据《第三次全国口腔健康流行病学调查报告》显示,我国全民口腔病患病率高达97.6%。
但是绝大多数人去看牙前都会再三犹豫,因为无论是拔牙还是修复,都有一个不得不考虑的因素——费用。
看牙真的太贵了!
“看个牙,几个月工资没了”
之前遇到过一位陈小姐,25岁白领,为了治疗嘴里的2颗坏牙,前前后后跑了四五家牙科诊所,不是因为担心医生水平的问题,而是每一家给出的费用都很贵。最后来到我们医院治疗了三个月,前后花了3万多块。医生给出的治疗方案是种牙,但最好的诺贝尔和士卓曼种植体光一颗就要2万多,最终她选择了相对折中的方案,但一颗牙也要1万块。
这是她能够承受的极限了,要不是坏牙实在影响生活,陈小姐说她简直不想治了,费用都比她两个月的工资还高了。
这还不算最贵的,我们有时能遇上全口种植的病人,那真是一口牙抵一辆宝马了。
所以啊,人们都在感慨:看个牙,真贵!

为什么看牙这么贵?
其实说真心话,很多朋友的牙齿问题, 早点花10元挂号费来做个检查或许就可以避免了。
举个例子,仅仅是补牙的话,早发现来治疗一般就一两百元,不算太贵。但是很多朋友抱着“能拖一天是一天”的心态,等到痛得无法忍受、牙烂了才去看医生,这时候可能就需要做根管治疗,花费起码要两三千了,再加上戴冠,一下子就要五六千。
还有的患者一开始只是牙周炎,来医院花两三百洗牙就可以缓解的事,却一直拖着不看,等到最后发展到牙齿脱落,那可能就需要花几万去种牙了。要知道,种植最贵的瑞士牙齿,一颗可以高达8万块钱,这钱都可以买一辆汽车了。

那么,该如何才能在早期就发现问题,及时治疗呢?
陆博为大家整理了牙齿发出的六大省钱暗号,一起来了解一下!
牙齿发出的六个“省钱暗号”
如果你的牙齿发出以下“暗号”,那要格外当心了!早点注意能省钱!
1、突然牙痛—当心龋齿
如果在吃饭或者生活中牙齿开始疼痛,可能是已经出现龋齿。牙齿上的小洞越深,牙齿就越敏感,最终导致龋齿。早点来医院花几百元补牙就可以了,发展到后期需要进行根管治疗,费用则高达上千甚至上万。

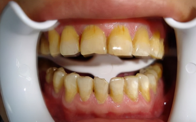
2、牙齿发黄—喝茶不漱口
咖啡、茶或其他深色饮料都可能会导致牙齿发黄。喝完此类饮料最好立即漱口。另外,使用美白牙膏、正确的刷牙方法、定期洗牙都有助于改善牙齿发黄的问题。

3、牙齿松动—刷牙不正确
牙齿松动是牙周病典型的后遗症,因为牙周病容易导致牙齿和下巴骨质流失。刷牙不正确容易形成牙菌斑,进而形成牙结石,伤及牙龈及牙齿,导致牙齿松动。

牢记刷牙333法则,即每天刷3次、每次3分钟、饭后30分钟内刷;
并且使用巴氏刷牙法来清洁口腔,可以有效预防牙周病。
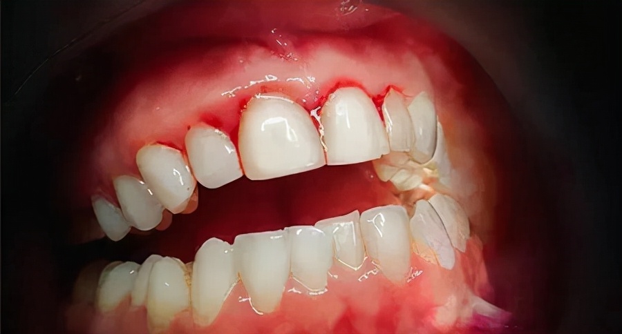
4、牙龈出血红肿—当心牙周炎
牙龈出血红肿症状持续一两天,可通过常刷牙及使用牙线清洁牙齿缓解症状。然而,激素变化或细菌感染导致的牙周炎等,也会导致牙龈出血红肿。牙周炎久病不治会导致牙齿松动,甚至脱落。

5、牙龈疼痛—牙刷毛太硬
如果吸入冷气、吃冷/热食物时牙龈疼痛,则可能是龋齿或牙龈萎缩。硬毛牙刷、磨牙、细菌感染等都容易导致牙龈萎缩和牙根暴露。若疼痛处出现红点或白点且持续1周以上,务必去医院检查。

6、口腔溃疡—少吃酸、辣、烫食物
酸、辣、烫食物吃得太多容易导致口腔出现溃疡。如果溃疡疼痛感两三天就消失的话,则没太大问题。如果溃疡持续时间长,则可能是缺乏维生素A的信号,建议多吃些富含维生素A的菠菜、胡萝卜等食物。

关注价格,不如平时爱护好牙齿
事实上,人们之所以觉得看牙太贵,是因为本身没有护理牙齿的意识,等到对牙齿大动干戈的时候,已经到了大病大治的阶段。而此时,用于治疗的花费自然就不低。所以在日常生活中,与其纠结昂贵的治疗费用,不如从一开始就好好爱护好牙齿,尤其是儿童和青少年。
日常生活中,一管牙膏、一支牙刷和一卷牙线,几十块钱就能做到很好的牙齿护理,只要坚持正确的护理方式,牙病出现的几率自然就会降低。
早发现、早预防、早治疗、少花钱, 才是解决问题的最好方案!
还想了解
「拔牙 洗牙 种牙」等
更多口腔健康小知识吗?
关注我的头条号就告诉你!
知识不易,且看且记哈~