大脚骨找对人,16年经验听我讲故事,继续分享我的大脚骨手术案例故事和拇外翻的科普知识。这是一个来自广东河源的58岁大姐的较为严重的大脚骨,我们都知道,拇外翻随着年龄增长就逐渐严重了,不过一般来说拇外翻的发展时间较长,多长达数年甚至数十年,这不,一般都是青春期的时候就开始出现明显大脚骨了嘛,但是很多人一直等到退休年龄才开始来做大脚骨手术。

广东河源大脚骨
这是因为现代都市多因为学业、工作等情况比较忙,读书的时候还稍微好一点,如果大学期间呢,自己感觉大脚骨明显,经济条件许可,可以考虑手术;因为等到你参加工作了,很难以抽出时间过来手术,大脚骨手术有一定的怠工期,大约需要一周左右的休息时间;而且大脚骨手术前后需要拍X光片子,我们都知道,拍片有辐射,这个辐射虽然不大,但是育龄期女性如果有想要备孕或者怀孕等,就不宜做这个手术了。想要找我做大脚骨手术,自己衡量好时间。

河源大脚骨
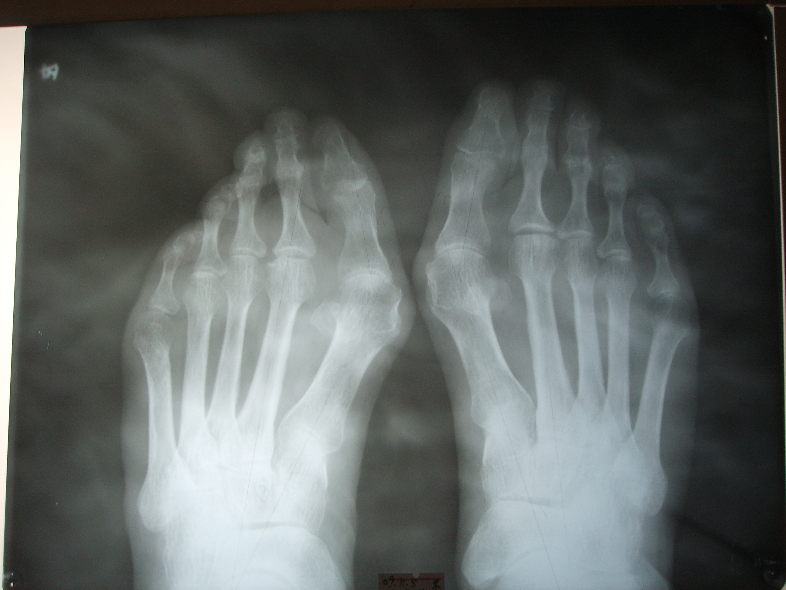
从这个大姐的片子可以看到,她的第一跖趾关节有点骨关节炎,关节间隙很窄了,第二跖骨干和跖骨头都有明显的代偿性增粗,双足第五跖骨头明显增粗,我们检查发现,前足足横弓塌陷明显,双足的第一趾骨也明显偏斜,这个按理需要同时做个截骨,但是沟通过程她不同意,担心特别疼,要求只要感觉局部凸起,拇趾后续稍微偏一点问题不大,也就只做了第一跖骨截骨矫正。

大脚骨手术
一般来说,矫正大脚骨大约需要一个小时多时间,如果在湖南省内,或者靠近湖南的江西、湖北、广州等地,当天来当天手术当天就能回家,但是如果距离较远的大脚骨朋友,就建议提前一天达到长沙,第二天做完手术后当天就回家,这样也就比较方便。
好了,我是大脚骨手术医生,更多大脚骨拇外翻手术相关问题,给我留言评论,我们明天见。