Hey guys,今天又是揭秘肉毒毒素神奇用法的一天。你们知道青斑血管病(LV)吗?这是一种罕见的皮肤疾病,表现为疼痛的慢性下肢溃疡。今天这个案例就是用肉毒毒素治疗成功治疗了,据我们所知,在文献中没有其它报道描述肉毒毒素作为青斑样血管病的潜在疗法。
病例报告
一名20岁的女性患者有8个月的疼痛性溃疡史,该溃疡会在双侧下肢缓慢愈合,形成白色疤痕。除此之外,她是健康的,并报告评分为4/10的疼痛局限于活动性溃疡,评分为8/10的下肢神经性疼痛,以及长期站立引起的水肿。检查显示在她的双侧踝和足背侧出现网状紫癜性斑块、结痂的紫色丘疹和与白色象牙斑块相关的浅表溃疡(图1)。穿孔活检支持青斑样血管病的诊断(图2)。未发现潜在的血栓形成倾向或自身免疫性结缔组织疾病。双侧下肢踝臂指数、静脉超声、多普勒、肌电图和神经传导研究正常。

图1:在疾病进展或开始任何治疗之前,呈现病变时的照片

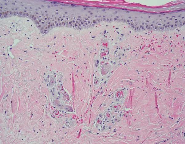
穿孔活检显示乳头状和网状真皮血管壁内的纤维蛋白样物质以及管腔内的透明血栓。血管周围有轻度淋巴细胞浸润
“
该患者以前的治疗包括每日325 mg乙酰水杨酸的单药治疗1个月,325 mg乙酰水杨酸和10 mg利伐沙班的联合治疗,以及2 mg/kg的高剂量静脉注射免疫球蛋白(IVIG)。然而,患者还是出现了持续性溃疡和弥漫性神经病理性疼痛(图3)。她还接受了各种镇痛方案的试验,包括加巴喷丁、阿米替林、托吡酯、度洛西汀、曲马多和针灸,但收效甚微。
”

图3:在开始静脉注射免疫球蛋白和抗凝剂后,但在使用肉毒毒素治疗前,患者病变的照片
虽然神经血管检查正常,但她的神经科医生怀疑是青斑样血管病诱发的小纤维神经病,并建议使用肉毒毒素。医生用无菌生理盐水将肉毒毒素稀释至每0.1毫升4个单位的最终浓度。她接受了50个单位的左踝皮内注射,并在2周后对她的双侧踝和足背侧重复治疗200个单位。在活性溃疡周围1cm的网格中进行注射。患者对注射耐受良好 (图4)。

图4:开始肉毒毒素治疗2周后患者病变的照片。第一次注射因手术过程中使用的冷辊烧伤导致的小面积浅表糜烂而变得复杂(黑色箭头)。
在初始肉毒毒素治疗后的2至3周内,患者报告其溃疡直接改善,没有新的损伤(图4)。在注射后4-6周,没有活动性溃疡或损伤性皮肤疼痛;然而,弥漫性神经病理性疼痛评分在7/10。在肉毒毒素治疗后大约3个月,尽管重新开始抗凝治疗,完成了4个IVIG周期和高压氧治疗,患者仍出现新的溃疡。她接受了200单位肉毒毒素的第三次治疗。在1个月的随访中,她再次显示溃疡愈合,并能够恢复穿加压袜和水上治疗。在整个肉毒毒素治疗过程中,患者的止痛需求减少,力量、耐力和活动能力提高。
实验室报告显示乙肝暴露或之前感染过阴性乙肝病毒DNA,并以1:1280进行高效价抗核抗体筛查,随后血清学结果为阴性。阴性或正常研究如下:蛋白C和S、抗性、抗凝血酶3、狼疮谱(心磷脂、双链DNA、抗Smith、抗核糖核蛋白、抗Ro/La、抗Jo-1、环瓜氨酸肽)、补体(C3/C4和CH50)、B2糖蛋白、冷球蛋白、抗中性粒细胞胞质抗体(P-ANCA/C-ANCA和非典型ANCA)、髓过氧化物酶、蛋白酶3、红细胞沉降率、尿分析、全面代谢谱包括肝功能试验、全血细胞计数和差异、HIV、血清。
讨论
青斑样血管病是一种罕见的疾病,假设是由于皮肤微循环内的血管闭塞和血栓前疾病状态。只有50%的病例具有可识别的潜在血栓形成倾向,大部分病例在广泛评估后被认为是特发性的。在没有潜在凝血病或自身免疫性结缔组织疾病的情况下,治疗目标是稳定疾病、减轻疼痛和防止疾病复发。抗凝治疗是最常见的单一疗法,但其他疗法包括皮质类固醇、IVIG和抗血小板治疗。
本例患者对肉毒毒素的临床反应在时间上与以相同方式治疗的其他溃疡性疾病一致,其中超过50%的受试者报告在单次治疗后1个月疼痛和溃疡愈合有所改善。

肉毒毒素在治疗与自身免疫性结缔组织疾病相关的慢性溃疡方面显示出有希望的结果,并提出了抑制交感神经血管收缩和血管痉挛的机制。因此,我们认为肉毒毒素诱导的平滑肌血管舒张可以对抗左心室出现的皮肤血管闭塞。此外,肉毒毒素已被证明在由各种其他病因引起的溃疡的炎症、增生和重塑阶段促进伤口愈合。
_
在处理青斑样血管病时,必须考虑多方面的疼痛治疗方法,因为疼痛经历涉及多种因素和途径。尚不清楚为什么我们的患者在溃疡愈合相关的皮肤疼痛方面有显著改善,但在慢性神经病理性疼痛方面没有显著改善。鉴于其主观性质,缺乏一个更客观和定性的措施,如神经病变疼痛量表,是这种情况下的限制。标准的视觉模拟量表没有对疼痛类型进行充分的分层(例如,尖锐的、热的、钝的、冷的、深的、表面的等。)而且不太可能敏感到察觉到细微的变化。此外,使用针对周围神经病变的注射方案,而不是针对溃疡周围病变的注射方案,可能会对我们的患者产生更深远的影响。然而,临床观察到的溃疡愈合、疾病稳定和损伤性疼痛减少,其特点是镇痛药使用减少和功能活动度改善,这证明肉毒毒素作为一种新的且耐受性良好的左心室治疗方法值得进一步考虑。需要进一步的研究来证实肉毒毒素对慢性溃疡、皮肤和神经性疼痛的疗效、最佳注射方案以及左心室患者的长期安全性和持久性。