在日常生活中,人们对糖尿病的认识比较多,很少有人知道糖尿病足,也不知道是什么原因导致的糖尿病足出现,有哪些症状,以及如何预防,刚开始还以为是脚部疾病应该不严重,到后期病情变严重了,才知道去检查治疗,就拿我科近期收治的一例病例来说吧。

张先生, 42岁 ,现在是一家公司的职员,经常需要在电脑前办公,缺乏锻炼,抽烟喝酒等一系列的坏习惯也不少,还有 10多年的糖尿病病史 。患上糖尿病的这些年里,张先生刚开始的血糖控制结果还比较理想,偶尔 控制不佳 ,但也没说明大问题。
最近,张先生感觉到 双腿冰凉,有时候还发麻,走路感觉到无力、软绵绵的,双腿上的皮肤还很干燥 ,张先生以为只是坐得太久了,腿部供血不足,休息就会好转了,就没有管。
直到近几天,张先生的 症状 不仅没好,还 变严重 了,站起来的时候还出现头痛、心悸的情况,有时候还会出现腹泻、行走困难的情况,这才意识到事情的严重性,急匆匆赶来我院就诊。

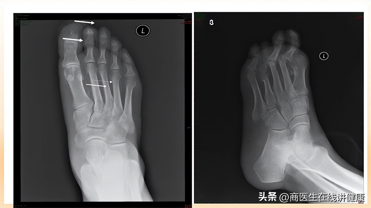
到我院后,医生询问张先生的 过往病史和主要病情 情况,以及做好基本体格检查后,怀疑张先生可能存在糖尿病足的情况,于是与张先生以及家属商量后,给予 血糖检测和足部X线平片检测,血糖检测结果显示10mmol/L,足部X线平片检测结果显示足部有周围末梢的骨质疏松,以及骨质水肿等不良营养情况的出现 ,检测结果均提示张先生患上了糖尿病足。
得到结果后,医生松了一口气,还好只是 早期 ,没有错过治疗,与其商量后,给予张先生 控制血糖的药物 服用,以及给予 营养神经、保护微循环类的药物 进行治疗,并叮嘱患者要 保持足部的清洁 , 避免足部受压 。经过一段时间的药物治疗和物理治疗后,张先生血糖得到控制,相关病情也得到了缓解和治疗,医生也叮嘱患者虽然控制效果较好,也不能掉以轻心,要继续 坚持控制血糖和血脂 。

所以说,当自身患有糖尿病,而脚部出现异常时,一定要及时引起注意,记得前往医院进行检查和治疗。除此之外,人们更应该去了解还有哪些因素会引起糖尿病足出现,可以对下文继续了解学习。
一、哪些因素会引发糖尿病足?
糖尿病是引起糖尿病足出现的重要因素,但下面这些因素,也会引发糖尿病足的发生,人们要进行深入了解才能注意避免这些因素的发生。
- (1)感染引起
在引起糖尿病足的各种原因中,最重要的原因就是感染,而且大多数糖尿病足病人都是由外界感染引起的。
这是因为病人自身的抵抗力较差,抗感染的能力也较差,就很容易造成缺氧的情况发生,还为细菌的增殖提供了一个良好的环境,使得细菌能够进入人体内,造成了严重的组织感染,最终导致了糖尿病足的发生,因此,在日常生活中要注意保持良好的个人卫生,防止感染事件的出现。

- (2)自主神经功能受损
糖尿病患者在患病之后,如果不能有效的控制身体的血糖水平,就会导致周围神经出现病理的异常改变,并且这种改变会损害到身体的自主神经功能,从而导致脚部皮肤的汗液分泌功能出现异常,在这种情况下,脚部的皮肤就会变得非常的干燥,容易受到细菌的侵袭,进而导致出现感染性病变,最终引起糖尿病足的发生。
- (3)血糖水平波动的影响
如果血糖控制不佳,导致血糖升高,会引起周围神经发生损害,导致许多病人出现触觉功能障碍,以及脚部对温度变化的反应速度变慢。在糖尿病的治疗过程中,如果没有很好地控制好自己的血糖,就会引起血液黏稠度升高,血管会因为硬化、增厚等原因,造成变形能力降低,从而造成血液供给不足的现象。
如果不能很好地控制好血糖,许多患者的皮肤还会变得非常干燥,严重者甚至会导致皮肤发生干裂的情况,因此,为了防止并发症的出现,需要提高警惕,对血糖进行严格控制,特别是要注意防止周围血管神经发生病变,也注意不能让血糖长时间维持在高血糖状态。

- (4)物理性损伤
有不少患者,因为伤口不大,而忽视了伤口对人体的危害这个问题。而糖尿病患者的脚一旦受到创伤,就很容易出现溃烂、感染的情况,其实,即使是最轻微的伤口,也会引起溃烂、感染的发生,严重的时候甚至还会有被截肢的可能。而在生活中,大部分的患者会出现不同的组织损伤,比如烫伤、冻伤、划伤、擦伤等等,如果没有得到及时的治疗,很有可能会引起伤口感染,从而发展成糖尿病足。因此,糖尿病患者或者危险人群一旦出现以上损伤时,就要立即进行处理,避免造成感染,诱发糖尿病足。
以上就是引发糖尿病足出现的主要因素,我们要深入进行学习,并牢记,以及远离这些因素。除此之外,还应该对患上糖尿病足后身体出现的症状进行认识和了解,有助于我们及时发现和治疗糖尿病足,如下文。
二、出现糖尿病足一般会有哪些症状?

每种疾病出现时,身体都会给予我们提醒,糖尿病足也一样,当我们出现糖尿病足时,身体会出现以下症状,当出现以下症状时一定要引起重视,及时前往医院检查治疗。
1)下肢感觉异常
当患上糖尿病足后,患者的脚部会 出现麻木、怕凉、走起路来感觉像是踩在棉花上 的感觉,这是由于血管、神经发生了病变, 导致血液循环不通畅 ,而且因为血管的病变, 血液的流速 也会相应地 降低 ,从而引起身体的 体温下降 , 导致麻木、怕凉 等症状出现。
也可以表现为 触觉功能下降 的情况,例如用棉花擦过脚掌的皮肤,部分严重的糖尿病足患者会感觉不到触碰。此外,还可以用大头针去扎足部的皮肤,如果被扎的患者没有任何感觉,就说明患者的触觉功能出现下降或者障碍。

2)间歇性跛行
糖尿病足是一种常见的足底疾病,患上后不仅会对周围神经造成损伤,还会对肌肉造成一定的损伤,进而导致患者走路有很大的影响。
由于 下肢有缺血 的情况出现,很容易导致 下肢血液供应不足 ,造成走一段路,就会出现 下肢乏力、行走容易疲累、麻木等情况发生 ,这些都是糖尿病足的早期症状。
如果情况比较严重的话,可能会导致小腿肌肉出现疼痛的症状,此时,只要 停止工作,稍稍休息一下,就能得到缓解 。

3)导致脚部溃疡的发生
患有糖尿病足后,如果不能及时得到有效的治疗,很容易出现感染的情况,导致足部发生溃疡。 足部溃疡一般多见于前面的足底 ,是由于长期受到压迫而引起的一种疾病,一旦出现这种情况,很有可能就是糖尿病足溃疡,该类疾病具有一定的危险性,若不及时进行处理,任由疾病持续发展的话,很有可能会造成截肢的情况出现。

4)静息痛
静息痛属于糖尿病足中期的症状 ,随着疾病病情的发展, 下肢缺血的情况会加重 ,导致 坐着不动时也会出现疼痛的感觉 。而这种 疼痛主要集中在脚趾远端或者足底的远端 ,尤其是在 夜间疼痛 更为 剧烈 ,当患者躺在床上时疼痛会加重,如果 把脚垂下床边疼痛会有所缓解 ,但是在晚上的时候,患者还是会出现静息痛或者是休息痛。因为在睡眠状态下,心脏的输出量是最低的,所以下肢的注血量也是最低的。
以上就是患有糖尿病足后身体出现的一些症状,所以当身体出现这些症状时,要及时进行治疗。一些没有出现的人群也不要大意,可以做好下文这些事情,可以极大的预防糖尿病足的出现。
三、做好哪三件事情可以预防疾病变严重?
很多疾病都是可以进行干预避免病情加重的,所以一些有危险因素或者患有糖尿病足的人群可以选择下文这些事情进行预防糖尿病足病情的加重,要坚持并且做好,避免疾病继续发展。

第①件事:尽快治疗控制血糖
患上糖尿病足主要是由于人体的脚部是糖尿病影响最深的器官,如果一直处于高血糖的状态下,脚部会慢慢地受到损伤,最终发展成为糖尿病足,这个时候一定要及时地控制好血糖。而为了维持血糖的稳定,需要服用 药物 ,只有药物发挥作用,才能促进糖类物质的消耗,这样就可以将血糖的数值控制在一个相对稳定的范围内。
目前, 胰岛素类、磺脲类的药物以及双胍类的药物都是临床上比较常见的降血糖药物。 但是有一些病人在治疗的时候,由于对疾病没有足够的重视,在不积极地治疗下,各项指标失去控制,最终导致 各种并发症的发生。比如糖尿病性心脏病、视网膜病变、糖尿病性肾病等疾病 ,这些疾病都需要在医生的指导下进行积极治疗。

第②件事:注意足部卫生
得了糖尿病足以后,一定要注意 脚部的清洁 ,因为本来就是糖尿病,所以皮肤的抵抗力会降低,而且 双脚也会受到刺激 ,从而 引起细菌和真菌感染 。因此必须做好护理工作,不然患者可能 会出现感染,皮肤溃烂,伤口感染 等情况。
如果没有做好防护工作,或是没有注意个人卫生,经 常穿着不透气的袜子、鞋,就会导致出现大量汗液,进而产生病菌,一旦皮肤受损,病菌就会侵入,就会加剧感染。 所以平时要做好脚部皮肤的保养,不然如果免疫力不强,细菌就会再次滋生,从而导致病情恶化。比如,在患病之后,要注意保护好自己的伤口,做好消毒工作,这样才能加快伤口的愈合速度。

第③件事:生活习惯的改变
患有糖尿病足的患者,平时一定要 注意饮食 , 避免吃会影响病情发展的食物 。如果吃了 高脂肪、高糖 的食物,就会使人 变得肥胖,进而影响到疾病的发展 ,最终造成人体血糖超标,这样不但很难改善,而且还会引起其他并发症,所以,在饮食上要注意,以保持各项指标的稳定。而要想 保持血糖的稳定 , 需要做一些运动 来消耗卡路里,控制体重,增加对糖类物质的利用。
因为如果长时间缺乏锻炼,就会引起体内血糖水平升高,热量消耗会更少,从而加重病情,最终形成糖尿病足。所以,平时要 注意进行适当的锻炼,多做有氧运动 ,以达到控制血糖的目的。一定要 保证足够的睡眠 ,经常熬夜的人很可能会患上糖尿病足,因为熬夜后血糖控制不佳,波动较大。因此,要想让血糖稳定下来,就必须要养成良好的生活习惯,每天要 保证充足的睡眠,以免血糖升高对人体带来的伤害。

以上就是一些防止糖尿病足病情变严重的方法,患有糖尿病足的人群或者存在危险因素的人群都可以通过以上的方法去进行预防和治疗,但是选择的时候要根据自身的情况来进行,不要盲目跟从大流。
总的来说, 糖尿病足对人体的危害很大 , 严重时会导致截肢 ,所以,当自身脚部出现上文所说的症状时,一定要引起重视。不要像上文的张先生那样,自身患有糖尿病,脚部出现异常也不知道去重视,更 不要忽视血糖值的控制 ,要及时发现及时治疗,要积极配合治疗,改变坏习惯,并且 积极控制好血糖,及早发现是可以治愈的 。

参考文献
[1]王海燕.糖尿病患者如何做好糖尿病足的预防及护理[J].家庭生活指南, 2020(2):2.
[2]刘会英,胡桂英,杜琼英. 糖尿病足预防及护理[J]. 现代医药卫生,2013,29(22):3473-3474.
[3]糖尿病足的危害与防治[J].双足与保健,2019,28(15):199.
#合理用药知识大全#