阴茎硬化性苔藓样变(Lichen Sclerosus,LS)是一种慢性炎症性疾病。1881年,Hallopeau首次对其进行了报道。LS是一种粘膜自身免疫性疾病,以色素沉着减少和皮肤萎缩为特征,它最常累及生殖器皮肤,较少累及生殖器外的部位,男性患者绝大多数有包茎病史。LS可能占男性尿道狭窄疾病的10%,即使在没有远端到近端尿道疾病进展的情况下,也发现有LS 伴孤立性球部尿道狭窄。该疾病在所有年龄段都可能发生,发病率不明确,估计为1/300-1/1000。男女都受影响,女性比男性更常见,女男比例从1:1到10:1不等,临床多数为绝经后女性。
【临床特征】
LS起病隐袭,早期无明显症状,可累及包皮和*头龟**,患者自觉病变处瘙痒、疼痛、烧灼或针刺感,包皮内板及阴茎头处粘膜皮肤肥厚,色泽微红,包皮难以褪下;进展期包皮内板反复溃疡形成,可伴有脓性分泌物、继之局部粘膜干燥萎缩,阴茎头、体及尿道口,甚至外阴其他部位出现类似Queyrat红斑、扁平苔癣、白斑和硬皮样变;斑块融合后病变处失去弹性,*生活性**时容易造成包皮破裂。

Lichen sclerosus. Image courtesy S Bhimji MD
随着疾病进展可进一步影响尿道外口,并侵犯远端尿道和阴茎皮肤,出现排尿困难的相关症状,如尿流变细和排尿费力是常见的主诉。LS病变造成的瘢痕或周围组织病理变化可导致尿道狭窄和性功能的降低,使生活质量下降。

Cystoscopy of the typical patient with LS; Joshua P. Hayden, et al. Urology
LS累及尿道常起始于尿道外口,长期的病变会导致尿道粘膜及尿道海绵体损害引起排尿梗阻症状。尿道镜下检查发现病变累及的尿道粘膜呈苍白色和绒毛状,偶尔可见尿道内裂隙及溃疡。研究发现LS病变侵犯常终止于近段的球部尿道,没有侵犯前列腺部尿道的报道。临床判断有LS尿道累及的病例,必须经过尿道镜检和逆行尿道造影明确病变段尿道位置等情况,比较典型的尿道造影检查可见病变段尿道粘膜毛糙如锯齿样改变。

病例图片,来源:上海六院
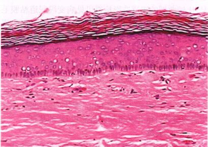
LS具有典型的组织学表现,包括青苔状间期皮炎、表皮萎缩和角化过度,伴有或不伴有表皮基底细胞层空泡变性。早期表现为基底层空泡变性,上皮下胶原的透明化,真皮上部弹性纤维减少,基底膜下血管扩张。在年长的病变, 显示透明状真皮内单核细胞数量减少,单核细胞分散成片状。

明显的上皮层过度角化,X40;图片来源于徐月敏著
LS的病因及发病机制目前仍不明确,可能的病因包括自身免疫性疾病(如斑秃、白癜风、自身免疫性甲状腺炎和恶性贫血等),遗传易感性(HLA-DQ7),感染性因素(伯氏疏螺旋体、EBV、HCV和HPV),性激素代谢异常和Koebner现象。生殖器皮肤的损伤会增加LS的风险,摩擦、珠宝的生殖器穿孔和手术也会增加LS的风险。相关研究证实LS和BMI、糖尿病、吸烟、高脂血症和高血压之间的联系。此外,尿液暴露于敏感的上皮细胞可能在LS的发病机制中起着重要作用。
与阴茎鳞癌的关系:阴茎癌可能有LS的背景,两者有明显的相关性,进展为鳞状细胞癌的男性约为2%-8%,女性约为3%-6%。虽然LS不是癌前病变,但生殖器LS患者患鳞状细胞癌的风险增加。所以,活检明确病理诊断揭示可能合并的肿瘤。
【治疗】
治疗的目的是缓解症状,防止萎缩,防止瘢痕形成,防止解剖变形,防止恶性转化。
一、一般护理
- 告知患者避免使用刺激性产品,如肥皂,可以局部使用润肤剂,如甘油。
二、药物治疗
- 以类固醇应用为主。类固醇具有抑制慢性炎症进展的作用,可以减轻早期症状。如0.05%丙酸氯倍他索,每天2次,持续使用3个月。
- 二线治疗包括外用钙调神经磷酸酶*制剂抑**和咪喹莫特。
三、外科治疗
- 包皮环切术适用于病变仅累及包皮或累及阴茎头,但无明显瘢痕和溃疡形成的包茎患者,在早期病人治疗中有非常重要的意义。
- LS累及尿道的外科治疗适用于治疗与硬化性苔藓相关的并发症,如尿道狭窄、痛性勃起等。
- 尿道外口整形:适用于伴有尿道外口狭窄者。
- 尿道重建:LS尿道外口或尿道狭窄可能再次形成狭窄,所以建议采用移植物替代技术。舌粘膜具有组织特性良好、上皮厚实、富含弹性纤维,粘膜固有层薄,移植后容易血管化易于成活,取材方便。
针对这一疾病,泌尿外科医生、妇科医生、皮肤科医生应该展开多学科合作,以提高患者和医生对该疾病的认识。治疗和长期随访是必须的。
作者:曾铭强,湖南省人民医院泌尿外科主治医师、硕士生导师;博士毕业于中南大学湘雅医院。现任湖南省健康服务业协会泌尿健康分会常务理事,湖南省医学教育科技学会青年科普创新专业委员会常务委员兼秘书长。主攻复杂性尿道狭窄和输尿管狭窄的诊治。主持湖南省自然科学基金1项、湖南省卫健委课题1项、仁术基金1项。第一作者发表SCI论文5篇。