年末了,体检的人越来越多,体检项目中基本都有拍胸片这一项,很多人看完就不明白了,就来问李医生,“医生,检查报告显示我的肺纹理增粗,我是不是患什么病了?”在此,李医生,统一回答大家:肺纹理增粗不一定是疾病!

首先你要知道什么是肺纹理?
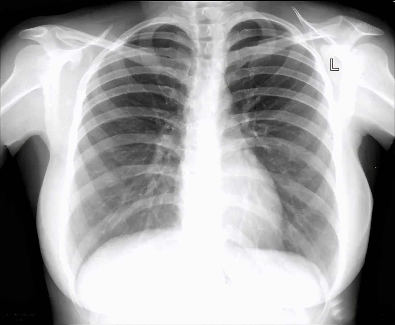
肺纹理是指从肺门向外呈现放射状分布的树枝状影。我们的肺部有很多动脉、静脉,在拍片的时候可以看到胸片上有很多像树枝一样的 经脉 ,随着逐级分支,纹理逐渐变细。
而胸片上的肺纹理就是指肺的细支气管、血管、淋巴管等等。当这些气管、血管增大时,就会显示一个肺纹理增粗。

哪些情况会导致肺纹理增粗?
肺纹理增多的情况有很多,并不一定只有疾病导致的肺纹理增粗,还有生理性变化。
生理性肺纹理增多常见于:
- 剧烈运动后、青壮年气血旺盛者、经期妇女、孕产妇等人群也会有“肺纹理增多或增重”的表现。
- 长期吸烟的人群,因为长期吸烟容易导致肺部炭末沉着症,从而也会出现肺纹理增粗。

- 也有研究表明,随着年龄增长,肺纹理也是逐渐增粗的,老年人的肺纹理就相对增多,可能是由于肺组织和功能衰退,长期吸入空气中漂浮的尘埃颗粒等导致的。
- 而且肥胖的人,由于X线吸收会增加,导致肺纹理增多。

病理性肺纹理增多常见于:
- 发热、肺炎早期、急慢性支气管炎、肺气肿,支气管扩张可表现为肺纹理粗细不均匀,而急性支气管炎因为炎症,也会引起肺纹理增粗。
- 某些心脏病或者心脏病后期(肺充血、肺淤血、肺水肿,心功能不全)。
- 淋巴性疾病,比如癌性淋巴管炎。
- 职业性尘肺病及其他呼吸系统疾病,比如矽肺。

只根据肺纹理增粗就能判断疾病吗?
当然是不可能!在体检报告中所看到的单纯的肺纹理增粗或者增重,供临床参考价值不大。这也是为什么医生会跟你说没什么大问题的原因。胸片只是给放射科医生看的,再结合患者病史、临床症状、各种化验结果,才能判断一个人是否患有疾病,以及是什么疾病。
比如如果没有任何症状的情况下,胸片显示肺纹理增粗,并没有实际意义。但如果近期有咳嗽、咳痰的情况,这时的胸片提示肺纹理增粗,就可以判断为气管炎或支气管炎。
最后,李医生要告诉大家,单纯的肺纹理增多,如果没有任何其他肺部疾病的话,不用过于担心,很可能是正常生理性增多。