽门环
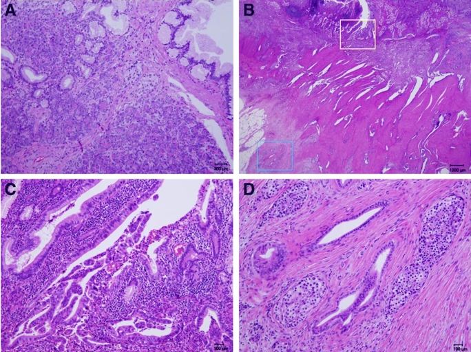
肿瘤旁可见正常胰腺组织,提示异位胰腺的存在(图5)。手术切缘未见肿瘤细胞,可观察到中度淋巴管侵犯、中度静脉侵犯、明显的神经侵犯以及肿瘤转移至上、下幽门淋巴结。邻近的异位胰腺组织的显微外观与Heinrich 1型表现一致,存在导管、胰岛和腺泡。

图5 A,十二指肠异位胰腺,显示胰管、腺泡细胞和胰岛,为Heinrich 1型;B,十二指肠腺癌主要位于粘膜外层,并与异位胰腺结合,同来源于异位胰腺的肿瘤一致。C图和D图分别表示黄色和蓝色方框的放大图像;C,十二指肠乳头状腺癌,来自异位胰腺;D,异位胰腺组织,由十二指肠肌层的胰管和胰岛组成
免疫组化染色显示,异位胰腺和正常胰腺胰岛嗜铬粒蛋白A、突触素、神经细胞粘附分子(NCAM)、胰岛素、胰高血糖素和生长抑素染色均呈阳性。根据以上发现,患者最后被诊断为十二指肠球部异位胰腺导管腺癌。
医脉通编译整理自:Kaneko T, Ohara M, Okamura K, et al. Adenocarcinoma arising from an ectopic pancreas in the duodenum: a case report. Surg Case Rep. 2019 Aug 6;5(1):126. doi: 10.1186/s40792-019-0684-8.