
主编按语·樊青霞教授
全球食管癌的发病率和死亡率分别占全部恶性肿瘤的第7位和第6位,每年约有45万新发病例。我国处于东亚食管癌高发区,食管癌新发病例和死亡病例都占全球一半以上。早期食管癌的临床症状不明显,难于发现,大多数的患者确诊时已是局部晚期或远处转移,患者5年生存率不足30%。东西方人群病理类型上存在巨大差异,我国食管癌以鳞癌为主,约占90%,而欧美以腺癌为主,占70%左右。此外在病因、遗传、生物学行为、治疗反应及生存预后等方面也存在诸多不同。我国食管癌在治疗上参考的指南及循证医学证据多来源于西方基于腺癌为基础的临床研究,并不能切实指导我国食管鳞癌的诊治,而我国现代循证医学研究相对较晚,临床上重经验、轻循证,前瞻性研究开展较少,缺乏高级别的循证医学证据指导临床实践。所以亟需开展大样本全国多中心随机对照研究,以丰富食管鳞癌诊治规范和指南。近几年,随着新药如免疫检查点*制剂抑**、放疗新技术如三维适型调强、微创外科如机器人手术、全程营养支持治疗的临床应用,食管癌的综合治疗模式不断丰富,综合治疗水平不断提高,患者5年生存率不断改善。但我国仍存在地区间和医院间食管癌诊治技术水平参差不齐的状况。为提高患者生存率,有必要切实开展:(1)早期诊治,尤其在食管癌高发区、高危人群中筛查;(2)基于TNM分期的规范化治疗,在临床实践中丰富、发展、推广规范和指南;(3)基于MDT多学科的个体化治疗,做到专业互补、全程管理、精准诊治。郑州大学第一附属医院食管癌多学科团队在资深专家樊青霞教授带领下,取得了突出的成绩,在食管癌综合诊治上走在全国的前列,『医悦汇』诚邀樊教授团队分享食管癌综合诊治的经验。
本期执行主编

樊青霞
郑州大学第一附属医院、教授、主任医师、博士生导师、中国临床肿瘤学会(CSCO)理事、中国抗癌协会食管癌专业委员会常委、中国医促会中医肿瘤防治分会常委、河南省抗癌协会常务理事、河南省抗癌协会学术部部长、河南省肿瘤防治联盟主席、河南省抗癌协会肿瘤药物临床研究专业委员会主任委员、河南省抗癌协会食管癌专业委员会名誉主任委员。
第五期

龚帅
肿瘤学博士,主治医师、2011年毕业于郑州大学医学院 临床医学七年制,2015年毕业于郑州大学医学院肿瘤学专业, 曾于MDAnderson肿瘤研究中心学习、河南省抗癌协会肿瘤药物临床研究专业委员会委员、河南省老年学会肿瘤专业委员 会青年专家委员会委员。

周然
郑州大学第一附属医院、肿瘤科、主治医师 、河南省抗癌协会肿瘤化疗专业委员会青年委员、河南省抗癌协会神经内分泌肿瘤专业委员会青年委员、河南省抗癌协会肿瘤药物临床研究专业委员会青年委员、河南省食管癌专业委员会青年委员。
病例资料:
患者魏XX,男,65岁
2017.09因“声嘶”就诊于当地医院,无咳嗽、咯痰、吞咽困难、头痛、四肢活动障碍等不适。喉镜示:右侧声带麻痹。甲状腺彩超未见明显异常。颈部CT未见明显异常。胸部CT示:1.双肺陈旧性病变;2.主动脉及冠状动脉粥样硬化。胃镜示:慢性浅表性胃炎。未治疗。10天后出现吞咽不畅,伴饮水、进食呛咳,为进一步治疗至我院。
检查:
1、颈部CT(2017.09.03)

平胸廓入口处食管上段可见软组织肿块,大小约36mm*27mm,脂肪间隙欠清晰,增强呈中度强化,局部向气管内突出,食管及气管受压偏左
2、消化内镜(2017.09.03)

食管距门齿16-20cm可见偏心性缩窄,黏膜灰白色,普通内镜无法通过,换鼻内镜可顺利通过,活检4块。
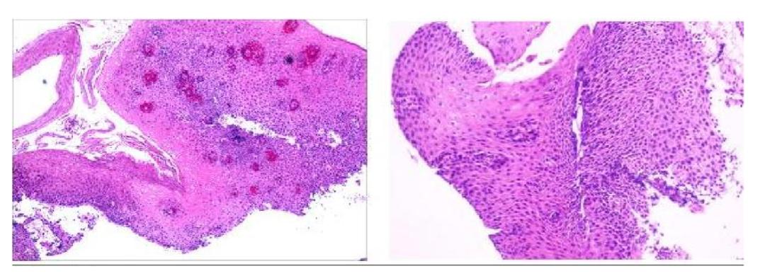
3、活检病理(2017.09.05)

(食管活检)黏膜慢性炎伴鳞状上皮单纯性增生,局灶鳞状上皮中度异型性增生,请结合内镜所见,必要时再取活检。
4.彩超引导下甲状腺后方实性占位穿刺病理(2017.09.07)

病理诊断:(甲状腺后方穿刺活检)鳞状细胞癌浸润或转移
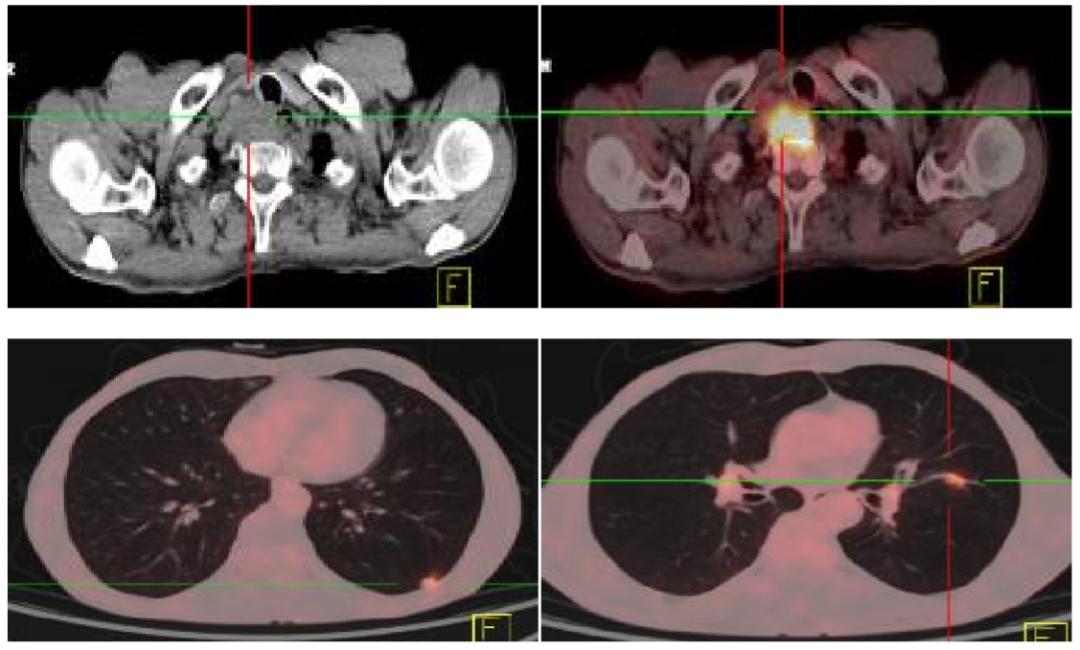
5.PET-CT(2017.09.11)

右侧颈部不规则软组织肿块代谢活跃,符合恶性病变,考虑食管来源伴周围淋巴结转移可能性大;双肺多发高密度结节代谢活跃,考虑转移。
因患者近期已行3次胃镜检查,拒绝再次胃镜检查,根据相关检查结果,初步诊断:食管上段鳞癌,颈部淋巴结转移、肺转移(cTxN+M1 IVB期)
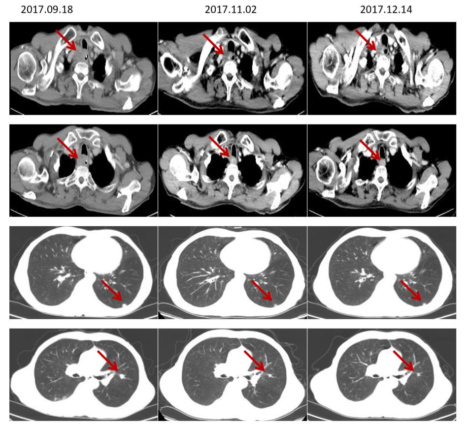
于2017-9-19、2017-10-11、2017-11-3、2017-11-24、2017-12-16、2018-1-12按“紫杉醇+奈达铂”方案化疗6周期,临床疗效评价为PR。

于2018.01.23-2018.03.06在安阳市肿瘤医院行颈部根治性放疗,剂量:60Gy/30d。
2018.06入院复查疾病进展(食管上段占位,较前相仿;双肺多发结节,较前增大、增多,考虑转移),病理补做免疫组化:PDL-1 (5%弱+)。筛选入组“在一线治疗失败的晚期/转移性食管鳞癌受试者中比较IBI308与紫杉醇或伊立替康治疗有效性和安全性的随机、开放、多中心、II期研究(ORIENT-2)”的临床试验。入IBI308组,于2018.06.27、2018-7-17、2018-08-09、2018-8-31、2018-9-20、2018-10-11、2018-11-01、 2018-11-22、 2018-12-13、2019-01-03、2019-01-22给予“IBI308”治疗13周期。

2周期复查(2018.08.07)部分肺转移灶较前稍增大(假性进展),4周期及以后食管壁增厚较前好转,肺转移灶较前缩小,临床疗效PR。
2019.02入院复查新发脑转移,余病灶稳定 。
MRI(2019.02.14)

右额叶可见类圆形长T1长T2信号,大小约20mm*23mm*23mm,边缘可见水肿带,DWI部分受限。
2019-02-21、2019-03-21继续 “IBI308”治疗2周期,回当地行脑部放疗(具体剂量不详)
CT(脑转移治疗前后食管病灶及肺转移灶对比,部分肺转移灶较前增大)

MRI(免疫治疗加放疗治疗前后对比,脑转移灶较前明显缩小)

于2019-04-18 2019-05-08、2019-05-30、2019-06-26、2019-07-17、2019-08-09给予“伊立替康+安罗替尼”方案治疗6周期。
CT(食管增厚较前明显改善,肺转移灶较前缩小)

MRI(颅内转移灶持续缩小)

讨论:
食管癌脑转移较罕见,仅为1.4%-1.7%。患者发病年龄普遍较大,中位年龄60岁左右,且男性居多,多为临床分期较差(III-IV期)的患者。晚期食管癌平均生存期在1年左右。本例患者脑转移出现在二线免疫治疗半年后,也说明随着化疗、放疗及免疫治疗等更多治疗手段的应用,患者PFS及OS得到延长,而发生脑转移的几率也会随之增加。对于食管癌脑转移,缺乏规范的治疗模式。化疗药物不易透过血脑屏障,一直以来针对脑转移的治疗为手术或放疗的姑息治疗方式。安罗替尼作为小分子TKI类药物,在肺癌脑转移上已有明确疗效。免疫检查点*制剂抑**联合放疗在恶性黑色素瘤以及肺癌脑转移上也显示出优秀的治疗效果。但这两种药物在治疗食管鳞癌脑转移方面尚无相关的研究数据。该例患者在二线及后线治疗中,应用了免疫检查点*制剂抑**和安罗替尼,脑转移病灶明显缩小,提示我们小分子TKI类药物、免疫治疗联合放疗对食管鳞癌脑转移可能有着不错的效果,值得临床进一步研究。
主编评语·樊青霞教授
为食管上段鳞癌伴颈部淋巴结、肺转移,经过一线化疗联合局部放疗,获得9个月PFS,后参加PD-1单抗二线临床试验,又获7个月PFS,后出现颅脑转移。说明对于预后较差的晚期患者,随着化疗、放疗及免疫治疗等更多手段的综合应用,患者OS得到延长,发生脑转移的几率也随之增加。对于食管癌脑转移,缺乏规范的治疗模式。本例患者脑转移病灶得到有效控制,提示能够透过血脑屏障的小分子TKI类药物、免疫治疗联合放疗对食管鳞癌脑转移可能有着不错的效果。
☞王鑫:食管癌放射治疗新进展
☞何炜:食管癌的化疗进展
☞王峰:食管癌免疫治疗新进展
☞王峰:食管癌营养支持治疗研究进展
版权声明
本文版权归医悦汇所有。欢迎转发分享,其他任何媒体如需转载或引用本网版权所有内容,须获得授权,且在醒目位置处注明“转自:医悦汇”。
