“手术后当天就能下床活动了,身上一点伤口都没有,最重要的是肚子再也不疼了!”说起一周前在荆门二医消化内一科做的“经十二指肠镜逆行胰胆管造影(ERCP)、“无创”取石手术,“张张嘴就把胆结石‘取’了出来!”年近七旬的老刘觉得自己特别幸运,医护人员的专业技术、护理服务让他备受感动。
胆管结石——腹痛胃疼“元凶”
3月19日凌晨3点,老刘突感上腹部隐隐作痛,以为是肠胃不好、消化不良,近些年时不时地“胃疼”也就吃些消炎药。直到早晨起床时,腹痛症状消失,可谁知8点多,老刘刚吃完早饭,上腹又开始疼痛。
老刘在当地医院以“胃病”输液治疗(护胃、消炎)未能缓解,加服去痛片也无济于事,医生遂建议转院。“发冷、发抖,高烧40℃,腹部‘撕拉疼’,这种情况以前从来没有过。”老刘描述当天下午到荆门二医就诊时的情形,仍心有余悸。
荆门二医消化内一科副主任医师张林一边积极退热等对症治疗,一边急查相关指标,以明确诊断。直接胆红素48.8umol/L(参考值0-8umol/L)、谷丙转氨酶414U/L(参考值9-50 U/L)、白细胞14.28×109/L(参考值4-10×109/L)……严重异常的指标及CT确诊为“胆总管结石伴急性化脓性胆管炎”,更棘手的是在血液培养中发现了“大肠埃希菌”, 意味着老刘不仅仅是结石这么简单,感染化脓性细菌已通过血液扩散至全身,急性起病、加重快,一旦引起多脏器损伤,死亡率非常高。


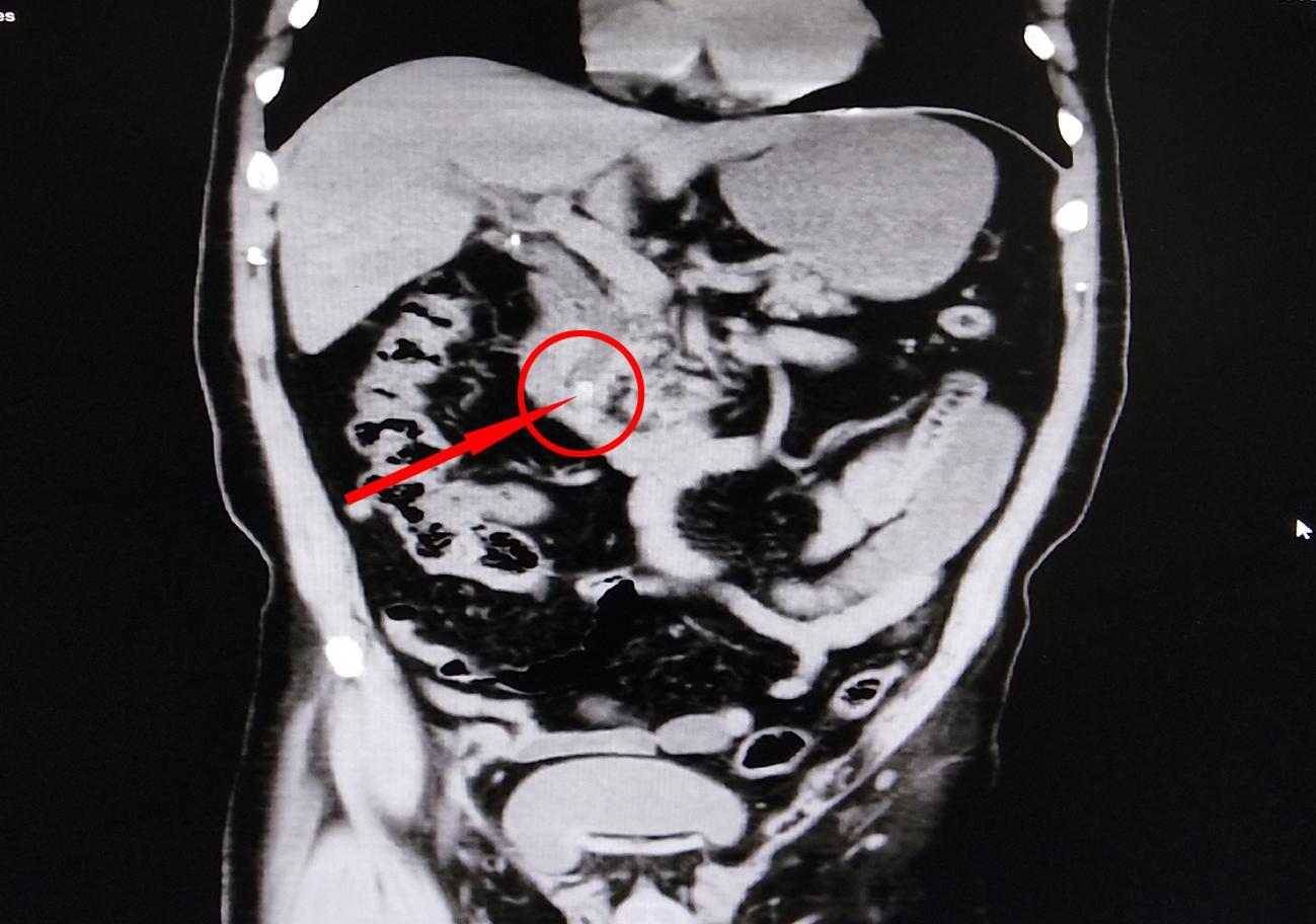
▲老刘CT影像:红圈内小白点为胆总管结石
“胆囊切除都好几年了,还会长结石?”当天下午,老刘被确诊为后“恍然大悟”,原来这些年的“胃疼”又是结石闹的。张林介绍,像老刘这样的患者并不少,由于胆结石患者疼痛的区域临近胃部,而且疼痛后常有恶心、呕吐等胃肠道反应,因此很多人会把这些症状误以为是胃病引起的。即便摘除胆囊后还会出现胆总管结石、肝内胆管结石,甚至导致炎症反应和急性化脓性胆管炎。
精准无创——内镜口中“取石”
老刘虽经历过大大小小几次开腹、微创手术,但如今年近七旬,又有冠心病、“三高”等疾病,既便是在腹部打几个洞的腔镜微创手术也恐难承受。随即,荆门二医消化内一科团队为其制订了“逆行胰胆管造影+十二指肠乳头切开取石术(ERCP+EST)”的手术方案。老刘一听可以不开刀“取”结石,当即欣然接受。

▲十二指肠镜经十二指肠乳头瘘口引流、取石(内镜下视角)
手术清除结石、控制感染成了“当务之急”。然而,因老刘长期服用阿司匹林治疗其他疾病,刚停药2天(术前需停药1周以上),贸然“取石”出血风险较高。“现患者反复出现畏寒、发热,常规的治疗并未让感染得到控制,若病情进展,可能导致感染性克、多器官功能衰竭等情况。”3月21日,先行内镜下胆道引流术,有助于缓解、稳定病情,为“取石”手术治疗赢得宝贵时间。
当日16:30,十二指肠镜经口腔、食道、胃,不到10分钟便找到十二指肠乳头处。“乳头口侧见一瘘口(结石、炎症造成的胆总管破口),有黄色胆汁流出……”张林便“就地取材”,利用瘘口将导丝送入胆管,造影明确胆总管下段充盈缺损(结石),最大直径约8mm,留置鼻胆管后完成手术。
“一来通过引流能有效控制感染,二来为下次的取石“探路”。”张林表示,接下来的几天,老刘的各项指标趋于正常,感染得到有效控制。
3月26日,老刘的各项指标趋于正常,感染得到有效控制,手术时机成熟。从麻醉、十二指肠镜进入超长、迂回且蠕动的肠道,到锁定胆总管造影、扩张瘘口后将胆总管内的结石拖至十二指肠(结石随粪便排出体外)。然后,反复清理胆道、再次造影后确认无结石残留,整个程仅70分钟,有点像做胃镜。术后,老刘感叹:“现在取结石都不用开刀了,而且身体也恢复很快,没有什么不适反应,现在的技术真的是越来越先进了。”
荆门二医消化内一科主任姜绍连介绍,目前常见的手术治疗胆结石的方法,或大或小都会在腹部留下伤口,并且需要进行胆管的切开、取石、缝合,而内镜逆行胆管造影(ERCP)是目前“无创”治疗胆胰疾病的主要手段之一。利用人体自然腔道(口腔)将内镜插入十二指肠降部,再经胆管、胰管的共同开口——十二指肠乳头反向进入并造影观察(故称为“逆行造影”),不仅能完成胆胰疾病的诊断,还能同时实施相应的介入治疗。

▲荆门二医消化内一科主任姜绍连(左)密切关注老刘术后康复情况
“与其他手术方式相比,内镜逆行胆管造影取石具有“无创”“无痛”、并发症少且康复更快、费用更低等优点,对于那些高龄、体弱而对外科手术耐受性差,或曾经做过胆囊切除术的胆总管残留结石或复发性结石的患者更为适合。”姜绍连表示,该技术因操作空间小、环境复杂,被誉为内镜技术“皇冠上的明珠”,是难度最大的内镜术式之一,也标志着荆门二医在消化内镜微创诊疗技术方面的成熟运用。(通讯员:张华 王言熙)