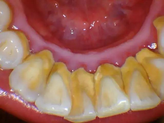
牙结石几乎每个人都有。在我国,由于国人的口腔保健意识比较淡薄,因此对于牙结石的存在,很大一部分人基本上是忽略的,认为牙结石没什么大不了的,殊不知,牙结石是牙周病菌的主要载体,由它引起的牙龈疾病往往是一发不可收拾。一般情况下,牙结石呈现出黄白色、棕色、或者黑色。
牙结石主要有两种

龈上牙结石,也叫可见牙结石,一般是覆盖在牙缝,牙背,牙根部,肉眼能看到;
龈下牙结石,也叫不可见牙结石,这种牙结石已经侵入到了牙龈下了,一般伴随有牙龈出血,肉眼不能看到。

如何判断自己是否有牙结石

1、对着镜子看,如果发现牙根,牙缝,牙背有一层黄色,棕色或者黑色的东西,一般就是牙结石;
2、如果平时刷牙或者咬食物的时侯有牙龈出血的现象,肯定是有牙结石了。
牙结石是怎么形成的,牙结石不去除对人体有什么危害?

牙结石的形成主要是人的唾液中所含的矿物质,与口腔内的酸性分泌物产生反应而来,人的生理需要决定了人每天都必须分泌大量唾液,由于唾液分泌,唾液中的矿物质具备了跟口腔酸性液体长期持续反应的条件,这种长期反应的结果,产生酸性化合物,成为牙“石”的形成原因,这些反应物很容易附着在牙齿背面,或牙龈与牙齿结合处等刷牙也难以清洁的位置,时间长了,就变成顽固难除的衍生物——牙结石。

牙结石的形成主要存在两个条件
一是口腔的酸浓度;二是赖以存在的寄生体。一旦具备了这两个条件,则不论怎样刷牙都阻止不了牙结石的产生。今天把结石洗掉了,不到30天就又重新集结出新的牙石。
牙结石不除对人体的危害主要还是取决于机体对牙石刺激反应性和修复能力,因此,有的牙病患者表现为牙结石的压迫,侵蚀致牙龈萎缩;而另一些牙病患者则表现为牙结石侵入到牙龈下,导致牙周组织遭到破坏而发生牙周炎,会出现牙龈出血、口臭、牙周溢脓、牙齿松动等症状.
牙医提醒:有效的刷牙加上牙线的使用,均可避免牙石的沉积,每半年进行一次洗牙,给口腔卫生做一次"大扫除".这样做即使到了老年您仍将拥有一口健康洁白的牙齿。