一次检查,却发现30周腹中胎儿小脑下蚓部发育不良
今年29岁的王女士已经是一位怀孕七个月的准妈妈了,这是王女士和她的丈夫张先生结婚以来的第一胎,两个人以及双方的父母都十分重视王女士肚皮里的宝宝的状况。
自王女士怀孕以来王女士的母亲和张先生的母亲就轮流给王女士准备健康好吃的三餐,并且还给王女士肚子里的宝宝买了很多套衣服,从刚生出来的到一个月大的,再到三个月大的衣服都买了好几套,而张先生也为了能付得起高昂的奶粉钱,在工作期间更加的拼命,希望能够升职,可以说是全家人都满心期待地等待着这个宝宝的出生。
为了不要给腹中的胎儿带来不好的影响,王女士也特地在怀孕三个月就在公司请假了,每天按照网上对孕妇的建议进行适当的运动,还经常给腹中的胎儿读故事、听音乐,花了很大的精力做胎教,可以说是为了宝宝牺牲了很多。

前段时间,王女士已经怀孕30周的时候,按照规律前往医院对肚子里的孩子进行了一番检查,没想到,这次的检查,却给王女士一家人带来了一个晴天霹雳。
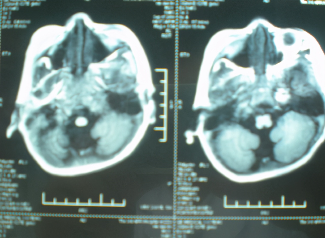
那天,王女士挺着一个不小的肚子走进了医院,进行一个常规的孕检,也就是检查一下宫高,量一下腹围,测胎心音、测血压、检查胎位等项目,都是很常规的项目。做完之后,医生看到四维B超有些异常的情况,于是又叫王女士复查了B超。

在孕检之后,等待了一段时间,医生面色有些严肃地将王女士和张先生叫进了办公室。
医生告诉王女士夫妇二人,经过方才对王女士的孕检,医生很仔细地观察核磁结果之后,确定了王女士腹中的胎儿 小脑下蚓部发育不良 ,可以看到小脑延髓池宽度不正常。
医生特地说明,小脑下蚓部发育不良已经是属于先天性疾病了,如果王女士夫妇二人坚持把婴儿生出来,有很大的可能会是一个 有智力障碍的小孩 ,并且这个智力障碍是比较严重的,很有可能会连学都上不了。

王女士二人顿时感到晴天霹雳,他们无法接受自己期待了七个月的孩子居然脑部有问题,甚至生出来之后有很大可能是一个智力障碍的小孩,而且他们的家庭条件也不是特别抚育的那种,如果要抚育一个智力障碍的孩子,他们无法想象自己未来的生活会是多么的辛苦。
◇进退两难!是否选择引产
医生继续告诉王女士夫妇二人,面对这样小脑发育不良的胎儿,一般医院的建议就是进行引产,因为本着 优生优育的原则 ,这个胎儿有很大很大的概率是要成为智力障碍的孩子,是不符合优生优育的。
而且生下一个智障儿童,对于父母来说确实是很痛苦的一件事情,如何养育和能不能坚持一直养育都是一个很大的问题。
当然,医生也告诉王女士,究竟要不要引产主要还是看他们的意愿,如果他们坚持要生下这个有问题的胎儿,其实也不是不可以,但是他们夫妇二人一定要做好相应的准备,并且要对这个可怜的孩子负责,毕竟孩子也不是自愿要来到这个世界的,如果王女士二人坚持生下孩子, 一定要对这个孩子的一生负责 。

王女士和张先生都很慌,不知道该怎么办,他们赶紧打电话给父母,想要听听父母的意见。得知这样的事情,双方父母都赶紧驱车前往医院。面对眼前的结果,大家不约而同陷入了沉默。
王女士的母亲开口了,她想让王女士把孩子生下来,她说这孩子不也只是有很大可能是智力障碍吗?那不就意味着也有可能不会智力障碍,至于现在脑部发育的不正常,他们也可以在接下去的时间努力,可以通过食用一些药物来改善治疗。
现在怀孕多么困难,而且王女士为了孩子连工作都不顾了,如果这次引产了,不仅仅是要恢复很大一段时间,工作也说不定没有了,未来如果再怀孕,更加有可能丢饭碗,这要浪费王女士多少的时间和精力。
张先生的父亲却不同意,他认为这个大概率智障那就肯定是会有问题的,而且如果生下来是智障能有什么用呢?一辈子都要靠王女士和张先生养育,这对两个年轻人来说是多大的负担啊,而且王女士现在才29岁,可以引产之后休息一段时间再怀孕,生一个健康的宝宝才比较重要。
经过一番争执,出于优生优育, 王女士最终还是选择了引产 。
◇什么是小脑下蚓部发育不良
那么什么是小脑下蚓部发育不良呢?
首先,小脑发育不良是指 小脑发育不成熟 ,分为三个部分的发育不良,分别是 下蚓部、小脑半球和小脑皮质 。而小脑下蚓部发育不良就是这三种之一。
如果将小脑下蚓部发育不良的孩子生出来,首先,孩子的 平衡功能会有障碍,智力也会出现障碍,同时还伴随有说话含糊、言语不清的症状 。

◇胎儿小脑发育不良,王女士下次怀孕需要注意什么?
王女士这次所怀的胎儿出现了小脑下蚓部发育不良的状况,虽然她选择了引产,但是她未来还是打算怀孕生娃的,这时王女士的心里就有些害怕,她真的害怕自己下一次怀孕到七个月左右又检查出来了胎儿小脑发育不良,如果出现这样的状况,王女士真的不知道该怎么办了。

于是王女士忧心忡忡地问医生自己下次怀孕需要注意些什么。
医生告诉王女士,其实这次的情况应该是偶然的,应该是胎儿产生 基因突变或者在孕早期感染病毒等其他原因导致的 ,王女士下次怀孕不需要特别担心,战战兢兢的。
而且要避免这种情况也是有方法的,医生说王女士可以在怀孕早期或者下次备孕的时候,适当地服用一些 叶酸 ,来促进胎儿的神经系统发育,并且也要注意 避免一些病毒的感染 。这样一来,胎儿在小脑发育方面很大概率不会出问题。
希望王女士的引产手术能够顺利,也能在往后顺利生下一个健康可爱的宝宝。