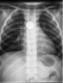
自动玩具因为受到孩子们的喜欢,被家长们源源不断的买回家中, 孩子因误吞玩具 ,和家中纽扣纽扣电池就医的急诊也不断增多。
如果纽扣电池停留在食道中,不能及时取出,会造成严重伤害,甚至死亡。

因为电池被食道里的粘液连接成了一个通电的回路,电池放电,粘液在电流的作用下,发生化学发应,产生出了富含氢氧化物的碱性溶液,腐蚀人体组织。
症状
纽扣电池停留在食道里,可能会出现喉咙痛,咳嗽,发烧,吞咽困难,口腔摄入困难,或呼吸嘈杂的症状。如果不能及时取出,可能导致严重的并发症,如:食道穿孔,声带麻痹,气道或主要血管被侵蚀。
风险
取出电池需的时间越长,儿童的风险就越高,如果不采取任何措施,在两个小时内,就有可能造成严重的损伤。 如果首诊医院没有专业麻醉师和内窥镜医生能取出异物。很有有可能出现严重的损伤,甚至危机生命。

美国儿童医院的研究研究
2018年6月11日 美国费城儿童医院,耳鼻喉科专家团队在“喉镜”刊物上发布他们的一项研究论文: 《中和pH值的食管灌注--缓解纽扣电池损伤的新方法》(pH‐neutralizing esophageal irrigations as a novel mitigation strategy for button battery injury)这是论文的名字,很拽。内容也很专业,我把它通俗地说一下:先说结论。
结论:
“吞下纽扣电池后,吃蜂蜜可以减少对儿童的伤害程度。”
通过实验室动物试验的研究结果,蜂蜜---这种家中常有的食品,可以显着降低纽扣电池引起的高腐蚀性所带来的损伤程度和死亡风险。
研究的目的
开展这个研究的目的是,找到一种在在家里或诊所里,就可以阻止纽扣电池在食道里所发生的化学发应的方法。
具体来说,研究人员试图寻找,验证一种口感好,粘稠度高的液体,可以在人体组织和电池之间形成保护屏障,并中对生成的强碱性液体起到中和作用。该团队在实验中试验了多种液体,包括常见的家庭喝的饮料,如: 果汁,苏打水和运动饮料。试验是在活体猪身体上进行的。
研究表明,蜂蜜和硫糖铝对纽扣电池造成的损伤具有最大的保护作用。在的研究发表之前,还测试了像柠檬汁这样的弱酸性液体,证明也有一定的效果。然而,许多孩子不喜欢喝柠檬汁。相比之下,蜂蜜的甜味更适合年龄较小的孩子。

研究团队的建议:
父母和看护人在孩子能够到达医院之前定期给予蜂蜜,医院里的医生在取出电池之前,可以使用硫糖铝。虽然关于这些液体的计量和给予的频率还有待于后续的研究, 但现在的研究结果已经可以作为临床推荐的合理证据了。
首席研究员, 费城儿童医院儿科气道疾病中心主任,儿科耳鼻喉科医生 Jan N. Jacobs博士说: “在取出电池之前,安全地摄取任何数量的这些液体比什么都不做要好。”
注意:
临床上,对怀疑有脓毒症或食道穿孔的儿童,不能使用这种方法, 对蜂蜜或硫糖铝有严重过敏的孩子也不适用。由于肉毒杆菌中毒风险,年龄不不到1岁的儿童也不推荐使用这些物质。
提醒家长:
一般家里都会有纽扣电池,它们应始终存放在儿童无法触及的安全地方。 家长和护理人员应检查家中的所有电子产品,并确保将电池的封装只有使用工具才能打开,并定期检查,以确保这些电池始终是安全的。
参考文献
“pH‐neutralizing esophageal irrigations as a novel mitigation strategy for button battery injury” Laryngoscope First published: 11 June 2018 https://doi.org/10.1002/lary.27312 Ian N. Jacobs MD