牙龈是在牙齿周围以及牙槽骨上富有韧性的淡红色结构。它有丰富的血管,并且无法移动。
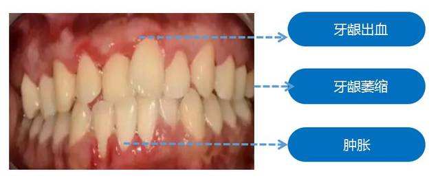
有时我们照镜子会发现,自己的牙齿变的细长,肉眼可以见到包裹牙齿的"红肉"向下消退,这就是牙龈萎缩现象。
牙龈萎缩早期可以说进行的潜移默化不痛不痒,但需要知道,这种情况已经出现就不可逆转。牙龈是牙科公认的很难修复的口腔组成部分。
牙龈萎缩到明显的感受到牙齿异样,是一个比较长的过程。这个过程可能患者并不会有什么不适感,所以很多人都选择了忽略,其实牙龈萎缩是非常需要重视的口腔问题。

严格意义上讲牙龈萎缩应该是一种症状,因为就算口腔健康,随着年纪的增大,牙龈乳头也会出现退缩现象,严重的牙周病导致的牙龈萎缩才算一种疾病。
这种症状主要来自于我们的牙周疾病,和不良的生活习惯:
第一,不合理的选择牙刷和使用牙刷,长时间就会影响牙龈使其发生萎缩。例如,用很大的力气刷牙,刷牙方向和方法不正确。
第二,不合理的使用剔牙产品,会导致牙龈萎缩的情况出现。
第三,如果在治疗口腔问题时做了不合适的操作,或者佩戴质量不是很好的假牙,都有可能导致牙龈萎缩问题。
第四,日常生活中对口腔清洁如果疏于管理,引起牙周疾病,就会导致牙龈萎缩。
第五,老年人身体机能下降,出现牙龈衰老萎缩的情况。

牙龈退缩本既然是疾病的外在表现,就肯定对身体产生各方面不良的影响
首先,牙龈退缩严重的患者,日常饮食都是很困难的,牙齿出现松动,咬合力会急剧下降。
其次,牙齿会有一段牙根暴露在外,容易对冷热反应敏感,降低牙齿的防蛀能力。
再次,牙龈萎缩之后,原本包围在内的牙根和牙周组织都会被暴露出来,引发牙周疾病。形成一个恶性循环。
最后,牙龈萎缩也可能在告诉我们,身体可能已经有了别的问题。

牙龈萎缩被患者不得不重视时,往往已经不是刚开始的阶段。我们常说每一个人都要保持暗示定期检查牙齿检查口腔问题的习惯。因为这样就可以很及时地发现包括牙龈萎缩在内的口腔问题。
可以说,任何口腔问题都是越早治疗效果越好。
- 牙龈萎缩的初期,我们通过医疗手段给牙龈去除刺激,构建一个健康的牙周状态,牙龈是很可能自行恢复到比较自然健康的状态的。

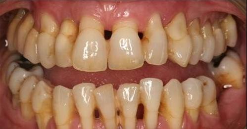
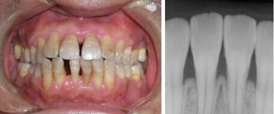
- 牙龈萎缩的中期,我们可以用药物等手段帮助患者将牙龈萎缩的情况减轻缓解和控制,至少可以叫患者不会因为牙龈萎缩的问题影响用牙。但是这个阶段的牙龈已经无法恢复成它最初的样子了。

- 牙龈萎缩的晚期,想要将牙龈恢复到健康状态就几乎不可能了。如果牙齿已经出现了松动,甚至有将要脱落的迹象,有时即使通过治疗也无法保住病牙。
通常情况,我们对牙龈问题的治疗都是以重新构建健康的牙周环境为出发点,治疗或者改善牙周疾病为主要方法。争取给患者一个健康的牙周环境,一个健康的牙龈。

如果患者对牙龈的修复问题要求很高,我们也确实有一些尚未特别成熟的牙龈修复处理方式,例如使用有弹性的假牙龈,或者膜龈手术。
其实牙龈萎缩问题是可以被避免的。只要我们在生活中要保持清洁的口腔环境;定期检查和治疗各种牙周和口腔疾病;提升自己的生活质量;治疗导致牙龈萎缩的其他身体问题。
作为医生最后也要给所有朋友一个忠告:请善待自己的牙齿和口腔,把能避免的问题全部都"扼杀在摇篮里"。

我是牙科医生黄征难,35年从业经历,如果你有任何口腔问题,欢迎关注后在主页私信咨询,或评论留言!可以私信牙片,我来帮你免费问诊!