一、病因
胸膜的脏层和壁层之间存在一个潜在腔隙,称为胸腔胸膜腔,正常胸膜腔内约有5-15ml液体将两层胸膜分开,若出现胸膜腔内液体增多,称为胸腔积液,简称胸水,胸腔积液压迫周围肺组织,影响呼吸功能。依据胸腔积液体的性状,分为浆液性、血性(血胸)、脂性(乳糜胸)、脓性(脓胸)。


二、临床表现
1、⑴固有基础疾病的相应症状:不同疾病有不同的症状,应仔细询问病史,观察患者症状。
⑵胸腔积液引起症状:呼吸困难是最常见的症状,多伴有胸痛和咳嗽,呼吸困难与胸廓顺应性下降、患侧膈肌受压、纵膈移位,肺容量下降刺激神经反射有关、症状与胸腔积液性质和积液量有关。
积液量<300-500ml,可无明显症状,积液量>500ml,可表现为胸闷、呼吸困难,局部叩诊浊音。
⑶体征:少量积液可无明显体征,或触及胸膜摩擦感,闻及胸膜摩擦音,中至大量积液可有典型胸腔积液的体征,即患者胸廓饱满,触觉语颤减弱,局部叩诊浊音,呼吸音减弱或消失。

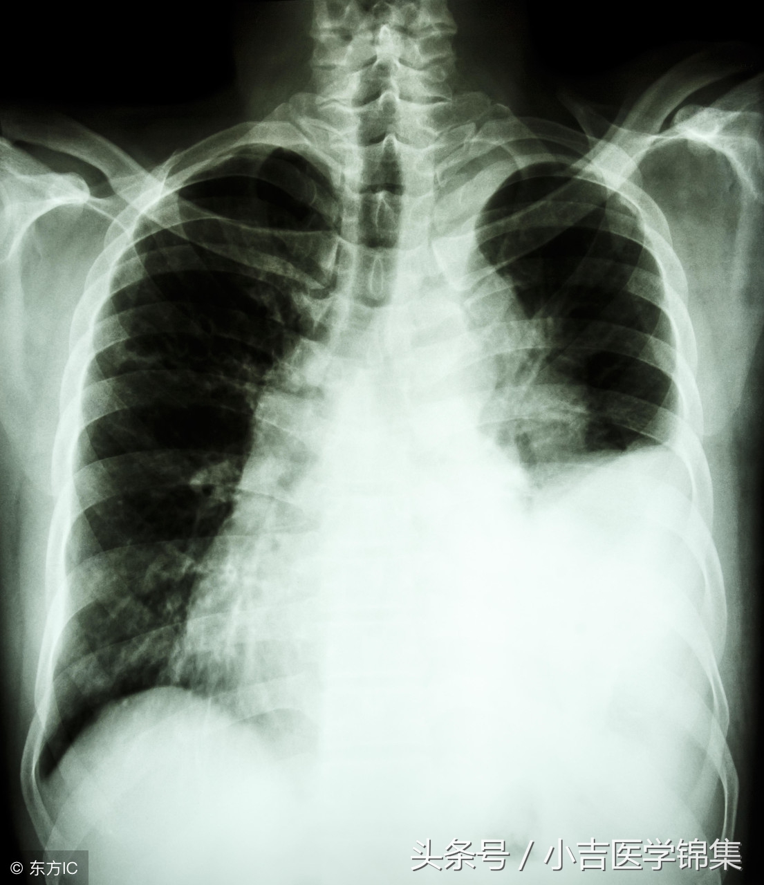
三、辅助检查
1、胸部X线:在胸片上判断胸腔积液的标准为:在第4前肋间以下为少量胸腔积液,第4前肋与第2前肋之间,属于中等量胸腔积液,积液位于第2前肋以上者,为大量胸腔积液。
⑴较小量积液:胸部x线检查不易发现。
⑵积液量300-500ml,可出现肋膈角变钝。
⑶积液量>500ml,表现为凹面向上,外侧高内侧低的弧形积液影。
⑷大量胸腔积液:整个患侧胸部呈致密影,纵隔和气管向健侧偏移。
⑸包裹性积液:可发生于胸腔任何部位,以叶间积液多见,呈梭形,不随体位改变而变动,边缘光滑饱满。
2、胸部CT
可显示少量胸腔积液,肺内病变,肿瘤等。有助于病因诊断。
3、B超
是敏感性最高的检查胸腔积液的无创性诊断方法。
4、诊断性胸腔穿刺和胸水检查
对明确积液性质及病因诊断至关重要。
⑴外观和气味:漏出液常透明清亮,多为淡黄色,静置后不凝固。
⑵细胞计数与分类:正常胸水中可有少量间皮细胞或淋巴细胞。
⑶生化检查:

5、胸膜活检
可发现肿瘤、结核和其他胸膜肉芽肿性病变,具有简单、易行、损伤性小等优点。
6、胸腔镜或开胸活检
对恶性胸腔积液的病因诊断率最高,可达70%-100%。
7、支气管镜检查
对咯血、疑有气管异物阻塞者可行此项检查。
8、明确胸腔积液的病因
⑴漏出性胸腔积液
病因诊断较简单,结合病史不难做出诊断。
①充血性心力衰竭:最常见的病因,常因胸腔毛细血管静水压增高所致,液积液常为双侧性,右侧较多。
②肾病综合征:由于低蛋白血症,胶体渗透压降低和静水压增高所致,积液常为双侧。
③肝硬化:由于低蛋白血症、腹水通过膈肌上小孔或淋巴管进入胸腔,积液常见于右侧。
④其他:如急性肾炎、缩窄性心包炎、腹膜透析、粘液性水肿、药物过敏、放射反应等。
⑵渗出性胸腔积液
我国以结核性胸膜炎最常见,其次为恶性肿瘤、细菌感染、肺栓塞少见。
①结核性胸膜炎:患者常有发热、胸痛、干咳、夜间盗汗、胸水呈草黄色,以淋巴细胞为主,PPD实验阳性。
②类肺炎胸水是指肺炎,肺脓肿,支气管扩张等感染引起等。
③恶性胸水:多呈血性,增长迅速,量大。
四、治疗原则
1、胸腔积液是胸部或全身疾病的一部分,其病因治疗尤为重要。
2、结核性胸膜炎
⑴一般治疗:包括休息、营养支持、对症治疗。
⑵抽液治疗:由于结核性胸膜炎的胸水蛋白质含量高,容易引起黏连,原则上应尽快抽尽胸腔积液。
⑶复张性肺水肿:表现为大量抽液时,剧烈咳嗽、气促和大量泡沫痰,双肺满布湿啰音。
⑷胸膜反应:表现为抽液时发生头晕、冷汗、心悸、面色苍白、脉细等,应立即停止抽液,使患者平卧,必要时皮下注射肾上腺素,紧密观察病情,注意血压变化,防止休克。
3、抗结核治疗:同肺结核治疗。
4、糖皮质激素:疗效不肯定。
5、恶性胸腔积液:胸腔积液常为晚期恶性肿瘤的并发症,故治疗效果不佳。
6、胸腔积液的治疗:恶性胸水生长速度,反复抽液可使蛋白大量丢失,效果不理想。

