真实案例:老年女性,77岁,既往5年糖尿病病史,平素血糖控制不佳。本次因“发热伴咳嗽、咳痰2周”住院,自述已阳过转阴,来住院的时候咳嗽、咳痰等症状较轻,总是发低热,午后为主,体温徘徊在36.9-37.9℃。患者的症状比较逍遥,家属一直觉的老太太的症状比较轻,老太太也觉的没什么,都以为常规住院打几天“点滴”就可以出院了。
但是经过详细的询问病史和体格检查后发现,患者的情况并非如此简单。首先患者糖尿病病史,容易受到感染或使本来的感染加重,其次患者肺部听诊满肺遍布啰音及痰鸣音(提示感染较重),最后患者的指脉氧只有82-86%(正常情况下小于93%就要重视了)。于是告知病重并给家属谈话,主要的内容就是目前病人感染较重且有加重可能,最严重的就是呼吸衰竭以及猝死可能。
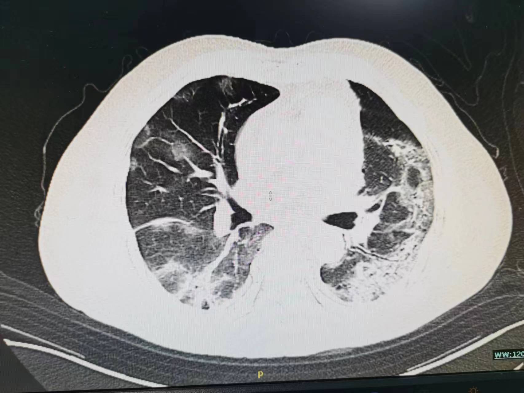
开始家属接受不了,找关系送老太太来医院是为了打“点滴”的,你给我说这个合适吗?病人的情况真有这么重吗?现在老太太不是好好的吗?于是再次向家属讲解病情,重点讲述了病人病情可能的发展并告知可能需要呼吸机,家属还是觉的不可能,查了胸部CT之后才发现病情已如此严重了,基本白肺了。这时候老太太才说这几天感觉到有点“憋的慌”,只是限于不想麻烦孩子的关系不想说,觉的忍忍就过去了。最后还是拗不过家属的要求才来医院的。

老年人阳后长期低热,肺部感染

老年人阳后长期低热,肺部感染

老年人阳后长期低热,肺部感染
一般老年人的症状不典型,如果阳后仍有长时间发热,或出现反复咳嗽、咳痰、精神状态差、食欲差等情况,建议带老人去医院做检查明确一下,比如胸部CT。不建议只是在小诊所输液治疗。这里给大家一个小建议:除了家中常备退热等药物外,建议自备一个指脉氧仪可以随时检测指脉氧,尤其是家中有老人而且伴有高血压、糖尿病等基础病的!!