
牙疼不是病,疼起来要人命~~~

那什么是智齿?你知道吗?

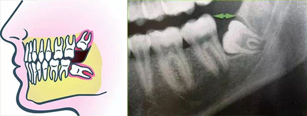
智齿,是指第三磨牙,上下左右各一。其实智齿和其他的牙齿并没有本质的区别,它们也是正常生长的牙齿。由于人类的咀嚼器官的退化,造成很多人的第三磨牙无法萌出,即便萌出也无法建立良好的咬合关系。

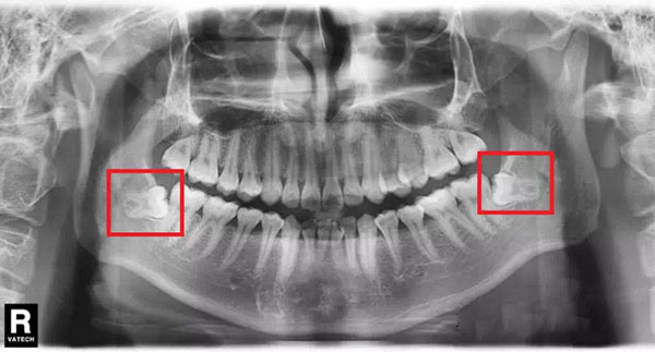
比如像下面的X片所示,双侧上颌的智齿退化缺失,而下颌双侧的智齿均前倾阻生,无法正常长出,亦无法形成咬合,实际上是没有功能的。

哪些情况下智齿应该尽早拔除?
(1)智齿引起炎症,最常见的就是冠周炎,智齿和牙龈之间容易形成一个盲袋,食物残渣等进入盲袋后便形成了天然的培养基,病原体大量繁殖,当机体免疫系统功能较弱时就容易发生智齿冠周炎。智齿冠周炎常见的症状有疼痛,无法言语及咀嚼。严重的情况下还会导致面部间隙的化脓感染,甚至出现全身中毒症状。
(2)智齿龋坏。如果智齿严重龋坏,一般不建议修补或做根管治疗。
(3)食物嵌塞。如果智齿和前面的牙之间总是塞牙,食物嵌塞很容易造成前面第二磨牙的的龋坏,并有可能引发其远中面的牙周损害。这种情况也建议尽早把智齿拔掉。

(4)智齿近中倾斜。近中倾斜的智齿可能会造成食物嵌塞。也有一些情况下智齿生长导致其直接顶在第二磨牙的根上。这种情况下建议尽早拔除,临床上经常遇到智齿将第二磨牙顶坏而需要同时将两颗牙拔除的情况,一旦发生这种情况,那就比较可惜了。。。

( 5)正畸的需要。这种情况正畸医师会做详细的说明。临床上有时候正畸医师会要求在智齿牙根还没有发育的时候将其提早拔掉,有时甚至会遇到14岁左右就前来要求拔除智齿,一般见于反合的病人,提早拔掉智齿可能有利于控制下颌骨后段长度的发育。
(6)预防牙齿拥挤。正常情况下,牙齿有向前移动的趋势,这可以保证牙齿邻面出现生理性磨耗的情况下不出现牙间隙。而智齿的萌出,尤其是近中生长的智齿,可能会使这种移动变的“不正常”。有些人会跟医生反映,过了30岁以后下前牙越来越不齐了,智齿的生长可能是正常这种情况的一个原因,目前有很多学者同意这一观点。

拔智齿疼吗?
很多需要拔智齿的朋友都会问到这个问题,其实在良好的局部麻醉作用下,拔除智齿,是不会感到疼痛的。拔除智齿术后伤口会有一些疼痛,只要按要求服用止疼药,可以让你在麻药消退后尽可能降低不适感。