不要以为,做了烤瓷牙就一劳永逸了,尤其是早些年做了烤瓷牙的朋友,因为当时材料大多是金属内冠,再加上技术可能不太完善,在使用的过程中出现了一些问题。真情建议,当你的烤瓷牙出现以下一系列问题的时候,不要犹豫,尽快去口腔医院拆除。
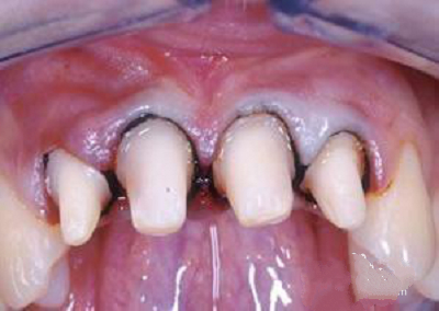
引起牙龈黑线的

这种也是佩戴烤瓷牙(镍铬合金、钴铬合金等)后最常出现的情况,因其价格低廉在当时备受欢迎,但是在长期的佩戴过程中会出现牙龈发黑的现象,这是因为非贵金属烤瓷牙在口腔内氧化成灰色氧化物,时间久了沉淀于牙龈,造成牙龈黑线,若不及时拆除,很可能会出现牙龈炎、牙周炎甚至牙齿脱落。
引起真牙蛀牙的
如果医生备牙不合格,牙齿模型不精致,烤瓷牙加工厂技术不到位,佩戴后出现边缘不密合的情况,会给细菌提供有利条件,这些细菌进入牙冠里面但是又出不来,你只能眼睁睁的看着牙齿慢慢烂完。真是赔了夫人又折兵,在这种情况下,必须拆!

未治疗好牙周疾病的情况下
一些牙医和患者在做烤瓷牙的时候急于求成,对牙龈牙周没有做一个详细的评估,比如本身有牙龈炎症,牙龈红肿、萎缩等,在没有治疗的情况下安装烤瓷牙导致一系列问题的应该尽快拆除。
烤瓷牙崩瓷
选择什么样的加工厂,患者是否粗暴对待烤瓷牙?用用就知道了,崩了会怎么样?崩瓷边缘较尖锐,会造成舌头,唇部粘膜创伤,而且崩瓷后金属外露,在长时间的食物摩擦及唾液的作用下发生化学反应,那就一个字,拆!

牙体预备失败
医生不懂怎么磨牙?也要做很多颗烤瓷牙,怎么办?把你的牙齿都磨得像老鼠牙,锥形牙,甚至牙髓外露,还要做根管,疼啊!!烤瓷牙在老鼠牙上戴不住,反复脱落,怎么解决?全连起来!!结果好好的牙磨没了,烤瓷牙还总是掉,你说能不拆吗?

烤瓷牙重做会伤害真牙吗?
重做烤瓷牙之前需要检查,看基牙是否完好,需不需要再休整,然后按照之前的做烤瓷牙的方法取模等待重新装好。
对于出现了以上这些问题的,一定要及时看牙医,尽早更换新的烤瓷牙,在医生技术有保障的情况下,个人建议选择全瓷牙,如果经济条件不允许,建议选择性价比较高的钴铬合金或者贵金属烤瓷牙,最后,后期保养很重要。

所以,在做烤瓷牙之前一定要考虑全面,也要明白烤瓷牙不是随便做,随便什么问题都可以用烤瓷牙来解决的,如果超越范围的使用或者不当的操作必然会带来不良后果。
如果觉得这篇文章不错,就请收藏或分享给好友吧。添加雅悦齿科为好友,学习更多爱牙护齿科学方法。公众号:yyck2001