邓博 程双平 汤善宏
西部战区总医院消化内科
编者按: 为了帮助临床肝病医生扩宽视野、丰富实践,培养临床思维能力,《国际肝病》特邀请 西部战区总医院消化内科汤善宏教授团队 共同打造 “Liver疑难病例”专栏 。本栏目汇集了汤善宏教授团队多年临床诊治工作中所遇到的“经典病例”,同时也将定期搜集知名学术期刊所刊发的或复杂或罕见的临床病例,重点阐述各种肝病的诊疗思路,为广大同道提供宝贵的临床借鉴。
主题述评
黑热病(Kala-azar,或Black Fever),又名内脏利什曼病(Visceral Leishmaniasis),是由杜氏利什曼原虫经白蛉叮咬感染所引起的慢性地方性传染病[1]。黑热病在全球流行,主要分布于中国、印度北部和中东地区。黑热病的临床表现无明显特异性,主要累及单核巨噬细胞系统,常以发热、肝脾肿大、全血细胞减少等表现为首发症状,易与消化、血液系统等疾病混淆。本文主要报道西部战区总医院消化内科诊治1例不明原因发热、肝脾肿大、门脉高压的黑热病患者,为该类患者诊治提供借鉴。
病例简介
患者,男性,57岁,因“皮肤黄染1月余,发热、盗汗1周”,于2016年11月1日入外院。发病前在*疆新**阿里数月牧区生活史,否认既往有慢性肝病史、乙型病毒性肝炎家族史及近期毒物接触史。
患者于院外查肝功能:ALT 62 U/L、AST 64 U/L;乙肝五项未见异常,考虑肝损伤,予以口服药物保肝治疗(具体不详)后好转出院。2016年11月11日复查肝功能未见异常。12月12日,患者开始出现发热、最高体温38.5℃,以夜间明显,白日偶有潮热,夜间盗汗。查血常规提示: 白细胞2.0×109、血红蛋白87 g/L、血小板63×109/L。
查腹部彩超:①肝测值增大,实质回声增粗,门静脉增宽;②肝内稍强回声结节(血管瘤? ),肝囊肿;③胆囊壁毛糙;④脾大,脾静脉增宽。腹部CT平扫(未见报告单): ①肝脏体积增大,实质密度均匀降低;②胆囊未见确切显示;③脾脏体积明显增大,左肾及胰腺体尾部受压。
当地医院建议患者行脾切除手术,患者拒绝后出院。
入院检查:
患者于2016-12-19转至西部战区总医院消化内科。入院查体:皮肤巩膜轻度黄染,脾大,肋缘下四横指,肝肾区无叩击痛,质硬,无结节及触痛;移动性浊音阴性,肠鸣音4次/分,双下肢无水肿。
患者入院后查肝功能:总蛋白62.10 g/L、白蛋白25.30 g/L、白球比例0.69、前白蛋白71.00 mg/、TBI:7.80 μmol/L、AST:55.90 IU/L、γ-GT:60.20 IU/L、ALP:184.90 IU/L、血沉:55 mm/h;CRP:44.43 mg/L;IgG 30.20 g/L、IgM 3.21g/L。血常规:白细胞1.44×109/L、红细胞3.63×1012/L、血红蛋白94 g/L、血小板86×109/L。凝血四项:正常。肿瘤标志物:正常;传播九项、大便常规、结核抗体、自身免疫性抗体均未见异常。
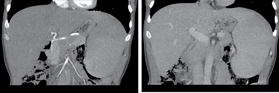
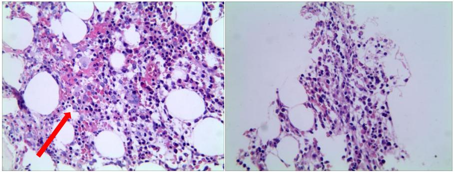
完善腹部CT提示:①肝脏体积增大,肝右叶邻近胆囊底区类圆形低密度影,增强后未见明显强化,多系肝囊肿可能,其他不除外;②脾大,增强后脾脏强化欠均;③门脉直径增宽(图1)。2016年12月22日行骨髓穿刺示:环片一周易见利杜氏小体,异型淋巴细胞病(图2)。肝穿刺活检:肝组织结构大致正常,肝窦吞噬细胞增多,少数肝细胞及吞噬细胞内见较多颗粒样微生物沉积,考虑黑热病或组织胞浆菌病(图3)。

图 1.增强CT图像:动脉期(左),门脉期(右)

图2.骨髓穿刺示:环片一周易见利杜氏小体,异型淋巴细胞病

图3. 肝脏穿刺活检:肝组织结构大致正常,肝窦吞噬细胞增多,少数肝细胞及吞噬细胞内见较多颗粒样微生物沉积,考虑黑热病或组织胞浆菌病
诊治经过:
该病例发病前有疫区冶游史;血常规示三系降低、肝脾肿大,肝脏与骨髓穿刺符合黑热病特点,因此诊断考虑:黑热病。给予保肝、输白蛋白、纠正贫血及葡萄糖酸锑钠注射液治疗后,未再出现发热、盗汗症状。患者无自觉不适,复查相关指标明显好转出院。
此后患者仍偶有发热,症状复发,体温最高达37.6℃。于2017年10月16日来院复查,我院血常规: 白细胞计数2.51×109/L、红细胞计数3.92×1012/L、血红蛋白浓度103 g/L、血小板计数83×109/L;肝功:总蛋白94.60 g/L、白蛋白32.60 g/L、球蛋白62.00 g/L、白球比例0.53、前白蛋白141.00 mg/L、AST 45.50 IU/L、碱性磷酸酶195.6 IU/L、总胆汁酸22.30 μmol/L、IgG 58.20 g/L。完善相关检查,再次行骨髓穿刺涂片及肝穿活检,均提示查见利什曼小体,明确黑热病复发。给予葡萄糖酸锑钠 6 ml 肌注1次/日,治疗期间患者出现腹痛、发热,考虑腹腔感染可能,给予注射用拉氧头孢钠抗感染及保肝等治疗。
2017年11月2日复查血常规示:白细胞计数144×109/L、血红蛋白浓度83 g/L、血小板计数112×109/L,肝功:白蛋白27.20 g/L、球蛋白54.30 g/L、白球比例0.50、前白蛋白151.30 mg/L、AST 52.20 IU/L、碱性磷酸酶128.50 IU/L,后患者病情逐渐好转后出院。
患者出院后发热、盗汗等症状再次复发,在外院给予两性霉素B,起始剂量为0.5 g/天,逐渐加大剂量至7 g/天,经治疗21天后症状逐渐好转后出院,家中自行服用胸腺肽2个月后停止用药。2023年4月电话随访,患者家属回忆经两性霉素B治疗后,患者肝脾逐渐恢复正常,未再发病,提示痊愈。
专家点评
利什曼病与锥虫病、丝虫病、血吸虫病、盘尾丝虫病等相同,是容易被忽视的全身性寄生虫感染的热带病[2],其主要分为内脏型、皮肤型、淋巴结型,其中 以内脏型最常见 ,皮肤型有散发的报道但较为少见,在欧洲发病率仅为3%[3]。
当前,黑热病主要依据流行病学史、临床表现以及免疫学检测和病原学检查(骨髓穿刺和肝脏穿刺)进行诊断, 我国关于黑热病的诊断标准 为[4]:
①流行病学史:利什曼病流行区内的居民,或在流行区有生活工作史。②临床表现:长期不规则发热,脾脏呈进行性肿大,肝脏轻度或中度肿大,白细胞计数降低,贫血,血小板计数减少或有鼻出血及齿龈出血等,有时可伴有淋巴结肿大。③血清学检查:rK39抗体阳性,或利什曼原虫乳胶凝集试验阳性。④病原学检查:诊断的金标准为在骨髓、脾或淋巴结等穿刺物涂片上查见利什曼原虫,或穿刺物培养阳性。
利什曼原虫可在人体内不断繁殖,引起肝脏网状细胞系统大量增生,导致淋巴结和肝、脾肿大。全身性炎症导致产生大量浆细胞,促使γ-球蛋白水平升高,加之肝脏合成功能受损,白蛋白减少,使白球蛋白比例倒置[5]。
本例患者以“皮肤黄染,发热、盗汗”为主要症状,既往有*藏西**阿里地区居住史,同时伴不明原因的反复发热,查体发现有脾大,肋缘下四横指;腹部CT提示肝脏体积增大、门脉直径增宽;血常规示三系减少、低白蛋白、白球比例倒置、CRP升高、梗阻酶升高、肝酶升高等。在排除肝硬化、结核感染、自身免疫等其他可能的原因后,经骨髓穿刺和肝脏穿刺证实,考虑诊断为黑热病。
由于利什曼原虫感染具有显著的临床异质性,目前 我国最常用的抗利什曼原虫的药物是葡萄糖酸锑钠 ,为五价锑衍生物,在人体内先还原为三价锑,以抑制原虫的活动和繁殖,原虫最后被网状内皮系统消除;但锑剂治疗耐药或治疗无效的病例也时有报道[6]。
早在二十世纪,国际上便推荐使用两性霉素B作为利什曼原虫的一线治疗药物,其作用机制为通过与敏感真菌细胞膜中的麦角固醇相结合, 损伤细胞膜的通透性, 导致细胞内重要物质如钾离子、核苷酸等外渗, 破坏细胞的正常代谢, 从而抑制其生长。但其出现低钾血症、肾功能损害、过敏等并发症较多,使临床医生在使用时较为谨慎,而近年来出现的两性霉素B脂质体较普通两性霉素B不良反应小, 且其药代动力学以及疗效均优于普通两性霉素B,但由于价格较高,目前国内关于其报道较少。
印度此前的研究表明,应用 两性霉素B脂质体的患者在30天均出现了明显的治愈反应 ,6个月治愈率高达95.7%[7]。药品说明书中推荐的临床用法为:起始剂量0.1 mg·kg-1·d-1,滴速不得超过30滴/min,如无明显不良反应,第2日开始剂量增加0.25~0.50 mg·kg-1·d-1,逐日递增至维持剂量1~3 mg·kg-1·d-1。
本例患者确诊黑热病时,出现反复高热、肝脾肿大、门脉高压、肝脏生化指标异常等,使用了葡萄糖酸锑钠治疗后好转,但出院后间断发热;再次入院后,先使用葡萄糖酸锑钠发现耐药,后于外院使用两性霉素B,起始剂量为0.5 g/天,逐渐加大剂量至7 g/天,治疗21天后症状逐渐好转后出院;家中自行服用胸腺肽2个月后停止用药。2023年4月电话随访,患者家属回忆经两性霉素B治疗后,患者肝脾逐渐恢复正常,未再发病,提示痊愈。
我国于二十世纪末期基本消灭黑热病,近年来报道越来越少,目前临床医生对其缺乏一定认识,但在四川等地区仍有零星病例报道。 临床遇到不明原因发热、肝脾大、梗阻酶明显升高等病情的患者,尤其是有疫区冶游史患者,应动员及时行肝穿刺及骨髓活检术 ,加强肝穿刺活检对于提高肝脏疾病诊治水平具有重要意义,实现早发现、早确诊、早治疗,以此改善患者预后,减少并发症的发生。
参考文献:
[1] 贾庆雨, 陈茂伟 广. 广西1例输入性皮肤利什曼原虫病病情资料回顾 [J]. 中华地方病学杂志, 2017, 36(8): 605.
[2] MATLASHEWSKI G, ARANA B, KROEGER A, et al. Visceral leishmaniasis: elimination with existing interventions [J]. The Lancet Infectious diseases, 2011, 11(4): 322-5.
[3] VAN DER AUWERA G, DAVIDSSON L, BUFFET P, et al. Surveillance of leishmaniasis cases from 15 European centres, 2014 to 2019: a retrospective analysis [J]. Euro surveillance : bulletin Europeen sur les maladies transmissibles = European communicable disease bulletin, 2022, 27(4).
[4] 《中华传染病杂志》编辑委员会. 中国利什曼原虫感染诊断和治疗专家共识 [J]. 中华传染病杂志, 2017, 35(9): 513-8.
[5] 张磊, 张雯, 陈社平, et al. 骨髓细胞形态确诊黑热病4例回顾分析 [J]. 检验医学, 2021, 36(10): 1015-7 %@ 673-8640 %L 31-1915/R %W CNKI.
[6] 陈生邦, 杨成明, 张丑吉, et al. 国产两性霉素B治愈抗锑性内脏利什曼病1例 [J]. 中国寄生虫学与寄生虫病杂志, 2007, (03): 156 %@ 1000-7423 %L 31-1248/R %W CNKI.
[7] SUNDAR S, CHAKRAVARTY J, AGARWAL D, et al. Single-dose liposomal amphotericin B for visceral leishmaniasis in India [J]. The New England journal of medicine, 2010, 362(6): 504-12.

撰稿人
邓博,成都医学院2022级消化内科硕士研究生在读,主要研究肝再生、肝衰竭等方向的课题。

撰稿人
程双平,西部战区总医院消化内镜中心主治医师。熟练掌握胃镜、肠镜操作,熟练掌握内镜下息肉切除、内镜下止血、食管支架安置、内镜下营养管、肠梗阻减压管安置术、异物取出等治疗。熟练掌握食管静脉曲张的套扎术、硬化剂注射术及胃静脉曲张组织胶注射术等内镜治疗。熟练掌握EMR、ESD微创手术操作技能。
审稿人
汤善宏,西部战区总医院消化内科主任