
(点评人:空军军医大学唐都医院
脊柱神经外科李维新教授)

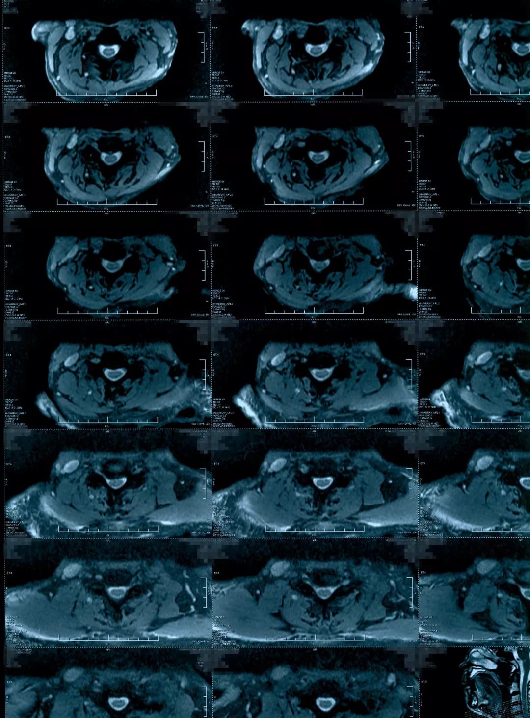
这个病人转到我们科的时候,影像上表现椎管狭窄,脊髓有长阶段的脊髓水肿信号,有黄韧带增厚,后方的间盘有轻度突出,骨质增生等等。

治疗前影像学资料

追问患者病史,他实际上在这次轻微的外伤之前,已经有肌力的减弱,轻微的外伤导致他双上肢和下肢的肌力减弱,大概只有2级左右,在当地医院简单处理之后就转到了西安某医院的神经内科。经1~2周治疗之后,没有任何好转,也在其他医院求治能否进行手术但是考虑他四肢肌力都很弱,建议转到唐都医院。

病人来了之后,给他做了仔细的查体,认为他还是炎症,由于炎症之后造成的脊髓的水肿,肌力正处于一个慢慢好转的状态,所以这种病人我们就不再做椎管减压或者后方椎管减压的手术,更多的考虑早期的炎症,后期合并有这样的创伤导致脊髓症状加重,所以就采用了内科保守治疗,用了一些改善脊髓循环的药物,请内科来会诊。

治疗后影像学资料

病人恢复得挺好,他的椎管是有一些容积减小,更主要是脊髓水肿造成的相对容积减小,如果对这种病人做椎管开大,也是能改善症状,但是毕竟病人做了一个手术,明确炎症之后做保守治疗能够恢复是更好的。明确了病因,病人本人是非常满意的,知道了自己是什么问题,最后得到了很好的治疗。

◆ ◆ ◆ ◆
第四军医大学唐都医院
脊柱神经外科开放门诊
开放门诊时间为每周一全天。
提前预约无需挂号便可以享受绿色通道,直接接受专家的诊治。
哪些病人可以在开放门诊就诊呢?
一、退行性疾病患者颈椎病,腰椎间盘突出症,颈椎间盘突出症等患者。
二、占位性病变患者
神经鞘瘤、脊膜瘤、血管瘤、皮样囊肿、表皮样囊肿、脂肪瘤及畸胎瘤、胶质瘤、侵入瘤及转移性肿瘤等。
三、脊柱畸形患者
因其他脊柱脊髓疾病引起的脊柱侧弯、后凸畸形等。
四、先天性疾病患者
小脑扁桃体下疝、隐性脊柱裂与脊髓栓系综合征、脊膜膨出及脊膜脊髓膨出、脊髓空洞症、脊髓分裂症等患者可通过开放门诊就医。
五、脊柱脊髓外伤患者颈腰胸段的脊柱骨折、脱位及其导致的脊髓损伤。
微信预约:liweixindr地址:
第四军医大学唐都医院神经内外科大楼13楼