来源:呼吸界
病例介绍
患者女,57岁,主因「气短3年,呼吸困难10天」入院。入院3年前无明显诱因出现活动后气短,休息后可缓解,无咳嗽、咳痰,无心前区疼痛、端坐呼吸,无双下肢水肿,未予诊治。2020年4月就诊于当地医院,考虑「冠状动脉粥样硬化性心脏病」,冠脉造影后植入支架1枚(具体材质不详),术后气短无好转,于2020年10年再次植入冠状动脉支架1枚,气短仍未好转。入院10天前气短加重,行胸部CT提示气管肿物,就诊于我院治疗。既往高血压病史10年,长期口服「甲磺酸氨氯地平片5mg」,一次1片,一日1次治疗,未规律监测血压;2020年4月冠脉支架术后口服「阿司匹林100mg」一次1片,一日1次治疗。
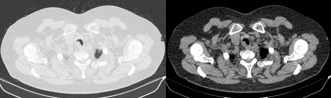
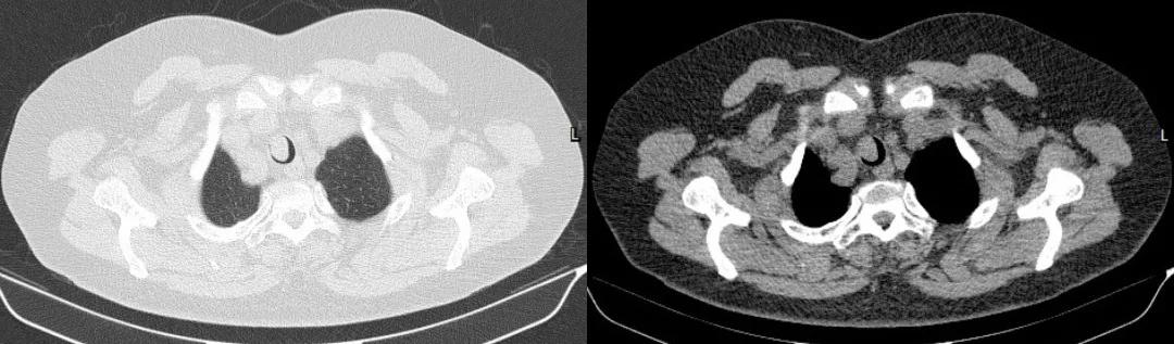
胸部CT:


胸部CT(横截面)

胸部CT(冠状位)

胸部CT(矢状位)

支气管镜下表现

病理结果
最终诊断
气管腺样囊性癌。
病例分析
一、概念:儿童原发性气管肿瘤90%为良性,成人只有不到10%为良性……
气管肿瘤(trachea tumor)是指原发于气管的良、恶性肿瘤。人群中发病率约0.1/10万,占气管、支气管原发肿瘤的1%左右。男、女发病率相当,常见于30-50岁,儿童原发性气管肿瘤90%为良性,成人只有不到10%为良性,发生部位以II区和III区多见。恶性肿瘤中最常见为鳞状细胞癌,约占50%,其次为腺样囊性癌,约占30%。
二、病理:肿瘤组织由腺管状、筛孔状和实性团巢状结构构成
气管腺样囊性癌起源于气管黏液腺上皮,好发于气管后壁软骨与膜连接部,这是与膜部的黏液腺丰富有关。肿瘤组织由腺管状、筛孔状和实性团巢状结构构成,管腔内可见过碘酸雪夫反应(PAS)阳性的黏液样物质。免疫组化显示,肿瘤细胞表达腺上皮和肌上皮标记。
三、临床表现:
主要取决于肿瘤的大小、生长速度 、活动度 、是否破溃以及气管狭窄的程度。临床表现主要包括:①刺激性咳嗽、咯血;②进行性呼吸困难、喘憋和喘鸣;③反复发作的肺炎;④晚期可有声音嘶哑和吞咽困难等;⑤远处转移症状。
四、影像学检查:表现为气管腔内的软组织密度肿块
表现为气管腔内的软组织密度肿块,多为偏心性,好发于气管后壁、气管软骨,低中度均匀强化,伴气管壁增厚,管腔不规则狭窄。有时可见气管旁淋巴结肿大,提示肿瘤转移可能。晚期可血行转移至肺、骨、脑、肝脏。
五、诊断:支气管镜检查是气管肿瘤的另一项常用重要的检查方法
支气管镜检查是气管肿瘤的另一项常用重要的检查方法,可明确肿瘤的部位、大小、形态和管腔阻塞的程度,初步判断良恶性,并取活检,明确病理。
六、治疗:原则上首选以切除重建为主的手术治疗
气管肿瘤原则上首选以切除重建为主的手术治疗,其他治疗手段包括支气管内镜下的肿瘤切除、腔内支架置入、放疗等。对于窄基底的较小的气管良性肿瘤,可考虑内镜下切除,达到治疗目的。对于范围较大无法根治性切除的气管恶性肿瘤,在硬质气管镜或电子支气管镜下,通过激光电灼、冷冻、氩氦刀、放射性粒子植入、气管内支架置入等手段,能对肿瘤引起的气道梗阻和出血起到治疗作用,达到减轻症状的目的。
本例患者治疗过程:于2020-12-18全麻气管镜下电圈套器切除肿瘤(功率40W)。

切除的肿瘤组织
鉴别诊断
1
气管鳞状细胞癌
吸烟者多见,约占气管恶性肿瘤的50%,可在气管的各段发生,膜部多见,多呈菜花样生长,易溃烂及阻塞管腔,病情发展较快,容易出现其他脏器的转移。
2
气管囊肿
是先天性呼吸系统发育畸形疾病,临床症状可有干咳、胸闷及活动后气短等,影像学表现为薄壁、边缘光滑、密度均匀,增强CT囊壁可强化,囊内容物无明显强化。
3
错构瘤
气管累及罕见,多在段支气管,临床可表现为持续咳嗽、咯血及反复气管感染,影像学病灶内可见脂肪密度影,部分表现为「爆米花」样钙化。PDG-PET少或无摄入。
4
原发性肺平滑肌瘤
气管平滑肌瘤来源于气管壁平滑肌,常起源于气管膜部黏膜下,好发于气管中上1/3处。主要见于中青年人,女性多于男性。影像学表现为广基底,无蒂,轮廓光整,密度均匀,增强CT明显强化。
5
纤维瘤、血管瘤
鉴别困难,病理可区别。
参考文献
[1] 气管腺样囊性癌3例报道并文献复习[J]. 张景丽,薛林. 临床与实验病理学杂志. 2011(06);
[2] 原发性气管腺样囊性癌15例临床病理分析[J]. 孙晓腾,何妙霞.中华肿瘤防治杂志.2012(18);
[3] 气管腺样囊性癌的诊治[J]. 李东妹.临床肺科杂志.2014(06);
[4] 陈灏珠,林果为,王吉耀、葛均波.实用内科学[M].第15版.北京:人民卫生出版社;
[5] 葛均波、徐永健.内科学[M].第9版.北京:人民卫生出版社;
[6] 陈孝平,汪建平.外科学[M].第9版.北京:人民卫生出版社;
#健康科普排位赛# #医师报超能团# #超能健康团#