狂丸研究所,每天涨点新知识
19世纪距离现在约200年,那时的贵族可以穿得美美地喝上一杯下午茶,但如果不幸生病了,那不管他们多有钱多有地位,被治死可能是家常便饭。
不少病人本意是看病,却在各种奇怪的治疗过程中早早丧了命。

给脑袋钻个洞
这个给脑袋打洞的治疗方法,叫头部穿孔术 。医生利用工具在患者头皮与头盖骨上钻出一个孔,使患者头颅的硬膜外露。

这个头部穿孔术出现于石器时代,作为少有的一项手术项目,穿越时间洪流被传了下来。我国4000年前出土的头骨,也佐证了古人早就开始尝试开颅这件事了。

在医生心中,需要打孔开颅治病的原因有很多,头疼、癔症、头部受伤等,都可以用这种方法来治疗。在没有麻醉、没有消毒的年代,说在头上开个孔就开个孔,真是 一个敢挖,一个敢应。

这个看着不太靠谱的「脑袋开花」手术,居然 一直从史前阶段保留到了19世纪 。直到美国内战期间(1861-1865年),这种治疗方法仍被用于治疗当时的患者与战场上的伤兵。

士兵:你离我脑袋远一点啊
用吸血虫给孩子吸个血
水蛭——19世纪医学界的一大网红。200年前的欧洲大陆, 水蛭放血疗法曾掀起一股热潮。
这股热潮热到什么地步?
热到当时一位病人身上可以吸附30-50条水蛭。
热到仅在1833年, 光一个法国就消耗了近4200万只水蛭。
热到因为19世纪过度开发利用,这群生物现在仍处于易危状态……

水蛭疗法就是用它吸取患者的血,至于能治什么病,那简直是五花八门。医生使用水蛭治疗血肿、痔疮、脓肿、癫痫、躁狂、抑郁、耳聋……
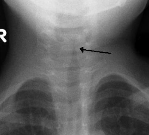
还有一个更流行的疗法, 是为小孩子治疗哮吼 。在白喉疫苗诞生前,6个月至5岁的小孩是哮吼的主要患者群体。感染的小孩咳嗽如犬吠,严重可致死。

哮吼孩童是颈部X光片,可以见到声门下方气道缩窄,呈现「尖塔征象」
而当时的家长会选择喊医生来给孩子喉咙上放水蛭,吸血治疗。

放血2000CC就为治个病
放血疗法又来蹭热点了,因为这个写作救人其实更像在杀人的疗法,居然一直延续到了19世纪。

放血疗法操作起来,就是放血,使劲放。
这个疗法从公元前5世纪的古希腊开始被广泛使用,其底层逻辑是当时认为人体内的体液并不循环,血液随着时间流逝会过量储蓄,打破体内健康平衡。
所以如果你生病了,那就放血,减少多余的血液,患者的身体就可以恢复到健康平衡状态。在这个底层逻辑下,放血就变成了万能灵药,无论什么病,先放血准没错。
于是,放血越没效果,医生就越加大力度,所以当年,不少人因大量失血直接一命呜呼。

显示人体不同放血点以对应治疗不同疾病的挂图,约1310年–1320年
这种现在看来很离谱的治疗方式,直到200年前仍就是人们生病后的首选。在那时,「生病要放血」这个事和我们「睡前就要玩手机」一样自然而然。
哪怕是美国国父华盛顿,也在发现自己患病后首先选择了放血疗法,然后一天内被医生放掉了近2000CC的血,发现无效后又进行了灌肠,最后把这位老哥直接送走了。

手术是「疼死」与「感染死」的选择题
19世纪的手术是一场豪赌——医生术前不洗手,手术过程无麻醉,没有止血钳就用烧红的铁块止血,术后无隔离伤口疯狂感染……
一场手术从头到尾每个环节,全都写着——要你死。

而没有麻醉辅助的手术,让医生们纷纷拼手速。毕竟手术过程战线拉长,对医患双方都是折磨。
当时的外科医生比KPI,一大指标就是手术用时。有位英国医生罗伯特·李斯顿,以手术奇快著称,人称「李斯顿飞刀」, 他的最快纪录是28秒锯掉患者一条腿。

手术前后医生没有洗手消毒的概念,更是让当时手术的感染致死率居高不下。就是这样混乱而痛苦的手术,离我们只有200年的距离。

生病竟然吃*品毒**?
19世纪末,古老的医学治疗开始被时代抛弃,人们在向现代医学摸索的道路上走得也不太顺。
许多人成为了新生药物的小白鼠,各种药物的副作用留在了他们身上,供现代人警钟长鸣。例如, *洛因海**曾成为治疗咳嗽的良药。

一本杂志上的医药广告,宣传使用*洛因海**治疗咳嗽
这就是19世纪80年代后期发生的事情,当时*洛因海**作为一种安全和非成瘾性的*啡吗**替代品被引入市场。
于是从1898年开始,一种掺有*洛因海**的阿司匹林成为了常用药。这种药物的市场对象是患有喉咙痛、咳嗽和感冒的儿童。
*卡因可**在19世纪也曾是无需处方就可以随意购买的药物。人们曾用它治疗治疗牙痛、抑郁症、鼻窦炎,并用*卡因可**制作保健品、止咳糖等。

写到这里,狂丸不禁庆幸自己生活在现代。否则,写稿写到头痛的时候,我能得到的不是止疼药,而是随时能把人送走的……奇妙工具。

19世纪治疗头疼的方法
(文中图片素材来源自网络,仅供学习交流使用)