很想和大家聊聊关于正畸就是牙齿矫正的话题,其实我家里人的牙口都相当不错,长的也是整整齐齐,当然,我也不是很丑,就是有那么点不太整齐的,所以还是有想过牙齿矫正的这个事情。
我们都知道牙齿矫正最好的时期就是青春期时,大家都是为了学习,谁还管美貌是否和智慧能并存?再者,时间也并不是多长,2-3年足以。

不过,最终没有付诸实践的最大原因,来自于不堪受苦,以及对自己的牙齿并没有到了难以忍受的程度。
所以我现在错过了最好的时机。

当然,为此也是了解了很多关于正畸方面的知识,便于后期我还想着实现我青春期时的小愿望,不至于踩坑。

吸收着知识的途中,也不乏有很多人说过牙齿矫正有后遗症,到底是因人而异还是其他方面的原因,这有待考证,下面我也想和大家说明一下关于这个话题。
首先,我们要正确的的认知,凡是也都有它的两面性,我们不能绝对的认为一定可以,或是直接否认。
牙齿矫正也是如此,有没有后遗症取决于在你下定决心前,你对牙齿矫正有多少的认知。
牙齿矫正的优点
纠正牙齿的咬合关系。牙齿排列不齐会导致牙齿的咬合力量不够均衡,从而造成牙齿的磨损,以导致牙齿容易松动和脱落。牙齿的矫正可以使牙齿排列整齐、咬合关系达到正常,从而保护牙齿的健康。
改善面容情况。牙齿矫正后,可以使原本因为牙齿不齐而导致的面容异常的情况得到改善,从而恢复美观。

改善其它的口腔功能。牙齿畸形会影响到发音、嘴唇闭合,通常矫正后完全可以避免这些情况的出现,还可以避免口腔粘膜干燥及增进口腔对感染的抵抗力等。
有利于牙周的清洁。牙齿不整齐不易清洁,容易出现牙石的沉积,牙龈红肿增生等牙周疾病。通过牙齿矫正可以方便牙齿的清洁,还可以以预防龋齿及牙周病。
恢复口腔正常功能。口腔正畸后能增强咀嚼功能,帮助消化及营养吸收。成人或中老年人异常咬合会影响到牙齿咀嚼,常常引起消化系统的疾病。
- 牙齿矫正的后遗症
牙齿松动:牙齿矫正就是一个移动牙齿的过程,在移动牙齿的时候,牙齿周围的组织也在发生不断的移位、重建。因此矫正过程很容易出现松动的情况。
牙根吸收:牙根吸收更容易出现在成人牙齿矫正的情况中,出现了牙根吸收后牙齿会变短,从而也就增加了牙齿松动的几率。
损伤牙槽骨:因为在牙齿矫正之时,要移动牙齿、会带动牙周组织,牙槽骨可能会变低,从而出现牙龈萎缩等情况。这点虽然非常遗憾,但是的确是不可避免的。
牙体牙髓病:许多人做完牙齿矫正后,都会出现死髓牙的情况,这就是牙齿矫正过程中,给牙齿施加的压力过大,从而导致牙神经损坏,形成牙髓病。

看到这里,朋友们也不要过于担心,「牙齿矫正后遗症」确实存在,但时基于你是否遇到了一个好医生。
就像现在已经成为趋势的整容一样,正规的医院当然不用说,技术好的医生才是王道,否则毁了脸又赔了钱绝不是我们愿意看到的结果。
当然,不靠谱的整形医生一大把,随随便便就上手,不靠谱的正畸医生当然也很多,选择性的透露信息给你说正畸完全没问题。
常说“三分天注定,七分靠打拼”,其实正畸也是如此,“七分靠医生技术,三分靠配合”。矫正牙齿毕竟价格不菲,我们都希望能带来最佳的效果,就算是有个别不配合,医生也能想到一些办法来弥补,所以很多正畸导致的不良后果还是脱离不开「医源性伤害」。

很多朋友都在问是否真的后遗症,那我们也来具体聊一聊。当然不是吓唬你们,以后不要去正畸了,只是,在把自己的牙交出去前,好好的了解一下还是很有必要的。
有口内图预警,个人感觉不算恶心。。。

有些医生和平台会把牙齿松动推给清洁不到位上,拜托,把锅甩给患者会显得你技术很好吗?
就算你没矫正过牙齿,也是会发生牙根吸收的好嘛。但是,在正畸过程中,如果施加的过了度的力量,让牙齿移动超出了生理界限,这会大大增加牙根吸收的几率。严重时,真的有可能牙齿掉落。
「牙根吸收」是个什么状况?

牙本质随着吸收加重逐渐凹陷,本来长长的牙根变得越来越短,“根基”不再扎实,牙齿自然很难保住。
有的人在正畸前就已经有牙根吸收的状况,所以在矫正前专业的正畸医生一定会进行全面的检查,甚至在戴牙套的早、中期都要拍片追踪牙根情况,及早发现牙根吸收的可能。
矫正方案设计合理、施力得当的情况下,严重的牙根吸收就不容易发生。

牙周不好,绝大部分原因是长期清洁牙齿不到位。但不良正畸也可能对牙周造成伤害
伤害一:没治好牙周病就开始正畸。
牙周不好的牙友几乎都会被正畸医生要求治疗好牙周再来戴牙套。如果没有治疗彻底就开始矫正,矫正过程中牙齿的压低或倾斜移动,可能会把牙结石、牙菌斑等脏东西更深地带入牙周袋,牙周疾病会更加严重。

当然,如果是你自己不好好刷牙,这部分的锅和苦楚只有自己背。
伤害二:拔牙关闭过快或加力过大,导致间隙处牙龈组织堆积。
堆积的牙龈组织反而会加大关闭间隙的难度,有时还会有牙槽骨吸收。

矫正失败不限于未达到矫正目标,还可能出现更严重的咬合错乱和新的错颌畸形。
比如拔了牙没关间隙,或者把内倾的上前牙整成唇倾、深覆盖整成深覆合,或本来只是牙不齐,却整成一口“整齐的龅牙”……

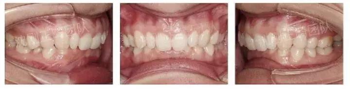
上海沈刚医生团队接混II二次矫正一例
上图 不知道的还以为没做过矫正,殊不知这就是某不专业医生正畸结束交的差。
比较典型的还有写进教科书里的「过山车效应」

上海袁峰医生接“过山车”效应转诊一例
在经验不足的正畸医生手里,如在较软、较细的弓丝上大力关闭拔牙间隙,或是内收量较大却没有对前牙加足够的转矩控制等,无论是固定托槽还是隐形牙套,都可能发生「过山车」效应,出现类似上图尖牙远中倾斜并扭转,前牙覆合加深,后牙开颌的情况。
总之就是矫正不成,还给二次矫正增加了难度。
不良正畸导致的情况可能是以上某种或某几种叠加,有些伤害甚至是不可逆的,要及时发现及时止损。
矫正失败或是出现一些不良后果不仅是对一个人时间、金钱的无端消耗,更是对耐心与信心的打击。

再次强调并不是危言耸听吓唬不要做矫正,而是希望朋友们全面认识正畸,做矫正前能更谨慎地选择医生。
正畸涉及到的托槽与弓丝选择、支抗控制、力学知识等,需要医生经过多年系统的正规培训和学习,并积累大量临床经验才能掌握合理设计方案的能力。
你好,我是新牙口腔研究所所长小新,持续关注爱新牙,将持续为你更新口腔领域知识。