文/羊城晚报全媒体记者 张华 通讯员 魏星图/医院提供
最近的广州,倒春寒加连绵春雨,增添了很多寒意。25岁刚生完二孩的张女士,因频繁呕吐两周、伴随头晕、走不稳等症状,转到广州市第一人民医院神经内科,没想到转入后突然出现心跳骤停,全身紫绀……
突如其来的变化,让家属不知所措,而广州市第一人民医院神经内科重症监护室(NCU)的医护人员训练有素,迅速反应参与抢救,沉稳熟练地一边进行心肺复苏,一边紧急给患者进行纤支镜经鼻气管插管术及建立补液通道,两分钟后,张女士恢复了心跳和呼吸,当天即恢复了意识。要知道,大脑缺血6分钟就有导致不可逆脑损伤的可能。

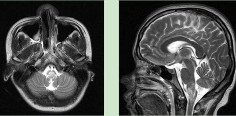
延髓病变,脑血管正常
然而,张女士入院时的磁共振提示:延髓病变。延髓是生命指挥中枢,虽然张女士生命挽救过来,但因延髓病变导致四肢瘫痪、呼吸肌无力,却使之一时无法脱离呼吸机。
到底是什么病如此凶险?
广州市第一人民医院神经内科主任医师余健敏介绍,张女士转入NCU的第二天,确诊为视神经脊髓炎谱系疾病-极后区综合征。原来,为了尽快明确诊断病情,能够给予有效治疗,医务人员抽丝剥茧,迅速制定多项针对性措施。
首先为病人进行详细病史采集,尤其针对可能会接触到的感染源,或既往患者忽略的反复症状;同时进行详细的体格检查以及脑电图、CT、血液检测、血常规等检查,甲状腺功能正常,但甲免异常,肝功能异常,胆红素正常。抗核抗体(ANAs)3.766、抗SSA 抗体(+)。

患者进行血浆置换治疗中
炎症性?免疫性?代谢性?肿瘤性?鉴别诊断胶着了。仍然不能排除神经系统感染、神经免疫疾病、代谢性疾病。丰富临床经验的NCU医生迅速为病人完成腰椎穿刺术,脑脊液NGS结果阴性,结合脑电图感染性疾病基本排除。血清和脑脊液抗体提示AQP4(+)。最终曙光显现,在转入NCU第二天确诊,为视神经脊髓炎谱系疾病-极后区综合征。
据了解,视神经脊髓炎谱系疾病(NMOSD)是一组自身免疫介导的以视神经和脊髓受累为主的中枢神经系统炎性脱髓鞘疾病。2020年中国发布了基于住院登记系统的数据,NMOSD发病率约为0.278/(10万人·年),儿童0.075/(10万人·年),成人0.347/(10万人·年)。NMOSD见于各年龄阶段,以青壮年居多,平均发病年龄约40岁;女性患病多发。常用激素冲击、血浆置换、人免疫球蛋白冲击、单克隆抗体药物及免疫*制剂抑**序贯治疗等。

鼓励患者积极治疗,帮助患者呼吸康复治疗中
确诊后,余健敏医生团队第一时间为患者实施针对性治疗:激素冲击治疗及血浆置换术。治疗过程中,张女士一度出现情绪极度低落,甚至拒绝配合治疗。NCU医护人员耐心给患者解释病情,细心护理,神经内科心理专科医生也马上介入,辅助给予张女士与病魔抗争的力量。

患者康复顺利出院
功夫不负有心人,年轻妈妈张女士最终康复出院,回归温暖的家庭,两个孩子也重回妈妈温暖的怀抱。
了解更多