研究背景
恶性胶质瘤( malignant glioma,MG)是预后最差的原发中枢神经系统肿瘤之一,目前的标准治疗手段为同步放化疗和替莫唑胺单药化疗,但肿瘤复发后尚无有效治疗的治疗手段。再放疗是复发MG的治疗选择之一,可以改善局部肿瘤控制,但不能带来生存获益,同时 40% 的患者会发生不同程度的放射性坏死。贝伐珠单抗(Bevacizumab)可以控制放射性坏死,减少病灶周围水肿。贝伐珠单抗联合立体定向放疗能够降低放射性坏死的发生率、延长患者的无进展生存期和总生存期。
硼中子俘获疗法( BNCT )是一种肿瘤特异性粒子放射疗法。对复发恶性胶质瘤患者进行 BNCT 的回顾性研究显示 1 年生存率为 26.3% ,中位生存期为 10.8 个月。放射性坏死是复发的一个重要风险,因为肿瘤周围正常的脑组织仍然受到小剂量 BNCT 的照射。初步研究表明, BNCT 后早期应用贝伐珠单抗可以预防和控制放射性坏死。近期发表的一项临床研究利用 BNCT 联合贝伐珠单抗治疗复发恶性胶质瘤,以探索该疗法的有效性和安全性。
研究方法
1 、 患者选择
纳入标准:年龄15岁 -75 岁,病理学确诊为MG,位于同侧半球的幕上单个肿瘤,没有软脑膜播散。一线治疗后至少复发一次, KPS≥60 ,血液学、肝肾功能及肺功能正常,预期寿命大于 3 个月。
排除标准:存在活动性感染、糖尿病、妊娠和严重合并症,如心血管疾病、肺炎、凝血功能障碍和无法控制的高血压。苯*酮丙**尿症、近期出血、过去 6 个月内发生血栓栓塞性疾病、对BPA或贝伐珠单抗过敏。
2 、 研究设计
BPA在中子照射前 2 小时以 200 mg/kg/h 的速度静脉注射直至中子照射时。在中子照射期间,输注速度为 100 mg/kg/h 。贝伐珠单抗在 BNCT 后 1-4 周开始,每 2-3 周给予 10mg/kg 贝伐珠单抗,直至疾病进展。每 2-3 个月进行一次临床和放射学评估(采用RANO标准)。主要研究终点为 BNCT 后的 1 年总生存率,次要研究终点为 BNCT 后的生存期和无进展生存期及安全性。
研究结果
1 、 基线特征
本研究共纳入自2013年 6 月至 2019 年 2 月的25例患者,包括 16名男性和 9 名女性,中位年龄 53 岁(范围: 20-68 岁),其中 14 名患者为原发性胶质母细胞瘤(pGBM), 11 名患者为其他类别的肿瘤,包括继发性胶质母细胞瘤 2 例,间变性星形细胞瘤 2 例,间变性少突胶质瘤 2 例,间变性少突星形细胞瘤 5 例。肿瘤复发时 KPS 分别为 100 (5例)、 90 (7例)、 80 (4例)、 70 (7例)、 60 (1例)。 8 例患者为初次复发, 10 例为第二次复发, 7 例为第三次复发。肿瘤体积中位数为 35.1ml 。初诊至 BNCT 的中位时间为 18.5 个月。 BNCT 最大剂量和最小剂量的中位数分别为 75.6Gy 和 39.4Gy 等效剂量。

表 1 :入组患者基线特征
2 、 疗效与生存
本研究中,最佳疗效反应为 CR 者共 6 例, PR 为 12 例,达到最佳疗效反应的中位时间为 2.3 个月。客观缓解率 72% , pGBM 患者与非 pGBM 患者的客观缓解率无统计学差异。

图 1 :肿瘤垂直径总和的最大变化
中位随访时长为17.4个月,所有患者的中位生存期为 24.7 个月,中位无进展生存期 12.1 个月; pGBM 组 1 年生存率 63.5% ,中位生存期为 21.4 个月,中位无进展生存期 8.3 个月;非 pGBM 组 1 年生存率 63.5% ,中位生存期为 73.6 个月,中位无进展生存期 15.6 个月。

图 2 : 总生存和无进展生存的 KM 曲线
pGBM 总生存期的单变量分析显示,肿瘤体积 <44ml 与 pGBM 患者的生存期显著相关(HR: 0.10 , 95%CI : 0.01~0.88 , P=0.0382 ),而不是年龄、性别、 KPS 、复发次数、距离初诊的时间、 BNCT剂量。

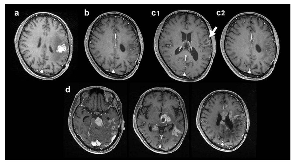
图 3 : 典型病例( 44 岁男性患者, (a) 原发 GBM 术后 8.8 个月首次复发。( b )经 BNCT 联合贝伐珠单抗治疗后 3 月肿瘤完全缓解;( 3 ) 8.2 月后照射野外肿瘤复发;( d )肿瘤进展后继续接受治疗,在 BNCT 治疗 后 36.7 月时死亡
3、 安全性
所有患者都经历了 2 级脱发。有 15 名患者(60%)报告了其他不良事件。在贝伐珠单抗治疗期间,没有发现假性进展和放射性坏死。 ≥3 级的不良事件包括 4 例 3 级蛋白尿、 1 例 5 级脑膜炎、 1 例 5 级急性心肌梗死。其中1例患者在最后一剂贝伐珠单抗给药后 13 天发生心肌梗死,后接受了冠状动脉介入治疗以及主动脉内球囊反搏术。但在心肌梗死后 3 天死亡( BNCT 后 21.4 个月)。另 1 例患者在 BNCT 后 4 个月发生细菌性脑膜炎,抗生素治疗后脑膜炎有所改善,但在停药后复发,感染源不明,并在入院后 65 天死亡。
研究结论
与以往单独使用 BNCT 相比, BNCT 和贝伐珠单抗可延长复发恶性胶质瘤的总生存期和无进展生存期。添加贝伐珠单抗可能会减少 BNCT 的不利影响,包括假性进展和放射性坏死。更大样本量的联合治疗和随机对照设计进一步研究是有必要的。
敬请注意:本文仅供相关专业人员学习参考之用,文中的所有信息均不作为诊断和治疗疾病的依据。如出现文中描述的症状,请及时就医。另外,本文仅节选原文的一部分,内容可能不完整或与原文存在偏差,若需更完整的信息请参阅原文。
参考文献: Furuse M, Kawabata S, Wanibuchi M, Shiba H, Takeuchi K, Kondo N, Tanaka H, Sakurai Y, Suzuki M, Ono K, Miyatake SI. Boron neutron capture therapy and add-on bevacizumab in patients with recurrent malignant glioma. Jpn J Clin Oncol. 2022 Jan 26:hyac004. doi: 10.1093/jjco/hyac004. Epub ahead of print. PMID: 35079791.
编译:刘亚静
审校:张俊平