毛大叔(化名)今年53岁,还没有到退休的年纪,可是毛大叔却已经有了多年的高血压、高血糖和糖尿病肾病,也可以算是一个妥妥的“三高”患者。

胸痛
但是毛大叔有一个习惯非常好,那就是他十分顺从医嘱。自从发现“三高”以后,毛大叔严格按照医嘱规律服药,并且听从医生的建议,十分注重生活习惯的调理。规律的用药加上良好的生活习惯,毛大叔的“三高”控制得十分理想,因此这么多年以来,毛大叔的身子骨都是棒棒的。
原本以为,一直这样下去,就可以高枕无忧,结果却在一个平常的下午,这份平静被打破了。
这天,毛大叔吃了饭后,准备走一走,结果却突然没有活动导致的晨僵,结果在用力甩了甩之后,疼痛仍然没有好转。
要说只是左上肢痛,马大叔还没有在意。可是随着时间的进展,到了下午,毛大叔竟然开始出现了胸痛。

药物控制的很好
这时候毛大叔开始慌了,因为他看过不少心梗的案例,自己又是“三高”人群,属于心梗的高危人群。
“该不是心梗吧?”毛大叔内心自问道。
毛大叔坐不住了,赶紧联系了家人,让家人将他送到了市里的大医院。
到了医院,医生一听毛大爷的情况,十分重视也不敢耽搁,赶紧让毛大叔躺下来不要乱动,并立刻安排进行了心电图检查。
果不其然,心电图验证了毛大叔的猜测:心肌梗死!
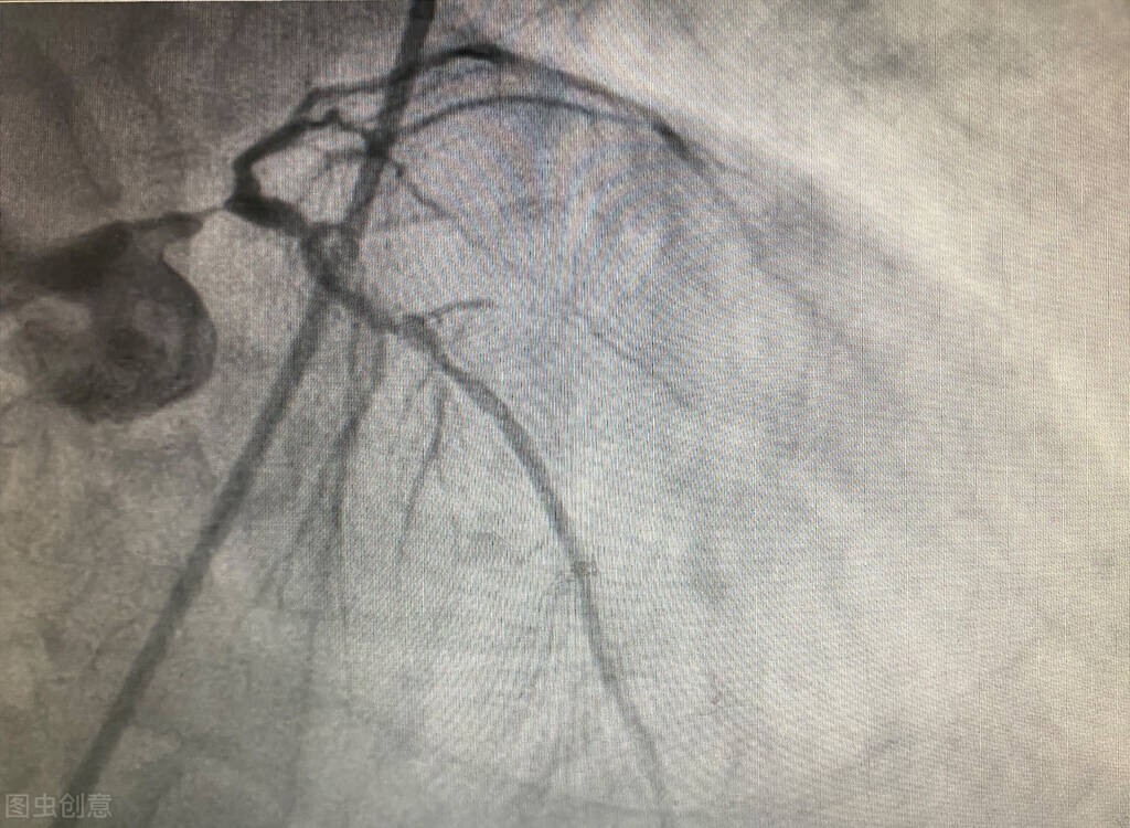
随后医生为毛大叔进行了详细地检查,结果发现毛大叔的心脏射血功能指数已经降到了35%,正常的心脏射血分数应该在50%以上!急诊冠脉造影发现,心脏冠脉血管前降支动脉狭窄85%,远端狭窄75%,左回旋支远端狭窄95%,左室后降支狭窄80%!
并且,在冠脉血管中可见不同数量大小的斑块!

冠心病造影
心梗三项检查发现肌钙蛋白127.53,肌酸激酶同工酶28.8,肌红蛋白875!
一系列的检查结果都证实,毛大叔的心肌梗死是板上钉钉的事了。不过好在经过细心的治疗,毛大叔的心脏射血分数提升到了42%!病情也逐渐好转。
一天,医生查房的时候,毛大叔终于忍不住好奇心问到:“我的三高控制得那么好,怎么还会心梗呢?”
一听毛大叔这么一问,医生们顿时也来了兴趣,对呀,为什么三高控制得那么好,也会心梗呢?
经过询问,毛大叔自从查出了三高以后,戒烟已经有7年了,不喝酒,睡眠饮食都很正常,也很健康。血压体重也都在正常范围内。
翻阅毛大叔的血液检查发现,其血脂中的胆固醇、甘油三酯、低密度脂蛋白胆固醇等都是正常的。

血液学检查
医生犯了难,按理说,这些发生心梗的高危因素,毛大叔一个都不占,为何还是发生心梗了呢?
不过最终医生还是发现了背后的“凶手”。
原来,早在2015年时,毛大叔住院治疗时就发现了脂蛋白lp(a)异常升高,达到474mg/L。而根据我国的诊断标准,高于30mg/L就属于lp(a)异常!
所谓lp(a)异常,就是指肝脏产生的脂蛋白异常,它的水平与基因有关,与饮食和运动毫无关系。但是它的升高,却与冠心病有着非常大的关系!
这也就能解释了,为什么毛大叔三高控制得很好,饮食也控制得不错,却还是发生心梗的原因了。

脂蛋白
那么,为什么lp(a)会导致冠心病呢?
研究发现,lp(a)与LDL-C的作用类似,可以刺激血管内皮细胞,并且能在内皮细胞下沉积,进而能够刺激激活单核细胞以巨噬细胞的状态吞噬脂蛋白,以脂滴形式储存。
随着平滑肌细胞的增殖和迁移,一方面由于在病变周围构建纤维帽促进斑块钙化,另一方面也通过吞噬lp(a)形成泡沫细胞。
在病变末期,泡沫细胞也最终凋亡,在斑块中间形成坏死核心,增加了斑块的不稳定性。因此,及时LDL-C正常,高水平的lp(a)也会导致动脉粥样硬化的形成,进而导致斑块破裂引起急性的心血管事件。
综上,毛大叔的三高尽管控制得很理想,但是却忽略了另一个很重要的指标-lp(a)。过高的lp(a)成为了一个独立的因素,引起了动脉粥样硬化,进一步加剧了心血管事件的发生。因此,日后要预防冠心病,也一定要注意lp(a)的控制。#心健康信科普#