
患者女:宫颈鳞癌术后多部位转移。
2018年行宫颈鳞癌根治术, 随后发现外阴肿块,纵膈、右侧髂血管旁、左锁骨上淋巴结转移。接受紫杉醇+卡铂+贝伐单抗治疗两周期,外阴肿块稳定后再次增大。
我院治疗(常规治疗阶段):
盆腔及外阴病灶放疗同步伊立替康化疗四次:照射野内有效,照射野外肿瘤进展。
随后行伊立替康+安罗替尼方案化疗五周期,期间患者因无法耐受安罗替尼未遵医嘱规律用药。CT示纵膈肺门淋巴结较前增大,右肺出现新发病灶,血CA125、CA153升高,评估疗效为PD。
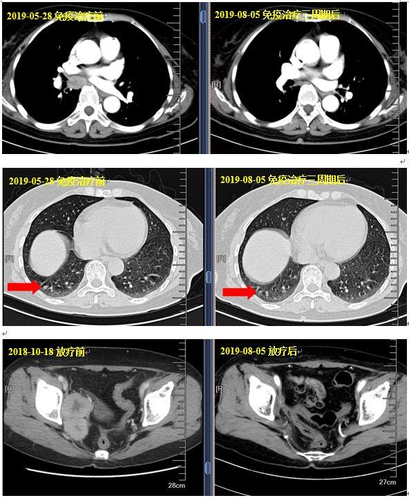
我院治疗(免疫治疗阶段):
采用新抗原个体化纳米疫苗联合PD-1抗体治疗:行环磷酰胺+个体化疫苗+信迪利单抗方案治疗3周期,并予注射疫苗总共六次,未见明显不良反应。可测量病灶:纵膈肺门淋巴结、右肺小结节(原有的盆腔、外阴病灶自放疗后维持CR)。疗效评价:接近CR,血肿瘤指标均降至正常。
病例点评:
这是多种常规治疗方法失败后的晚期宫颈鳞癌病人,先后经历了三种化疗药物、两种抗血管靶向药物。我们采用新抗原纳米疫苗+PD-1抗体,患者出现了非常好的疗效,而副作用极小。根据免疫治疗的宝贵经验,我们期待该患者获得持久的疗效。
撰写:朱丽晶/刘芹(*京大南**学医学院附属鼓楼医院肿瘤中心 副主任医师 博士)
修改:刘宝瑞(*京大南**学医学院附属鼓楼医院肿瘤中心 主任 教授 博导)

