最近刚给女儿补了两颗坏掉的大牙,剩余的大牙也全部做了窝沟封闭。所以特别想给大家聊聊关于孩子补牙的问题。
女儿现在4岁,到目前为止上门牙5颗缺损,大牙坏了4颗,当妈的我真是痛心不已,为了孩子的牙齿问题真是操碎了心。
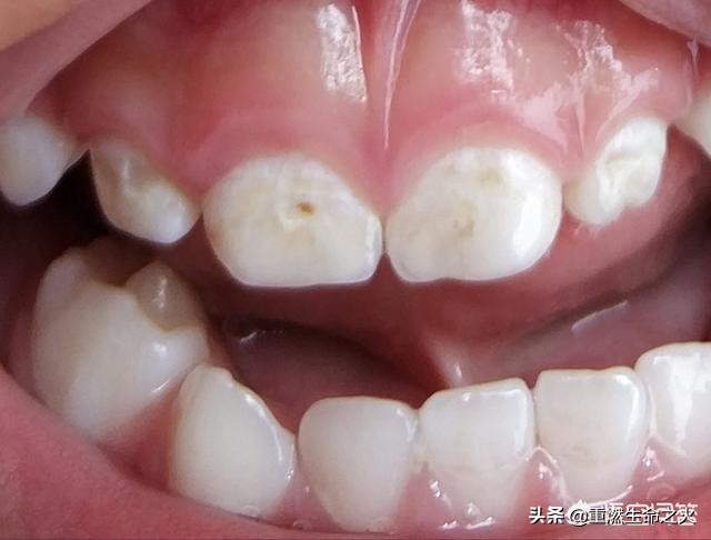
女儿大概一岁半左右的时候,我就发现她的牙齿出了问题,门牙表面出现黄斑,慢慢的变成了小坑。然后就带她去了口腔门诊(小一点的,当时也怪我没太当回事)人家说孩子太小,而且问题也不大,让回去给她坚持刷牙就行。当时就是下图这样的情况,现在特别后悔没有去儿童医院或正规的口腔医院去给孩子好好检查一下。

因为当时女儿还不到两岁,就按照口腔门诊医生说的,回去给她坚持刷牙。但郁闷的是,这并没有起到作用,孩子的的牙齿由小坑变成了大坑,然后直接掉了一块,我才意识到问题的严重。
然后和宝爸一起带她去了儿童医院,医生建议先查一下微量元素,然后再做涂氟治疗。一检查发现女儿缺维生素C,(女儿特别挑食,不爱吃蔬菜水果)医生说缺乏维C影响孩子牙本质,牙釉质不坚固,孩子牙齿更容易受到损害。如果早检查,及时给孩子补充维生素,后面长出的牙齿也许还能坚固一点,我和宝爸悔不当初。
后来就一直坚持给女儿刷牙,定期涂氟,减缓了门牙粉碎性掉落的速度,但是由于孩子牙齿质量不好,去年的时候,发现下面的大牙出现了一个小黑点,当时担心孩子补牙不配合,查了一下如果孩子不配合可能要采取束缚(就是把孩子绑到手术台上)或者全麻的方式给孩子补牙,就纠结了两三个月,没想到龃齿坏的速度太快了,小黑点很快变成了黑洞,而且正对着上面的那个大牙也出现了黑点。我和宝爸决定不能再让它坏下去了,就给女儿预约了牙医准备补牙。好在之前也做了点功课,让我万分担心的哭闹折腾场面没有出现,女儿全程还算配合。

当时补牙的时候是在过年的前几天,原本打算过几天给女儿把大牙全部做做窝沟封闭,结果又碰上疫情期,耽误了很长时间,今年又坏了两颗大牙。亏得女儿补牙过程很配合,让我省了不少心,要不然真是更头疼。
对于孩子的牙齿健康问题,给各位宝爸宝妈们一点建议:
第一、乳牙萌出的时候,就应该注意给孩子清洁牙齿,喝完奶以后如果不及时清洁牙齿,残留的奶会发酵滋生细菌腐蚀孩子牙齿,一定要坚持给孩子刷牙。
第二、如果发现孩子牙齿表面不光滑白亮,出现黄斑,一定要及时给孩子去正规的医院检查,及时做出正确的治疗。
第三:不要过分担心孩子补牙不配合,有时候孩子比我们想像的更坚强,可以适当的提前做点功课。比如我会给孩子看补牙的动画片,多多儿歌里面有一个多多医院的小游戏,其中也有补牙的游戏,可以让孩子玩玩,了解补牙的过程,等真正补牙的时候就不会太害怕了。

现在很多孩子还是由老人帮忙照顾,可能在给孩子刷牙或者补牙的时候,会遭到老人的反对不理解。比如我女儿,一开始给她涂氟刷牙的时候,很多亲人就说:吃糖太多了,少吃点糖就好了,这么小的孩子,瞎折腾什么啊。甚至女儿牙齿已经明显坏了的时候,我要去给孩子补牙的时候,还有人说:补什么呀,早晚会掉的,换了牙就好了。
我想说的是,孩子是我自己带大的,基本上很少给孩子吃糖,吃糖多了确实会引起坏牙,但不是所有的坏牙都是吃糖引起的。而且大牙换的晚,大概到十岁左右才能脱落,孩子在三岁的时候已经坏了,能坚持到十岁吗?坏到牙龈还会影响恒压的发育,满口的坏牙,影响孩子的咀嚼、食欲,甚至疼痛,为什么要放任不管呢?不管别人怎么说,我还是坚定的给孩子补了牙。
所以各位宝爸宝妈们,对于孩子的乳牙健康问题,一定要重视起来,早保护,早治疗。孩子们健健康康的,我们才能少操心。