为帮助广大临床医生更为合理地采用阿美替尼治疗从而更好地发挥药物治疗作用,小编整理了阿美替尼II期APOLLO试验中的10个病例,并邀请相应的研究中心PI进行诊疗点评,以期更好帮助各位同道规范合理使用阿美替尼。
本期病例说邀请广州医科大学附属第一医院张亚雷教授分享,梁文华教授点评。

Part 1 基本信息
病史资料
患者:女,57岁
主诉:反复咳嗽咳血丝痰1个月,既往体健,无吸烟史,无肿瘤家族史。
辅助检查
√ 2016-6-23
胸腹部CT诊断:
1.考虑右中肺肺癌并两肺多发转移瘤,右肺门、纵膈淋巴结转移。
2.左肾下极小囊肿;余上腹部CT平扫及增强未见明确病变。

胸部CT显示:右中肺肺癌并两肺多发转移瘤,右肺门、纵膈淋巴结转移。
头颅MRI诊断:
1.考虑双侧额叶、左侧顶叶皮层多发转移瘤,双侧侧脑室前角及胼胝体膝部受压。
2.右侧筛窦少许炎症。

脑部MRI显示:双侧额叶、左侧顶叶皮层多发转移瘤,双侧侧脑室前角及胼胝体膝部受压。
√ 2016-6-27
右中肺肿物穿刺活检术:肺浸润性腺癌。免疫组化:TTF-1(+)、ALK(-)、ALK阴性对照(-)、c-Met(++)、ROS1(-)
√ 2016-7-1
基因检测(ARMS-PCR法)
• EGFR Ex19del、L858R(弱阳性)
• KRAS基因无突变
临床诊断
右中肺浸润性腺癌并双肺、脑转移 IV期
基因突变状态:EGFR(+)、 ALK(-)、 KRAS(-)
Part 2 治疗经过
一线治疗:厄洛替尼
√ 2016-7
厄洛替尼 150mg qd治疗,最佳疗效PR。
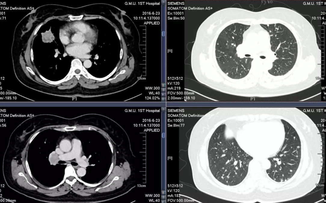
厄洛替尼一线治疗患者CT随访

胸部CT显示:右中肺靶病灶最佳疗效PR。
厄洛替尼一线治疗患者MRI随访

脑部MRI显示:厄洛替尼治疗6个月期间右侧额部病灶持续缩小至PR。
√ 2018-7
治疗期间疗效持续PR,2018.05胸部CT显示右中肺病灶增大,提示疾病进展,持续服用厄洛替尼至7月,PFS1=2年

胸部CT显示:在2018.04.03右中肺靶病灶略增大,5.25 CT示持续增大。
二线治疗:阿美替尼
√ 2018-7-30
参与HS-10296 Ⅱ期临床研究筛选。
√ 2018-8-2
再次进行EGFR检测:T790M突变、Ex19del。
再次支纤镜活检进行基因检测:T790M突变(+)、Ex19del。
√ 2018-8-10
口服阿美替尼,110mg,qd,最佳疗效PR,PFS2 > 20个月。耐受性较好。
阿美替尼二线治疗患者CT随访


胸部CT显示:阿美替尼治疗1个月后,疗效达到PR,且后续治疗过程中,病灶持续好转。
阿美替尼二线治疗患者MRI随访


脑部MRI显示:阿美替尼治疗1个月后,脑转移病灶稍缩小,且后续治疗过程中,疗效SD稳定至今。
阿美替尼治疗过程中的不良反应
- 皮疹1级
- 甲沟炎1级
- 贫血1级
- 转氨酶升高 1级
- γ-GGT升高 2级
Part 3 病例小结
4点总结:
1. 2016.06.27 该患者临床诊断为:右中肺浸润性腺癌并双肺、脑转移 IV期,基因检测结果:EGFR(+)、 ALK(-)、 KRAS(-)。
2. 2016.07 一线治疗:患者口服厄洛替尼,最佳疗效PR,PFS1=2年。
3. 2018.08.02 再次EGFR基因检测,T790M突变19外显因子缺失。
4. 2018.08.10 二线治疗:患者口服阿美替尼,肺部病灶最佳疗效PR,脑转移SD稳定至今,PFS2 > 20个月。耐受性较好,2级不良反应仅γ-GGT升高。
Part 4 专家点评
1.该例患者为一例EGFR Ex19del脑转移案例,接受一代EGFR-TKI治疗,最佳疗效PR,PFS1达到2年,超过人群的中位PFS。尽管当时NGS大panel检测尚未流行,按照疾病进程推测,此患者属于单纯19del不合并其他共同突变,因此耐药后出现后续EGFR靶点再激活的T790M耐药机会较大"。
2.该例患者耐药后再次组织活检,确认T790M耐药。积极组织活检,可以降低假阴性,避免错失使用三代TKI的机会。
3.该例患者使用三代EGFR-TKI阿美替尼实现肺部和脑部病灶长期持续缓解,PFS2超过20个月。体现了阿美替尼作为三代TKI疗效的三大特点,有效克服T790M耐药,EGFR通路的强抑制,良好的脑部渗透。
