脑出血是神经科的常见疾病,除了给予控制血压、脱水降颅压常规治疗外,合并低钠血症的处理也非常关键,补钠速度、补钠量如何计算?通过这个病例一起学习吧~
1
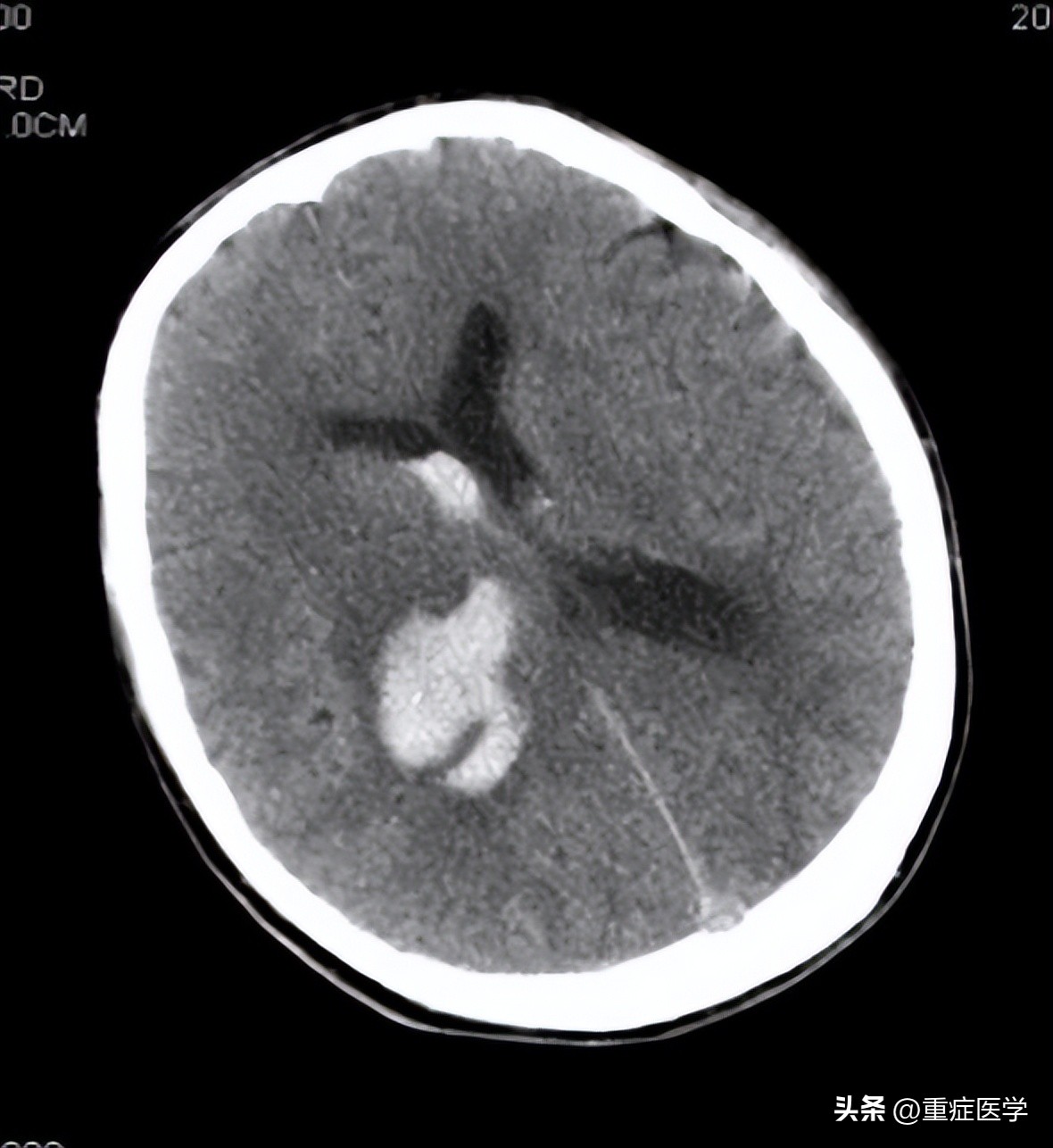
是常见的脑出血吗?
患者男性,49 岁,因「突发左侧肢体无力伴呕吐 1 天」入院。1 天前突发左侧肢体无力,伴呕吐胃内容物。无明显头痛,无抽搐,无意识不清等。
急诊就诊,当时测血压 200/100 mmHg,头颅 CT 示右侧基底节、丘脑出血,破入脑室。

图:患者头颅 CT 影像
既往史:高血压病史 2 年,血压最高 200/110 mmHg,控制欠佳。吸烟 20 年,平均 20 支/日。查体:神清,颅神经检查未见异常,左上肢肌力 3 级,左下肢肌力 4 级,左侧肢体感觉减退,左侧病理征阳性。
2
脑出血后出现低钠血症,原因为何?
脑出血是神经科的常见疾病,高血压性脑出血,给予控制血压,脱水降颅压治疗。患者病情平稳,无发热,进食可。10 天后血生化复查,发现低钠血症(钠 114 mmol/L,氯 77 mmol/L)。
低钠血症的病因诊断思路如下:

注:ECF(extracellular fluid)细胞外液
患者无明显摄入不足,无过度脱水,无明显的感染征象,需要考虑中枢性低钠血症。结合患者症状,高尿钠,脑出血的部位,考虑 抗利尿激素异常分泌综合征(SIADH)。
给予适当限水,补钠后,血钠逐步升高,6 天后复查血清钠 131 mmo/L。
最终诊断:高血压性脑出血,中枢性低钠血症,抗利尿激素异常分泌综合征。
3
有哪些神经系统疾病会出现低钠血症?
严重的中枢神经系统疾病,比如脑出血、蛛网膜下隙出血、脑外伤、脑炎、鞍区手术均会出血均可引发低钠血症。
神经危重症患者多合并肾上腺皮质功能不全,而出现低钠血症、低血压、低血糖。肺癌脑转移、副肿瘤综合征患者易出现顽固性低钠血症。
中枢性低钠血症主要包括 抗利尿激素分泌异常综合征(SIADH)和脑性盐耗综合征(CSWS)两种类型。在临床上鉴别两者对治疗和预防其并发症有着重要意义,具体鉴别点见表 1。
表 1. 中枢性低钠血症的鉴别

当临床上对两者鉴别困难或实验条件有限时,可采用实验性治疗,即 补液试验或限水试验。
- 补液试验即在密切观察病情下采用 0.9% 氯化钠注射液静脉滴注,如患者症状出现改善,则为 CSWS;如无改善,则为 SIADH。
- 在病情许可情况下,可应用限水试验,则限制液体至 700~1000 mL/d,如血浆渗透压增加,尿钠排出减少,则为 SIADH;如患者症状加重,则为 CSWS。
4
什么是 SIADH,诊断标准是什么?
抗利尿激素(ADH)是一种 9 肽激素,由下丘脑的视上核和室旁核分泌,经下丘脑-垂体束到达神经垂体后叶后释放,促进远曲小管和集合管对水的吸收。
抗利尿激素分泌失调综合征(SIADH),由于 ADH,即精氨酸加压素(AVP)分泌异常或 AVP 受体功能增强所致水潴留,稀释性低钠血症,尿钠和尿渗透浓度增高,约占低钠血症病例的 40%。
其诊断主要是排除诊断(尤其是肾上腺皮质功能不全),不建议检测 ADH 来明确诊断。
SIADH 的诊断标准见表 2:
表 2. SIADH 的诊断标准

5
低钠血症如何处理?
低钠血症的处理,基于症状的严重程度,病因治疗是根本。
总体目标为:
1)在第 1 个小时,血钠浓度增高 5 mmol/L;
2)在第 1 天,血钠浓度增高 6~8 mmol/L,增幅不超过 10 mmol/L,之后每天增幅不超过 8 mmol/L,直到血钠纠正至 130 mmol/L。
低钠血症具体处理流程见表 3:
表 3. 低钠血症的处理流程

转自:丁香园神经时间