透明隔腔缺失的后果 (透明隔腔影像及临床意义)

原文来源:现代医学影像网 (本文仅供大家交流学习)

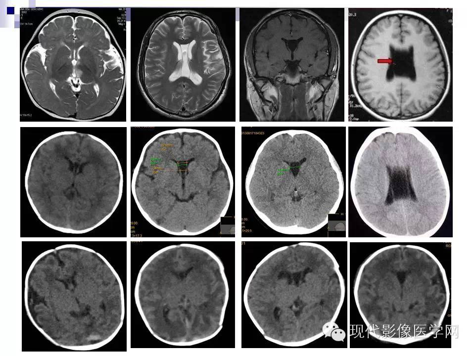
透明隔缺失影像学表现,透明隔腔影像

透明隔缺失影像学表现,透明隔腔影像

透明隔缺失影像学表现,透明隔腔影像

透明隔缺失影像学表现,透明隔腔影像

透明隔缺失影像学表现,透明隔腔影像

透明隔缺失影像学表现,透明隔腔影像

透明隔缺失影像学表现,透明隔腔影像

透明隔缺失影像学表现,透明隔腔影像

透明隔缺失影像学表现,透明隔腔影像

透明隔缺失影像学表现,透明隔腔影像

透明隔缺失影像学表现,透明隔腔影像

透明隔缺失影像学表现,透明隔腔影像

透明隔缺失影像学表现,透明隔腔影像

透明隔缺失影像学表现,透明隔腔影像

透明隔缺失影像学表现,透明隔腔影像